Cell Signaling Technology Logo - Extra Large
Trial Size Available Flag
Recombinant Flag
Recombinant: Superior lot-to-lot consistency, continuous supply, and animal-free manufacturing.

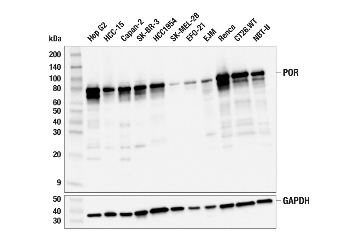
POR (F6Y3C) Rabbit Monoclonal Antibody #90426

Filter:
  • WB
  • IF

    Product Specifications

    REACTIVITY H M R
    SENSITIVITY Endogenous
    MW (kDa) 78
    Source/Isotype Rabbit IgG
    Application Key:
    • WB-Western Blotting 
    • IF-Immunofluorescence 
    Species Cross-Reactivity Key:
    • H-Human 
    • M-Mouse 
    • R-Rat 

    Product Information

    Product Usage Information

    Application Dilution
    Western Blotting 1:1000
    Immunofluorescence (Frozen) 1:400 - 1:1600
    Immunofluorescence (Immunocytochemistry) 1:50 - 1:200

    Storage

    Supplied in 10 mM sodium HEPES (pH 7.5), 150 mM NaCl, 100 µg/mL BSA, 50% glycerol, and less than 0.02% sodium azide. Store at –20°C. Do not aliquot the antibody.

    Protocol

    Specificity / Sensitivity

    POR (F6Y3C) Rabbit Monoclonal Antibody recognizes endogenous levels of total POR protein.

    Species Reactivity:

    Human, Mouse, Rat

    Source / Purification

    Monoclonal antibody is produced by immunizing animals with a synthetic peptide corresponding to residues near the carboxy terminus of human POR protein.

    Background

    Cytochrome P450 oxidoreductase (POR), also known as CYPOR, is a diflavin reductase that uses flavin mononucleotide (FMN) and flavin adenine dinucleotide (FAD) as cofactors and nicotinamide adenine dinucleotide phosphate (NADPH) as an electron donor (reviewed in 1). Cytochrome P450 is a family of heme-containing enzymes that function as monooxygenases, oxidizing steroids, fatty acids, drugs, and xenobiotics. These enzymes all depend on POR for electron supply. In addition, POR donates electrons to heme oxygenase, cytochrome b5, and cytochrome c. In addition to its various roles in drug and steroid metabolism, studies have found that POR contributes to lipid peroxidation during ferroptosis (2-4).

    Alternate Names

    CPR; CYPOR; cytochrome p450 oxidoreductase; DKFZp686G04235; FLJ26468; NADPH--cytochrome P450 reductase; NADPH--hemoprotein reductase; NADPH-dependent cytochrome P450 reductase; NCPR; P450 (cytochrome) oxidoreductase; P450R; POR

    For Research Use Only. Not for Use in Diagnostic Procedures.
    Cell Signaling Technology is a trademark of Cell Signaling Technology, Inc.
    All other trademarks are the property of their respective owners. Visit our Trademark Information page.