Cell Signaling Technology Logo - Extra Large
Recombinant Flag
Recombinant: Superior lot-to-lot consistency, continuous supply, and animal-free manufacturing.

PIAS1 (D33A7) Rabbit Monoclonal Antibody (BSA and Azide Free) #50580

Filter:
  • WB
  • IF
  • F

    Product Specifications

    REACTIVITY H M R Mk
    SENSITIVITY Endogenous
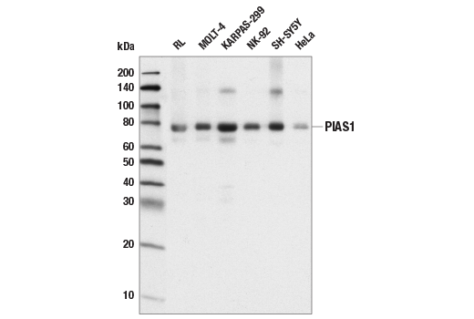
    MW (kDa) 76
    Source/Isotype Rabbit IgG
    Application Key:
    • WB-Western Blotting 
    • IF-Immunofluorescence 
    • F-Flow Cytometry 
    Species Cross-Reactivity Key:
    • H-Human 
    • M-Mouse 
    • R-Rat 
    • Mk-Monkey 

    Product Information

    Product Usage Information

    This product is the carrier free version of product #3550. All data were generated using the same antibody clone in the standard formulation which contains BSA and glycerol.

    This formulation is ideal for use with technologies requiring specialized or custom antibody labeling, including fluorophores, metals, lanthanides, and oligonucleotides. It is not recommended for ChIP, ChIP-seq, CUT&RUN or CUT&Tag assays. If you require a carrier free formulation for chromatin profiling, please contact us. Optimal dilutions/concentrations should be determined by the end user.

    BSA and Azide Free antibodies are quality control tested by size exclusion chromatography (SEC) to determine antibody integrity.

    Formulation

    Supplied in 1X PBS (10 mM Na2HPO4, 3 mM KCl, 2 mM KH2PO4, and 140 mM NaCl (pH 7.8)). BSA and Azide Free.

    For standard formulation of this product see product #3550

    Storage

    Store at -20°C. This product will freeze at -20°C so it is recommended to aliquot into single-use vials to avoid multiple freeze/thaw cycles. A slight precipitate may be present and can be dissolved by gently vortexing. This will not interfere with antibody performance.

    Specificity / Sensitivity

    PIAS1 (D33A7) Rabbit Monoclonal Antibody (BSA and Azide Free) detects endogenous levels of total PIAS1 protein.

    Species Reactivity:

    Human, Mouse, Rat, Monkey

    Source / Purification

    Monoclonal antibody is produced by immunizing animals with a synthetic peptide corresponding to residues surrounding Ser550 of human PIAS1.

    Background

    The protein inhibitor of activated Stat (PIAS) proteins, which include PIAS1, PIAS3, PIASx, and PIASy, were originally characterized based on their interaction with the Stat family of transcription factors (1,2). PIAS1, PIAS3, and PIASx interact with and repress Stat1, Stat3, and Stat4, respectively (1-3). Deletion of PIAS1 leads to inhibition of interferon-inducible genes and increased protection against infection (4). The PIAS family contains a conserved RING domain that has been linked to a function as a small ubiquitin-related modifier (SUMO) ligase, coupling the SUMO conjugating enzyme Ubc9 with its substrate proteins (5,6). Numerous studies have now shown that PIAS family members can regulate the activity of transcription factors through distinct mechanisms, including NF-κB (7,8), c-Jun, p53 (5,9), Oct-4 (10), and Smads (11,12). The activity of PIAS1 is regulated by both phosphorylation and arginine methylation. Inflammatory stimuli can induce IKK-mediated phosphorylation of PIAS1 at Ser90, which is required for its activity (13). In addition, PRMT1 induces arginine methylation of PIAS1 at Arg303 following interferon treatment and is associated with its repressive activity on Stat1 (14).

    Alternate Names

    AR interacting protein; DDXBP1; DEAD/H (Asp-Glu-Ala-Asp/His) box binding protein 1; DEAD/H box-binding protein 1; E3 SUMO-protein ligase PIAS1; E3 SUMO-protein transferase PIAS1; GBP; Gu-binding protein; GU/RH-II; MGC141878; MGC141879; PIAS1; protein inhibitor of activated STAT 1; Protein inhibitor of activated STAT protein 1; protein inhibitor of activated STAT-1; protein inhibitor of activated STAT, 1; RNA helicase II-binding protein; zinc finger, MIZ-type containing 3; ZMIZ3

    For Research Use Only. Not for Use in Diagnostic Procedures.
    Cell Signaling Technology is a trademark of Cell Signaling Technology, Inc.
    All other trademarks are the property of their respective owners. Visit our Trademark Information page.