Render Target: STATIC
Render Timestamp:
5/19/2026, 9:27:17 PM EDT
5/20/2026, 1:27:17 AM UTC
Commit: 7ed46ecc04b401f23a28df741b5078df405d23e4
XML generation date: 2025-11-13 17:58:17.420
Product last modified at: 2026-03-20T08:07:14.406Z
Cell Signaling Technology Logo - Extra Large
1% for the planet logo
PDP - Template Name: Polyclonal Antibody
PDP - Template ID: *******59c6464

Phospho-Tie2 (Ser1119) Antibody #4226

Filter:
  • WB

    Product Specifications

    REACTIVITY H
    SENSITIVITY Transfected Only
    MW (kDa) 160
    SOURCE Rabbit
    Application Key:
    • WB-Western Blotting 
    Species Cross-Reactivity Key:
    • H-Human 

    Product Information

    Product Usage Information

    Application Dilution
    Western Blotting 1:1000

    Storage

    Supplied in 10 mM sodium HEPES (pH 7.5), 150 mM NaCl, 100 µg/ml BSA and 50% glycerol. Store at –20°C. Do not aliquot the antibody.

    实验步骤

    Specificity / Sensitivity

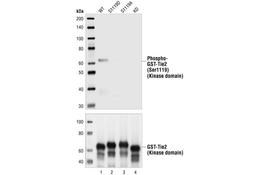
    Phospho-Tie2 (Ser1119) Antibody detects transfected levels of Tie2 protein only when phosphorylated at serine 1119.

    Species Reactivity:

    Human

    Source / Purification

    Polyclonal antibodies are produced by immunizing animals with a synthetic phosphopeptide corresponding to residues surrounding Ser1119 of human Tie2. Antibodies are purified by protein A and peptide affinity chromatography.

    Background

    Tie2/Tek is a receptor tyrosine kinase (RTK) expressed almost exclusively on endothelial cells. It is critical for vasculogenesis and could be important for maintaining endothelial cell survival and integrity in adult blood vessels as well as tumor angiogenesis (1-3). A family of ligands known as the angiopoietins binds to Tie2. Interestingly, these ligands appear to have opposing actions; Angiopoietin-1 (Ang1) and Angiopoietin-4 (Ang4) stimulate tyrosine phosphorylation of Tie2; Angiopoietin-2 (Ang2) and Angiopoietin-3 (Ang3) can inhibit this phosphorylation (4,5). Downstream signaling components, including Grb2, Grb7, Grb14, SHP-2, the p85 subunit of phosphatidylinositol 3-kinase, and p56/Dok-2 interact with Tie2 in a phosphotyrosine-dependent manner through their SH2 or PTB domains (6,7). Tyr992 is located on the putative activation loop of Tie2 and is a major autophosphorylation site (8).
    Phosphorylation of Ser1119 at the carboxy-terminus of Tie2 results in an increase of Tie2 kinase activity (personal communication with Dr. Chris Kontos, Duke University).

    Alternate Names

    Angiopoietin-1 receptor; CD202B; Endothelial tyrosine kinase; GLC3E; hTIE2; p140 TEK; soluble TIE2 variant 1; soluble TIE2 variant 2; TEK; TEK receptor tyrosine kinase; TEK tyrosine kinase, endothelial; TIE-2; TIE2; Tunica interna endothelial cell kinase; Tyrosine kinase with Ig and EGF homology domains-2; Tyrosine-protein kinase receptor TEK; Tyrosine-protein kinase receptor TIE-2; VMCM; VMCM1

    For Research Use Only. Not for Use in Diagnostic Procedures.
    Cell Signaling Technology is a trademark of Cell Signaling Technology, Inc.
    All other trademarks are the property of their respective owners. Visit our Trademark Information page.