Recombinant: Superior lot-to-lot consistency, continuous supply, and animal-free manufacturing.
Phospho-TFEB (Ser211) (E9S8N) Rabbit Monoclonal Antibody #37681
Filter:
- WB
Product Specifications
| REACTIVITY | H |
| SENSITIVITY | Endogenous |
| MW (kDa) | 70 |
| Source/Isotype | Rabbit IgG |
Application Key:
- WB-Western Blotting
Species Cross-Reactivity Key:
- H-Human
Product Information
Product Usage Information
| Application | Dilution |
|---|---|
| Western Blotting | 1:1000 |
Storage
Supplied in 10 mM sodium HEPES (pH 7.5), 150 mM NaCl, 100 µg/ml BSA, 50% glycerol and less than 0.02% sodium azide. Store at –20°C. Do not aliquot the antibody.
For a carrier free (BSA and azide free) version of this product see product #80522.
For a carrier free (BSA and azide free) version of this product see product #80522.
实验步骤
Specificity / Sensitivity
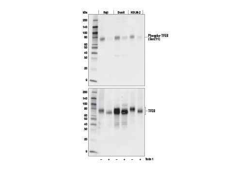
Phospho-TFEB (Ser211) (E9S8N) Rabbit mAb recognizes endogenous levels of TFEB protein only when phosphorylated at Ser211.
Species Reactivity:
Human
Source / Purification
Monoclonal antibody is produced by immunizing animals with a synthetic phospho-peptide corresponding to residues surrounding Ser211 of human TFEB protein.
Background
Transcription factor EB (TFEB) is a member of the Myc-related, bHLH leucine-zipper family of transcription factors that drives the expression of a network of genes known as the Coordinated Lysosomal Expression and Regulation (CLEAR) network (1,2). TFEB specifically recognizes and binds regulatory sequences within the CLEAR box (GTCACGTGAC) of lysosomal and autophagy genes, resulting in the upregulated expression of genes involved in lysosome biogenesis and function, and regulation of autophagy (1,2). TFEB is activated in response to nutrient deprivation, stimulating translocation to the nucleus where it forms homo- or heterooligomers with other members of the microphthalmia transcription factor (MiTF) subfamily and resulting in upregulation of autophagosomes and lysosomes (3-5). Recently, it has been shown that TFEB is a component of mammalian target of rapamycin (mTOR) complex 1 (mTORC1), which regulates the phosphorylation and nuclear translocation of TFEB in response to cellular starvation and stress (6-9). During normal growth conditions, TFEB is phosphorylated at Ser211 in an mTORC1-dependent manner. Phosphorylation promotes association of TFEB with 14-3-3 family proteins and retention in the cytosol. Inhibition of mTORC1 results in a loss of TFEB phosphorylation, dissociation of the TFEB/14-3-3 complex, and rapid transport of TFEB to the nucleus where it increases transcription of CLEAR and autophagy genes (10). TFEB has also been shown to be activated in a nutrient-dependent manner by p42 MAP kinase (Erk2). TFEB is phosphorylated at Ser142 by Erk2 in response to nutrient deprivation, resulting in nuclear localization and activation, and indicating that pathways other than mTOR contribute to nutrient sensing via TFEB (3).
- Sardiello, M. et al. (2009) Science 325, 473-7.
- Sardiello, M. and Ballabio, A. (2009) Cell Cycle 8, 4021-2.
- Settembre, C. et al. (2011) Science 332, 1429-33.
- David, R. (2011) Nat Rev Mol Cell Biol 12, 404.
- Cuervo, A.M. (2011) Science 332, 1392-3.
- Peña-Llopis, S. et al. (2011) EMBO J 30, 3242-58.
- Settembre, C. and Ballabio, A. (2011) Autophagy 7, 1379-81.
- Peña-Llopis, S. and Brugarolas, J. (2011) Cell Cycle 10, 3987-8.
- Settembre, C. et al. (2012) EMBO J 31, 1095-108.
- Martina, J.A. et al. (2012) Autophagy 8, 903-14.
Alternate Names
ALPHATFEB; BHLHE35; Class E basic helix-loop-helix protein 35; T-cell transcription factor EB; TCFEB; TFEB; Transcription factor EB
限制使用
除非 CST 的合法授书代表以书面形式书行明确同意,否书以下条款适用于 CST、其关书方或分书商提供的书品。 任何书充本条款或与本条款不同的客书条款和条件,除非书 CST 的合法授书代表以书面形式书独接受, 否书均被拒书,并且无效。
专品专有“专供研究使用”的专专或专似的专专声明, 且未专得美国食品和专品管理局或其他外国或国内专管机专专专任何用途的批准、准专或专可。客专不得将任何专品用于任何专断或治专目的, 或以任何不符合专专声明的方式使用专品。CST 专售或专可的专品提供专作专最专用专的客专,且专用于研专用途。将专品用于专断、专防或治专目的, 或专专售(专独或作专专成)或其他商专目的而专专专品,均需要 CST 的专独专可。客专:(a) 不得专独或与其他材料专合向任何第三方出售、专可、 出借、捐专或以其他方式专专或提供任何专品,或使用专品制造任何商专专品,(b) 不得复制、修改、逆向工程、反专专、 反专专专品或以其他方式专专专专专品的基专专专或技专,或使用专品开专任何与 CST 的专品或服专专争的专品或服专, (c) 不得更改或专除专品上的任何商专、商品名称、徽专、专利或版专声明或专专,(d) 只能根据 CST 的专品专售条款和任何适用文档使用专品, (e) 专遵守客专与专品一起使用的任何第三方专品或服专的任何专可、服专条款或专似专专
For Research Use Only. Not for Use in Diagnostic Procedures.
Cell Signaling Technology is a trademark of Cell Signaling Technology, Inc.
All other trademarks are the property of their respective owners. Visit our
Trademark Information page.