Cell Signaling Technology Logo - Extra Large
Trial Size Available Flag

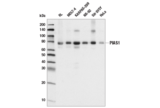
PIAS1 (D33A7) Rabbit Monoclonal Antibody #3550

Filter:
  • WB
  • IF
  • F

    Product Specifications

    REACTIVITY H M R Mk
    SENSITIVITY Endogenous
    MW (kDa) 76
    Source/Isotype Rabbit IgG
    Application Key:
    • WB-Western Blotting 
    • IF-Immunofluorescence 
    • F-Flow Cytometry 
    Species Cross-Reactivity Key:
    • H-Human 
    • M-Mouse 
    • R-Rat 
    • Mk-Monkey 

    Product Information

    Product Usage Information

    Application Dilution
    Western Blotting 1:1000
    Immunofluorescence (Immunocytochemistry) 1:50 - 1:200
    Flow Cytometry (Fixed/Permeabilized) 1:50 - 1:200

    Storage

    Supplied in 10 mM sodium HEPES (pH 7.5), 150 mM NaCl, 100 µg/ml BSA, 50% glycerol and less than 0.02% sodium azide. Store at –20°C. Do not aliquot the antibody.

    For a carrier free (BSA and azide free) version of this product see product #50580.

    实验步骤

    Specificity / Sensitivity

    PIAS1 (D33A7) Rabbit Monoclonal Antibody detects endogenous levels of total PIAS1 protein.

    Species Reactivity:

    Human, Mouse, Rat, Monkey

    Source / Purification

    Monoclonal antibody is produced by immunizing animals with a synthetic peptide corresponding to residues surrounding Ser550 of human PIAS1.

    Background

    The protein inhibitor of activated Stat (PIAS) proteins, which include PIAS1, PIAS3, PIASx, and PIASy, were originally characterized based on their interaction with the Stat family of transcription factors (1,2). PIAS1, PIAS3, and PIASx interact with and repress Stat1, Stat3, and Stat4, respectively (1-3). Deletion of PIAS1 leads to inhibition of interferon-inducible genes and increased protection against infection (4). The PIAS family contains a conserved RING domain that has been linked to a function as a small ubiquitin-related modifier (SUMO) ligase, coupling the SUMO conjugating enzyme Ubc9 with its substrate proteins (5,6). Numerous studies have now shown that PIAS family members can regulate the activity of transcription factors through distinct mechanisms, including NF-κB (7,8), c-Jun, p53 (5,9), Oct-4 (10), and Smads (11,12). The activity of PIAS1 is regulated by both phosphorylation and arginine methylation. Inflammatory stimuli can induce IKK-mediated phosphorylation of PIAS1 at Ser90, which is required for its activity (13). In addition, PRMT1 induces arginine methylation of PIAS1 at Arg303 following interferon treatment and is associated with its repressive activity on Stat1 (14).

    Alternate Names

    AR interacting protein; DDXBP1; DEAD/H (Asp-Glu-Ala-Asp/His) box binding protein 1; DEAD/H box-binding protein 1; E3 SUMO-protein ligase PIAS1; E3 SUMO-protein transferase PIAS1; GBP; Gu-binding protein; GU/RH-II; MGC141878; MGC141879; PIAS1; protein inhibitor of activated STAT 1; Protein inhibitor of activated STAT protein 1; protein inhibitor of activated STAT-1; protein inhibitor of activated STAT, 1; RNA helicase II-binding protein; zinc finger, MIZ-type containing 3; ZMIZ3

    For Research Use Only. Not for Use in Diagnostic Procedures.
    Cell Signaling Technology is a trademark of Cell Signaling Technology, Inc.
    All other trademarks are the property of their respective owners. Visit our Trademark Information page.