Cell Signaling Technology Logo - Extra Large
Trial Size Available Flag

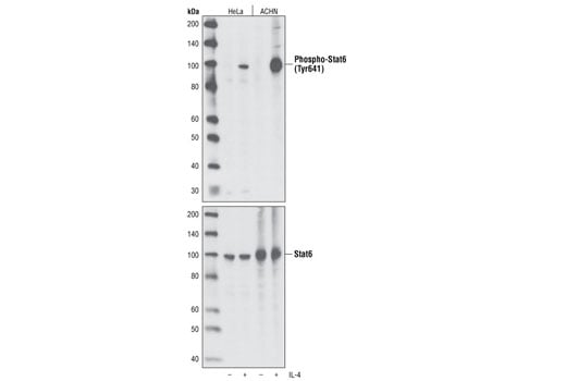
Phospho-Stat6 (Tyr641) (C11A12) Rabbit Monoclonal Antibody #9364

Filter:
  • WB

    Product Specifications

    REACTIVITY H
    SENSITIVITY Endogenous
    MW (kDa) 100
    Source/Isotype Rabbit
    Application Key:
    • WB-Western Blotting 
    Species Cross-Reactivity Key:
    • H-Human 

    Product Information

    Product Usage Information

    Application Dilution
    Western Blotting 1:1000

    Storage

    Supplied in 10 mM sodium HEPES (pH 7.5), 150 mM NaCl, 100 µg/ml BSA, 50% glycerol and less than 0.02% sodium azide. Store at –20°C. Do not aliquot the antibody.

    实验步骤

    Specificity / Sensitivity

    Phospho-Stat6 (Tyr641) (C11A12) Rabbit Monoclonal Antibody detects endogenous levels of Stat6 only when phosphorylated at Tyr641. This antibody does not cross-react with the corresponding phospho-tyrosine residues of other Stat proteins. Cross-reactivity has been observed with receptor tyrosine kinases including phosphorylated PDGF receptor that can lead to inapproriate membrane staining.

    Species Reactivity:

    Human

    The antigen sequence used to produce this antibody shares 100% sequence homology with the species listed here, but reactivity has not been tested or confirmed to work by CST. Use of this product with these species is not covered under our Product Performance Guarantee.

    Species predicted to react based on 100% sequence homology:

    Monkey

    Source / Purification

    Monoclonal antibody is produced by immunizing animals with a synthetic phosphopeptide corresponding to residues surrounding Tyr641 of human Stat6.

    Background

    Upon activation by Janus kinases, Stat6 translocates to the nucleus where it regulates cytokine-induced gene expression. Stat6 is activated via phosphorylation at Tyr641 and is required for responsiveness to IL-4 and IL-13 (1-4). In addition, Stat6 is activated by IFN-α in B cells, where it forms transcriptionally active complexes with Stat2 and p48 (5,6). Protein phosphatase 2A is also involved in regulation of IL-4-mediated Stat6 signaling (7).

    Alternate Names

    D12S1644; IL-4 Stat; IL-4-STAT; Signal transducer and activator of transcription 6; signal transducer and activator of transcription 6, interleukin-4 induced; STAT, interleukin4-induced; STAT6; STAT6B; STAT6C; transcription factor IL-4 STAT

    For Research Use Only. Not for Use in Diagnostic Procedures.
    Cell Signaling Technology is a trademark of Cell Signaling Technology, Inc.
    U.S. Patent No. 7,429,487, foreign equivalents, and child patents deriving therefrom.
    All other trademarks are the property of their respective owners. Visit our Trademark Information page.