Render Target: STATIC
Render Timestamp:
5/21/2026, 8:06:17 PM EDT
5/22/2026, 12:06:17 AM UTC
Commit: 7ed46ecc04b401f23a28df741b5078df405d23e4
XML generation date: 2025-11-12 16:16:57.624
Product last modified at: 2026-03-20T08:02:16.973Z
Cell Signaling Technology Logo - Extra Large
1% for the planet logo
PDP - Template Name: Monoclonal Antibody
PDP - Template ID: *******c5e4b77
Trial Size Available Flag
Recombinant Flag
Recombinant: Superior lot-to-lot consistency, continuous supply, and animal-free manufacturing.

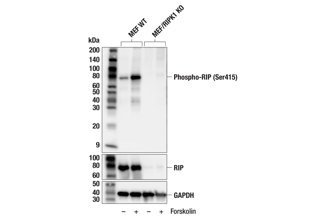
Phospho-RIP (Ser415) (F1U7B) Rabbit Monoclonal Antibody #71420

Filter:
  • WB
  • IP

    Product Specifications

    REACTIVITY H M
    SENSITIVITY Endogenous
    MW (kDa) 78-82
    Source/Isotype Rabbit IgG
    Application Key:
    • WB-Western Blotting 
    • IP-Immunoprecipitation 
    Species Cross-Reactivity Key:
    • H-Human 
    • M-Mouse 

    Product Information

    Product Usage Information

    Application Dilution
    Western Blotting 1:1000
    Immunoprecipitation 1:100

    Storage

    Supplied in 10 mM sodium HEPES (pH 7.5), 150 mM NaCl, 100 µg/mL BSA, 50% glycerol, and less than 0.02% sodium azide. Store at –20°C. Do not aliquot the antibody.

    实验步骤

    Specificity / Sensitivity

    Phospho-RIP (Ser415) (F1U7B) Rabbit Monoclonal Antibody recognizes endogenous levels of mouse RIP protein only when phosphorylated at Ser415. This antibody can also detect human RIP protein when phosphorylated at Ser416.

    Species Reactivity:

    Human, Mouse

    Source / Purification

    Monoclonal antibody is produced by immunizing animals with a synthetic phosphopeptide corresponding to residues surrounding Ser415 of mouse RIP protein.

    Background

    The receptor-interacting protein (RIP) family of serine-threonine kinases (RIP, RIP2, RIP3, and RIP4) are important regulators of cellular stress that trigger pro-survival and inflammatory responses through the activation of NF-κB, as well as pro-apoptotic pathways (1). In addition to the kinase domain, RIP contains a death domain responsible for interaction with the death domain receptor Fas and recruitment to TNF-R1 through interaction with TRADD (2,3). RIP-deficient cells show a failure in TNF-mediated NF-κB activation, making the cells more sensitive to apoptosis (4,5). RIP also interacts with TNF-receptor-associated factors (TRAFs) and can recruit IKKs to the TNF-R1 signaling complex via interaction with NEMO, leading to IκB phosphorylation and degradation (6,7). Overexpression of RIP induces both NF-κB activation and apoptosis (2,3). Caspase-8-dependent cleavage of the RIP death domain can trigger the apoptotic activity of RIP (8).
    Phosphorylation of mouse RIP at Ser415 (Ser416 in human) by AMPK in response to metabolic stress can inhibit RIP cell death (9).

    Alternate Names

    Cell death protein RIP; D330015H01Rik; receptor (TNFRSF)-interacting serine-threonine kinase 1; Receptor-interacting protein 1; Receptor-interacting serine/threonine-protein kinase 1; Rinp; Rip; RIP-1; Rip1; Ripk1; Serine/threonine-protein kinase RIP

    For Research Use Only. Not for Use in Diagnostic Procedures.
    Cell Signaling Technology is a trademark of Cell Signaling Technology, Inc.
    All other trademarks are the property of their respective owners. Visit our Trademark Information page.