Cell Signaling Technology Logo - Extra Large

Phospho-Rad18 (Ser403) Antibody #8393

Filter:
  • WB
  • IP

    Product Specifications

    REACTIVITY H
    SENSITIVITY Endogenous
    MW (kDa) 80, 90
    SOURCE Rabbit
    Application Key:
    • WB-Western Blotting 
    • IP-Immunoprecipitation 
    Species Cross-Reactivity Key:
    • H-Human 

    Product Information

    Product Usage Information

    Application Dilution
    Western Blotting 1:1000
    Immunoprecipitation 1:50

    Storage

    Supplied in 10 mM sodium HEPES (pH 7.5), 150 mM NaCl, 100 µg/ml BSA and 50% glycerol. Store at –20°C. Do not aliquot the antibody.

    实验步骤

    Specificity / Sensitivity

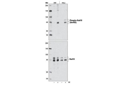
    Phospho-Rad18 (Ser403) Antibody recognizes endogenous levels of Rad18 protein only when phosphorylated at Ser403. In some cell types, this antibody cross-reacts with a >200 kDa protein of unknown origin.

    Species Reactivity:

    Human

    The antigen sequence used to produce this antibody shares 100% sequence homology with the species listed here, but reactivity has not been tested or confirmed to work by CST. Use of this product with these species is not covered under our Product Performance Guarantee.

    Species predicted to react based on 100% sequence homology:

    Monkey

    Source / Purification

    Polyclonal antibodies are produced by immunizing animals with a synthetic peptide corresponding to residues surrounding Ser403 of human Rad18 protein. Antibodies are purified by protein A and peptide affinity chromatography.

    Background

    DNA damage, if not repaired, can lead to genome instability and tumorigenesis. Eukaryotic cells use multiple (sometimes overlapping) signaling pathways to respond to agents that cause various types of DNA lesions. Downstream molecules in DNA repair pathways converge on the sites of DNA damage, resulting in cell cycle arrest and repair or apoptosis (1). Rad18 is an E3 ubiquitin ligase recruited to sites of DNA damage. Along with the E2 ubiquitin ligase Rad6, Rad18 is responsible for monoubiquitination of DNA damage proteins including the replication clamp PCNA and the Fanconi anemia core protein FANCD2. Monoubiquitination of these proteins signals to downstream effector molecules and results in the repair of either post-replication repair lesions via the translesion synthesis (TLS) pathway or DNA double strand breaks via homologous recombination (2-4). Phospho-proteomic studies indicate that Ser403 of Rad18 may be phosphorylated by ATM/ATR in response to DNA damage-inducing agents (5,6).

    Alternate Names

    E3 ubiquitin-protein ligase RAD18; hHR18; hRAD18; postreplication repair protein hRAD18p; Postreplication repair protein RAD18; RAD18; RAD18 E3 ubiquitin protein ligase; RAD18 homolog; RAD18 homolog (S. cerevisiae); RAD18, S. cerevisiae, homolog; RING finger protein 73; RING-type E3 ubiquitin transferase RAD18; RNF73

    For Research Use Only. Not for Use in Diagnostic Procedures.
    Cell Signaling Technology is a trademark of Cell Signaling Technology, Inc.
    All other trademarks are the property of their respective owners. Visit our Trademark Information page.