Cell Signaling Technology Logo - Extra Large
Trial Size Available Flag
Recombinant Flag
Recombinant: Superior lot-to-lot consistency, continuous supply, and animal-free manufacturing.

Phospho-VEGF Receptor 2 (Tyr1059) (D5A6) Rabbit Monoclonal Antibody #3817

Filter:
  • WB

    Product Specifications

    REACTIVITY H M
    SENSITIVITY Endogenous
    MW (kDa) 230
    Source/Isotype Rabbit IgG
    Application Key:
    • WB-Western Blotting 
    Species Cross-Reactivity Key:
    • H-Human 
    • M-Mouse 

    Product Information

    Product Usage Information

    Application Dilution
    Western Blotting 1:1000

    Storage

    Supplied in 10 mM sodium HEPES (pH 7.5), 150 mM NaCl, 100 µg/ml BSA, 50% glycerol and less than 0.02% sodium azide. Store at –20°C. Do not aliquot the antibody.

    实验步骤

    Specificity / Sensitivity

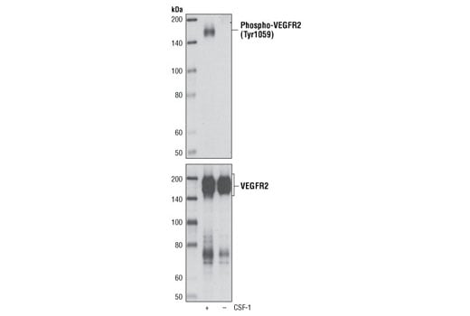
    Phospho-VEGF Receptor 2 (Tyr1059) (D5A6) Rabbit Monoclonal Antibody only detects endogenous levels of VEGFR2 proteins when phosphorylated at Tyr1059. Since VEGF receptors 1, 2 and 3 share identical sequences within the epitope region, this antibody can also detect VEGF receptors 1 and 3 when phosphorylated at corresponding tyrosine residues.

    Species Reactivity:

    Human, Mouse

    The antigen sequence used to produce this antibody shares 100% sequence homology with the species listed here, but reactivity has not been tested or confirmed to work by CST. Use of this product with these species is not covered under our Product Performance Guarantee.

    Species predicted to react based on 100% sequence homology:

    Rat

    Source / Purification

    Monoclonal antibody is produced by immunizing animals with a synthetic phosphopeptide corresponding to residues surrounding Tyr1059 of human VEGF receptor 2.

    Background

    Vascular endothelial growth factor receptor 2 (VEGFR2, KDR, Flk-1) is a major receptor for VEGF-induced signaling in endothelial cells. Upon ligand binding, VEGFR2 undergoes autophosphorylation and becomes activated (1). Major autophosphorylation sites of VEGFR2 are located in the kinase insert domain (Tyr951/996) and in the tyrosine kinase catalytic domain (Tyr1054/1059) (2). Activation of the receptor leads to rapid recruitment of adaptor proteins, including Shc, GRB2, PI3 kinase, NCK, and the protein tyrosine phosphatases SHP-1 and SHP-2 (3). Phosphorylation at Tyr1212 provides a docking site for GRB2 binding and phospho-Tyr1175 binds the p85 subunit of PI3 kinase and PLCγ, as well as Shb (1,4,5). Signaling from VEGFR2 is necessary for the execution of VEGF-stimulated proliferation, chemotaxis and sprouting, as well as survival of cultured endothelial cells in vitro and angiogenesis in vivo (6-8).

    Alternate Names

    CD309; CHTD7; Feline McDonough Sarcoma (FMS)-like tyrosine kinase 4; Fetal liver kinase 1; fetal liver kinase-1; FLK-1; FLK1; FLT; FLT-1; FLT-4; FLT1; FLT4; FLT41; fms related receptor tyrosine kinase 1; fms related receptor tyrosine kinase 4; fms related tyrosine kinase 1; fms related tyrosine kinase 4; Fms-like tyrosine kinase 1; Fms-like tyrosine kinase 4; fms-related tyrosine kinase 1 (vascular endothelial growth factor/vascular permeability factor receptor); fms-related tyrosine kinase 4; FRT; KDR; Kinase insert domain receptor; kinase insert domain receptor (a type III receptor tyrosine kinase); LMPH1A; LMPHM1; PCL; primary congenital lymphedema; Protein-tyrosine kinase receptor flk-1; soluble VEGFR2; soluble VEGFR3 variant 1; soluble VEGFR3 variant 2; soluble VEGFR3 variant 3; tyrosine kinase growth factor receptor; Tyrosine-protein kinase FRT; Tyrosine-protein kinase receptor FLT; Tyrosine-protein kinase receptor FLT4; Vascular endothelial growth factor receptor 1; Vascular endothelial growth factor receptor 2; Vascular endothelial growth factor receptor 3; Vascular permeability factor receptor; VEGF receptor-3; VEGFR; VEGFR-1; VEGFR-2; VEGFR-3; VEGFR1; VEGFR2; VEGFR3; VGFR1; VGFR2; VGFR3

    For Research Use Only. Not for Use in Diagnostic Procedures.
    Cell Signaling Technology is a trademark of Cell Signaling Technology, Inc.
    All other trademarks are the property of their respective owners. Visit our Trademark Information page.