Cell Signaling Technology Logo - Extra Large

Phospho-SEK1/MKK4 (Ser257/Thr261) Antibody #9156

Filter:
  • WB

    Product Specifications

    REACTIVITY H M R Dm
    SENSITIVITY Endogenous
    MW (kDa) 44
    SOURCE Rabbit
    Application Key:
    • WB-Western Blotting 
    Species Cross-Reactivity Key:
    • H-Human 
    • M-Mouse 
    • R-Rat 
    • Dm-D. melanogaster 

    Product Information

    Product Usage Information

    Application Dilution
    Western Blotting 1:1000

    Storage

    Supplied in 10 mM sodium HEPES (pH 7.5), 150 mM NaCl, 100 µg/ml BSA and 50% glycerol. Store at –20°C. Do not aliquot the antibody.

    实验步骤

    Specificity / Sensitivity

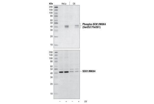
    Phospho-SEK1/MKK4 (Ser257/Thr261) Antibody detects endogenous levels of SEK1/MKK4 phosphorylated at serine 257/threonine 261 . This antibody does not cross-react with the corresponding phosphorylated residues of MEK1, MEK2 or MKK3. This antibody will also react with SEK1/MKK4 singly phosphorylated at Thr261.

    Species Reactivity:

    Human, Mouse, Rat, D. melanogaster

    The antigen sequence used to produce this antibody shares 100% sequence homology with the species listed here, but reactivity has not been tested or confirmed to work by CST. Use of this product with these species is not covered under our Product Performance Guarantee.

    Species predicted to react based on 100% sequence homology:

    Xenopus, Zebrafish

    Source / Purification

    Polyclonal antibodies are produced by immunizing animals with a synthetic phosphopeptide corresponding to residues surrounding Ser257/Thr261 of human SEK1/MKK4. Antibodies are purified by protein A and peptide affinity chromatography.

    Background

    SAPK/Erk kinase (SEK1), also known as MKK4 or Jun kinase kinase (JNKK), activates the MAP kinase homologues SAPK and JNK in response to various cellular stresses and inflammatory cytokines (1-3). Activation of SEK1 occurs through MEKK phosphorylation of serine and threonine residues at positions 257 and 261, respectively. Like MEK, SEK is a dual-specificity protein kinase that phosphorylates SAPK/JNK at a conserved T*PY* site in its activation loop (4). Phosphorylation by Akt at Ser80 inhibits SEK1 and suppresses stress-activated signal transduction (5).

    Alternate Names

    c-Jun N-terminal kinase kinase 1; Dual specificity mitogen-activated protein kinase kinase 4; JNK activating kinase 1; JNK-activated kinase 1; JNK-activating kinase 1; JNKK; JNKK1; MAP kinase kinase 4; MAP2K4; MAPK/ERK kinase 4; MAPKK 4; MAPKK4; MEK 4; MEK4; mitogen-activated protein kinase kinase 4; MKK4; MP2K4; PRKMK4; SAPK kinase 1; SAPK/ERK kinase 1; SAPKK-1; SAPKK1; SEK1; SERK1; SKK1; Stress-activated protein kinase kinase 1

    For Research Use Only. Not for Use in Diagnostic Procedures.
    Cell Signaling Technology is a trademark of Cell Signaling Technology, Inc.
    All other trademarks are the property of their respective owners. Visit our Trademark Information page.