Render Target: STATIC
Render Timestamp:
5/28/2026, 8:36:54 PM EDT
5/29/2026, 12:36:54 AM UTC
Commit: 7ed46ecc04b401f23a28df741b5078df405d23e4
XML generation date: 2026-01-27 19:02:48.632
Product last modified at: 2026-03-20T08:02:02.366Z
Cell Signaling Technology Logo - Extra Large
1% for the planet logo
PDP - Template Name: Polyclonal Antibody
PDP - Template ID: *******59c6464

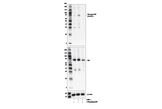
Phospho-RIP (Ser321) Antibody #83613

Filter:
  • WB

    Product Specifications

    REACTIVITY M
    SENSITIVITY Endogenous
    MW (kDa) 78
    SOURCE Rabbit
    Application Key:
    • WB-Western Blotting 
    Species Cross-Reactivity Key:
    • M-Mouse 

    Product Information

    Product Usage Information

    Application Dilution
    Western Blotting 1:1000

    Storage

    Supplied in 10 mM sodium HEPES (pH 7.5), 150 mM NaCl, 100 µg/ml BSA and 50% glycerol. Store at –20°C. Do not aliquot the antibody.

    实验步骤

    Specificity / Sensitivity

    Phospho-RIP (Ser321) Antibody recognizes endogenous levels of RIP protein only when phosphorylated at Ser321.

    Species Reactivity:

    Mouse

    Source / Purification

    Polyclonal antibodies are produced by immunizing animals with a synthetic phospho-peptide corresponding to residues surrounding Ser321 of mouse RIP protein. Antibodies are purified by protein A and peptide affinity chromatography.

    Background

    The receptor-interacting protein (RIP) family of serine-threonine kinases (RIP, RIP2, RIP3, and RIP4) are important regulators of cellular stress that trigger pro-survival and inflammatory responses through the activation of NF-κB, as well as pro-apoptotic pathways (1). In addition to the kinase domain, RIP contains a death domain responsible for interaction with the death domain receptor Fas and recruitment to TNF-R1 through interaction with TRADD (2,3). RIP-deficient cells show a failure in TNF-mediated NF-κB activation, making the cells more sensitive to apoptosis (4,5). RIP also interacts with TNF-receptor-associated factors (TRAFs) and can recruit IKKs to the TNF-R1 signaling complex via interaction with NEMO, leading to IκB phosphorylation and degradation (6,7). Overexpression of RIP induces both NF-κB activation and apoptosis (2,3). Caspase-8-dependent cleavage of the RIP death domain can trigger the apoptotic activity of RIP (8).
    Necroptosis, a regulated pathway for necrotic cell death, is triggered by a number of inflammatory signals, including cytokines in the tumor necrosis factor (TNF) family, pathogen sensors such as toll-like receptors (TLRs), and ischemic injury (9,10). The process is negatively regulated by caspases and is initiated through a complex containing the RIP and RIP3 kinases, typically referred to as the necrosome. Necroptosis is inhibited by a small molecule inhibitor of RIP, necrostatin-1 (Nec-1) (11). Research studies show that necroptosis contributes to a number of pathological conditions, and Nec-1 has been shown to provide neuroprotection in models such as ischemic brain injury (12). RIP is phosphorylated at several sites within the kinase domain that are sensitive to Nec-1, including Ser14, Ser15, Ser161, and Ser166 (13).

    RIP is also phosphorylated at Ser321(mouse)/Ser320(human) by MAPKAPK-2 (MK-2) and TAK1 in response to inflammatory signals such as TNF-α and LPS (14-17). Phosporylation at this site suppresses RIP mediated apoptosis by inhibiting its interaction with FADD and caspase-8 (14-17).
    1. Meylan, E. and Tschopp, J. (2005) Trends Biochem Sci 30, 151-9.
    2. Hsu, H. et al. (1996) Immunity 4, 387-96.
    3. Stanger, B.Z. et al. (1995) Cell 81, 513-23.
    4. Ting, A.T. et al. (1996) EMBO J 15, 6189-96.
    5. Kelliher, M.A. et al. (1998) Immunity 8, 297-303.
    6. Devin, A. et al. (2000) Immunity 12, 419-29.
    7. Zhang, S.Q. et al. (2000) Immunity 12, 301-11.
    8. Lin, Y. et al. (1999) Genes Dev 13, 2514-26.
    9. Christofferson, D.E. and Yuan, J. (2010) Curr Opin Cell Biol 22, 263-8.
    10. Kaczmarek, A. et al. (2013) Immunity 38, 209-23.
    11. Degterev, A. et al. (2008) Nat Chem Biol 4, 313-21.
    12. Degterev, A. et al. (2005) Nat Chem Biol 1, 112-9.
    13. Ofengeim, D. and Yuan, J. (2013) Nat Rev Mol Cell Biol 14, 727-36.
    14. Jaco, I. et al. (2017) Mol Cell 66, 698-710.e5.
    15. Geng, J. et al. (2017) Nat Commun 8, 359.
    16. Dondelinger, Y. et al. (2017) Nat Cell Biol 19, 1237-1247.
    17. Menon, M.B. et al. (2017) Nat Cell Biol 19, 1248-1259.

    Alternate Names

    Cell death protein RIP; D330015H01Rik; receptor (TNFRSF)-interacting serine-threonine kinase 1; Receptor-interacting protein 1; Receptor-interacting serine/threonine-protein kinase 1; Rinp; Rip; RIP-1; Rip1; Ripk1; Serine/threonine-protein kinase RIP

    For Research Use Only. Not for Use in Diagnostic Procedures.
    Cell Signaling Technology is a trademark of Cell Signaling Technology, Inc.
    All other trademarks are the property of their respective owners. Visit our Trademark Information page.