Render Target: STATIC
Render Timestamp:
5/26/2026, 7:54:40 PM EDT
5/26/2026, 11:54:40 PM UTC
Commit: 7ed46ecc04b401f23a28df741b5078df405d23e4
XML generation date: 2025-11-12 16:09:21.432
Product last modified at: 2026-03-20T08:04:58.872Z
Cell Signaling Technology Logo - Extra Large
1% for the planet logo
PDP - Template Name: Polyclonal Antibody
PDP - Template ID: *******59c6464

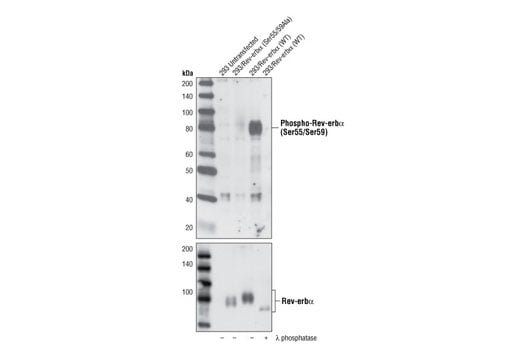
Phospho-Rev-erb alpha (Ser55/59) Antibody #2129

Filter:
  • WB

    Product Specifications

    REACTIVITY H
    SENSITIVITY Transfected Only
    MW (kDa) 80
    SOURCE Rabbit
    Application Key:
    • WB-Western Blotting 
    Species Cross-Reactivity Key:
    • H-Human 

    Product Information

    Product Usage Information

    Application Dilution
    Western Blotting 1:1000

    Storage

    Supplied in 10 mM sodium HEPES (pH 7.5), 150 mM NaCl, 100 µg/ml BSA and 50% glycerol. Store at –20°C. Do not aliquot the antibody.

    实验步骤

    Specificity / Sensitivity

    Phospho-Rev-erb alpha (Ser55/59) Antibody detects transfected levels of Rev-erbα protein when phosphorylated at Ser55/59. This antibody does not cross-react with other nuclear receptor proteins, including Rev-erbβ.

    Species Reactivity:

    Human

    The antigen sequence used to produce this antibody shares 100% sequence homology with the species listed here, but reactivity has not been tested or confirmed to work by CST. Use of this product with these species is not covered under our Product Performance Guarantee.

    Species predicted to react based on 100% sequence homology:

    Mouse, Rat, Bovine

    Source / Purification

    Polyclonal antibodies are produced by immunizing animals with a synthetic phosphopeptide corresponding to residues surrounding Ser55 and Ser59 of human Rev-erbα. Antibodies are purified by protein A and peptide affinity chromatography.

    Background

    Reverse orientation c-erbA gene α (Rev-erbα, EAR-1, or NR1D1) is a widely expressed member of the orphan nuclear receptor family of proteins (1). Rev-erbα is highly expressed in adipose tissue, skeletal muscle, brain and liver, and regulates cellular proliferation and differentiation. Expression increases during differentiation in adipocytes and ectopic expression of Rev-erbα potentiates the adipocyte differentiation of 3T3-L1 cells (2). In addition, expression oscillates with circadian rhythm in liver cells and Rev-erbα regulates expression of BMAL1, ApoA-I and ApoC-III, all key regulators of circadian rhythm (3-7). Phosphorylation of Rev-erbα Ser55 and Ser59 by GSK-3β appears to stabilize Rev-erbα protein levels and is important for synchronizing and maintaining the circadian clock (8). Rev-erbα also regulates inflammation by targeting the NF-κB responsive genes IL-6 and COX-2 (9). Rev-erbα lacks the activation function 2 domain required for ligand-dependent activation of transcription by other members of the nuclear receptor family; thus it behaves as a constitutive repressor protein, recruiting the nuclear receptor co-repressor (N-CoR)/HDAC3 complex to target genes to repress transcription (10).

    Alternate Names

    EAR-1; EAR1; HREV; NR1D1; nuclear receptor Rev-ErbA-alpha; Nuclear receptor subfamily 1 group D member 1; nuclear receptor subfamily 1, group D, member 1; Rev-erbA-alpha; Rev-ErbAalpha; REVERBA; REVERBalpha; THRA1; THRAL; thyroid hormone receptor, alpha-like; V-erbA-related protein 1

    For Research Use Only. Not for Use in Diagnostic Procedures.
    Cell Signaling Technology is a trademark of Cell Signaling Technology, Inc.
    All other trademarks are the property of their respective owners. Visit our Trademark Information page.