Render Target: STATIC
Render Timestamp:
5/28/2026, 7:55:16 PM EDT
5/28/2026, 11:55:16 PM UTC
Commit: 7ed46ecc04b401f23a28df741b5078df405d23e4
XML generation date: 2025-11-13 17:57:36.352
Product last modified at: 2026-03-20T08:06:36.117Z
Cell Signaling Technology Logo - Extra Large
1% for the planet logo
PDP - Template Name: Polyclonal Antibody
PDP - Template ID: *******59c6464

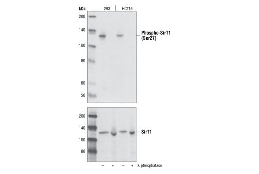
Phospho-SirT1 (Ser27) Antibody #2327

Filter:
  • WB

    Product Specifications

    REACTIVITY H
    SENSITIVITY Endogenous
    MW (kDa) 120
    SOURCE Rabbit
    Application Key:
    • WB-Western Blotting 
    Species Cross-Reactivity Key:
    • H-Human 

    Product Information

    Product Usage Information

    Application Dilution
    Western Blotting 1:1000

    Storage

    Supplied in 10 mM sodium HEPES (pH 7.5), 150 mM NaCl, 100 µg/ml BSA and 50% glycerol. Store at –20°C. Do not aliquot the antibody.

    实验步骤

    Specificity / Sensitivity

    Phospho-SirT1 (Ser27) Antibody detects endogenous levels of SirT1 protein only when phosphoryated on serine 27. This antibody does not cross-react with other sirtuin proteins.

    Species Reactivity:

    Human

    Source / Purification

    Polyclonal antibodies are produced by immunizing animals with a synthetic phosphopeptide corresponding to residues surrounding Ser27 of human SirT1. Antibodies are purified by protein A and peptide affinity chromatography.

    Background

    The Silent Information Regulator (SIR2) family of genes is a highly conserved group of genes that encode nicotinamide adenine dinucleotide (NAD)-dependent protein deacetylases, also known as class III histone deacetylases. The first discovered and best characterized of these genes is Saccharomyces cerevisiae SIR2, which is involved in silencing of mating type loci, telomere maintenance, DNA damage response, and cell aging (1). SirT1, the mammalian ortholog of Sir2, is a nuclear protein implicated in the regulation of many cellular processes, including apoptosis, cellular senescence, endocrine signaling, glucose homeostasis, aging, and longevity. Targets of SirT1 include acetylated p53 (2,3), p300 (4), Ku70 (5), forkhead (FoxO) transcription factors (5,6), PPARγ (7), and the PPARγ coactivator-1α (PGC-1α) protein (8). Deacetylation of p53 and FoxO transcription factors represses apoptosis and increases cell survival (2,3,5,6). Deacetylation of PPARγ and PGC-1α regulates the gluconeogenic/glycolytic pathways in the liver and fat mobilization in white adipocytes in response to fasting (7,8). SirT1 deacetylase activity is inhibited by nicotinamide and activated by resveratrol. In addition, SirT1 activity may be regulated by phosphorylation, as it is phosphorylated at Ser27 and Ser47 in vivo; however, the function of these phosphorylation sites has not yet been determined (9).

    Alternate Names

    75SirT1; hSIR2; hSIRT1; NAD-dependent deacetylase sirtuin-1; NAD-dependent protein deacetylase sirtuin-1; NAD-dependent protein deacylase sirtuin-1; Regulatory protein SIR2 homolog 1; SIR1; SIR2; sir2-like 1; SIR2-like protein 1; SIR2alpha; SIR2L1; SIRT1; SirtT1 75 kDa fragment; sirtuin (silent mating type information regulation 2 homolog) 1 (S. cerevisiae); sirtuin 1; sirtuin type 1

    For Research Use Only. Not for Use in Diagnostic Procedures.
    Cell Signaling Technology is a trademark of Cell Signaling Technology, Inc.
    All other trademarks are the property of their respective owners. Visit our Trademark Information page.