Cell Signaling Technology Logo - Extra Large
Trial Size Available Flag
Recombinant Flag
Recombinant: Superior lot-to-lot consistency, continuous supply, and animal-free manufacturing.

Phospho-SAPK/JNK (Thr183/Tyr185) (81E11) Rabbit Monoclonal Antibody #4668

Filter:
  • WB
  • IP
  • IHC

    Product Specifications

    REACTIVITY H M R Dm Sc
    SENSITIVITY Endogenous
    MW (kDa) 46, 54
    Source/Isotype Rabbit IgG
    Application Key:
    • WB-Western Blotting 
    • IP-Immunoprecipitation 
    • IHC-Immunohistochemistry 
    Species Cross-Reactivity Key:
    • H-Human 
    • M-Mouse 
    • R-Rat 
    • Dm-D. melanogaster 
    • Sc-S. cerevisiae 

    Product Information

    Product Usage Information

    Application Dilution
    Western Blotting 1:1000
    Simple Western™ 1:10 - 1:50
    Immunoprecipitation 1:200
    Immunohistochemistry (Paraffin) 1:50

    Storage

    Supplied in 10 mM sodium HEPES (pH 7.5), 150 mM NaCl, 100 µg/ml BSA, 50% glycerol and less than 0.02% sodium azide. Store at –20°C. Do not aliquot the antibody.

    For a carrier free (BSA and azide free) version of this product see product #58328.

    实验步骤

    Specificity / Sensitivity

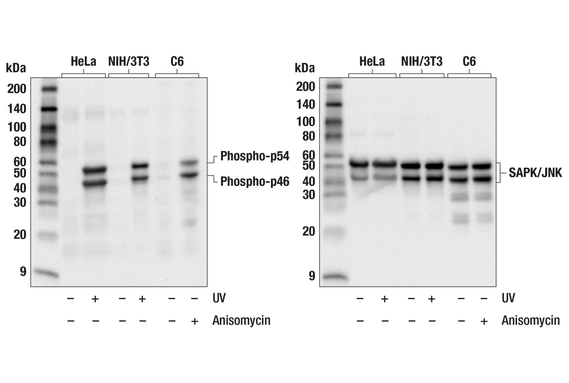
    Phospho-SAPK/JNK (Thr183/Tyr185) (81E11) Rabbit Monoclonal Antibody detects endogenous levels of p46 and p54 SAPK/JNK when phosphorylated at Thr183 and Tyr185. This antibody will also react with SAPK/JNK singly phosphorylated at Tyr185. This antibody may cross-react with phosphorylated p44/42 or p38 MAP kinases.

    Species Reactivity:

    Human, Mouse, Rat, D. melanogaster, S. cerevisiae

    Source / Purification

    Monoclonal antibody is produced by immunizing animals with a synthetic phosphopeptide corresponding to residues surrounding Thr183/Tyr185 of human SAPK/JNK.

    Background

    The stress-activated protein kinase/Jun-amino-terminal kinase SAPK/JNK is potently and preferentially activated by a variety of environmental stresses, including UV and gamma radiation, ceramides, inflammatory cytokines, and in some instances, growth factors and GPCR agonists (1-6). As with the other MAPKs, the core signaling unit is composed of a MAPKKK, typically MEKK1-MEKK4, or by one of the mixed lineage kinases (MLKs), which phosphorylate and activate MKK4/7. Upon activation, MKKs phosphorylate and activate the SAPK/JNK kinase (2). Stress signals are delivered to this cascade by small GTPases of the Rho family (Rac, Rho, cdc42) (3). Both Rac1 and cdc42 mediate the stimulation of MEKKs and MLKs (3). Alternatively, MKK4/7 can be activated in a GTPase-independent mechanism via stimulation of a germinal center kinase (GCK) family member (4). There are three SAPK/JNK genes each of which undergoes alternative splicing, resulting in numerous isoforms (3). SAPK/JNK, when active as a dimer, can translocate to the nucleus and regulate transcription through its effects on c-Jun, ATF-2, and other transcription factors (3,5).

    Alternate Names

    c-Jun N-terminal kinase 1; JNK; JNK-46; JNK1; JNK1 alpha protein kinase; JNK1 beta protein kinase; JNK1A2; JNK21B1/2; JUN N-terminal kinase; MAP kinase 8; MAPK 8; MAPK8; Mitogen-activated protein kinase 8; mitogen-activated protein kinase 8 isoform JNK1 alpha1; mitogen-activated protein kinase 8 isoform JNK1 beta2; MK08; PRKM8; protein kinase JNK1; SAPK1; SAPK1C; Stress-activated protein kinase 1; Stress-activated protein kinase 1c; Stress-activated protein kinase JNK1

    For Research Use Only. Not for Use in Diagnostic Procedures.
    Cell Signaling Technology is a trademark of Cell Signaling Technology, Inc.
    All other trademarks are the property of their respective owners. Visit our Trademark Information page.