Cell Signaling Technology Logo - Extra Large
Trial Size Available Flag
Recombinant Flag
Recombinant: Superior lot-to-lot consistency, continuous supply, and animal-free manufacturing.

Phospho-Src Family (Tyr416) (D49G4) Rabbit Monoclonal Antibody #6943

Filter:
  • WB
  • IP

    Product Specifications

    REACTIVITY H M R Mk Dg
    SENSITIVITY Endogenous
    MW (kDa) 60
    Source/Isotype Rabbit IgG
    Application Key:
    • WB-Western Blotting 
    • IP-Immunoprecipitation 
    Species Cross-Reactivity Key:
    • H-Human 
    • M-Mouse 
    • R-Rat 
    • Mk-Monkey 
    • Dg-Dog 

    Product Information

    Product Usage Information

    Application Dilution
    Western Blotting 1:1000
    Simple Western™ 1:10 - 1:50
    Immunoprecipitation 1:100

    Storage

    Supplied in 10 mM sodium HEPES (pH 7.5), 150 mM NaCl, 100 µg/ml BSA, 50% glycerol and less than 0.02% sodium azide. Store at –20°C. Do not aliquot the antibody.

    For a carrier free (BSA and azide free) version of this product see product #34069.

    实验步骤

    Specificity / Sensitivity

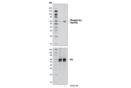
    Phospho-Src Family (Tyr416) (D49G4) Rabbit Monoclonal Antibody detects endogenous levels of Src only when phosphorylated at Tyr416. This antibody may cross-react with other Src family members (Lyn, Fyn, Lck, Yes and Hck) when phosphorylated at equivalent sites. This antibody may cross react with overexpressed phosphorylated RTKs.

    Species Reactivity:

    Human, Mouse, Rat, Monkey, Dog

    Source / Purification

    Monoclonal antibody is produced by immunizing animals with a synthetic phosphopeptide corresponding to residues surrounding Tyr419 of human Src protein.

    Background

    The Src family of protein tyrosine kinases, which includes Src, Lyn, Fyn, Yes, Lck, Blk, and Hck, are important in the regulation of growth and differentiation of eukaryotic cells (1). Src activity is regulated by tyrosine phosphorylation at two sites, but with opposing effects. While phosphorylation at Tyr416 in the activation loop of the kinase domain upregulates enzyme activity, phosphorylation at Tyr530 in the carboxy-terminal tail by Csk renders the enzyme less active (2).

    Alternate Names

    ASV; c-SRC; c-syn protooncogene; c-yes; cellular yes-1 protein; FLJ26625; FYN; FYN oncogene related to SRC, FGR, YES; FYN proto-oncogene, Src family tyrosine kinase; HCK; HCK proto-oncogene, Src family tyrosine kinase; Hematopoietic cell kinase; Hemopoietic cell kinase; HsT441; IMD22; JTK8; JTK9; LCK; LCK proto-oncogene, Src family tyrosine kinase; Lck/Yes-related novel protein tyrosine kinase; Leukocyte C-terminal Src kinase; LSK; Lymphocyte cell-specific protein-tyrosine kinase; lymphocyte-specific protein tyrosine kinase; LYN; LYN proto-oncogene, Src family tyrosine kinase; MGC45350; OKT3-induced calcium influx regulator; p53Lyn; p56-LCK; p56(LSTRA) protein-tyrosine kinase; p56lck; p56Lyn; p59-Fyn; p59-HCK/p60-HCK; p59Hck; p60-Src; p61-Yes; p61Hck; pp58lck; pp60c-src; Protein YT16; protein-tyrosine kinase fyn; Proto-oncogene c-Fyn; Proto-oncogene c-Src; Proto-oncogene c-Yes; Proto-oncogene Lck; Proto-oncogene Syn; proto-oncogene tyrosine-protein kinase fyn; proto-oncogene tyrosine-protein kinase LCK; Proto-oncogene tyrosine-protein kinase Src; Proto-oncogene tyrosine-protein kinase Yes; protooncogene SRC, Rous sarcoma; SLK; SRC; SRC proto-oncogene, non-receptor tyrosine kinase; src-like kinase; src/yes-related novel; SRC1; SYN; T cell-specific protein-tyrosine kinase; T-lymphocyte specific protein tyrosine kinase p56lck; THC6; tyrosine kinase p59fyn(T); tyrosine kinase pp60c-src; Tyrosine-protein kinase Fyn; Tyrosine-protein kinase HCK; Tyrosine-protein kinase Lck; Tyrosine-protein kinase Lyn; tyrosine-protein kinase SRC-1; Tyrosine-protein kinase Yes; v-src avian sarcoma (Schmidt-Ruppin A-2) viral oncogene homolog; v-src sarcoma (Schmidt-Ruppin A-2) viral oncogene homolog (avian); v-yes-1 Yamaguchi sarcoma viral oncogene homolog 1; v-yes-1 Yamaguchi sarcoma viral related oncogene homolog; viral oncogene yes-1 homolog 1; Yamaguchi sarcoma oncogene; Yamaguchi sarcoma viral (v-yes-1) related oncogene homolog; YES; YES proto-oncogene 1, Src family tyrosine kinase; YES1; YES1 proto-oncogene, Src family tyrosine kinase; YT16

    For Research Use Only. Not for Use in Diagnostic Procedures.
    Cell Signaling Technology is a trademark of Cell Signaling Technology, Inc.
    All other trademarks are the property of their respective owners. Visit our Trademark Information page.