Cell Signaling Technology Logo - Extra Large

Phospho-PKC zeta (Thr410)/lambda (Thr412) Antibody #9378

Filter:
  • WB

    Product Specifications

    REACTIVITY H M R Mk
    SENSITIVITY Endogenous
    MW (kDa) 76
    SOURCE Rabbit
    Application Key:
    • WB-Western Blotting 
    Species Cross-Reactivity Key:
    • H-Human 
    • M-Mouse 
    • R-Rat 
    • Mk-Monkey 

    Product Information

    Product Usage Information

    Application Dilution
    Western Blotting 1:1000

    Storage

    Supplied in 10 mM sodium HEPES (pH 7.5), 150 mM NaCl, 100 µg/ml BSA and 50% glycerol. Store at –20°C. Do not aliquot the antibody.

    实验步骤

    Specificity / Sensitivity

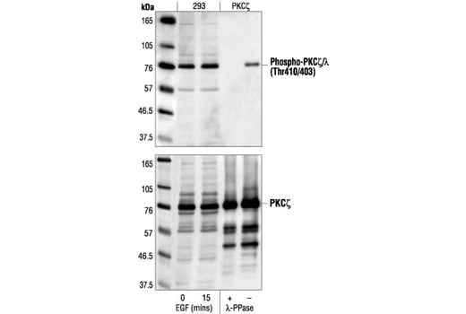
    Phospho-PKC zeta (Thr410)/lambda (Thr412) Antibody detects endogenous PKC zeta only when phosphorylated at threonine 410, endogenous PKC lambda only when phosphorylated at threonine 412, and endogenous PKC gamma only when phosphorylated at threonine 514. This antibody does not cross-react with endogenous levels of other PKC isoforms.

    Species Reactivity:

    Human, Mouse, Rat, Monkey

    Source / Purification

    Polyclonal antibodies are produced by immunizing animals with a synthetic phosphopeptide corresponding to residues surrounding Thr410 of human PKC zeta. Antibodies are purified by protein A and peptide affinity chromatography.

    Background

    Activation of protein kinase C (PKC) is one of the earliest events in a cascade that controls a variety of cellular responses, including secretion, gene expression, proliferation, and muscle contraction (1,2). PKC isoforms belong to three groups based on calcium dependency and activators. Classical PKCs are calcium-dependent via their C2 domains and are activated by phosphatidylserine (PS), diacylglycerol (DAG), and phorbol esters (TPA, PMA) through their cysteine-rich C1 domains. Both novel and atypical PKCs are calcium-independent, but only novel PKCs are activated by PS, DAG, and phorbol esters (3-5). Members of these three PKC groups contain a pseudo-substrate or autoinhibitory domain that binds to substrate-binding sites in the catalytic domain to prevent activation in the absence of cofactors or activators. Control of PKC activity is regulated through three distinct phosphorylation events. Phosphorylation occurs in vivo at Thr500 in the activation loop, at Thr641 through autophosphorylation, and at the carboxy-terminal hydrophobic site Ser660 (2). Atypical PKC isoforms lack hydrophobic region phosphorylation, which correlates with the presence of glutamic acid rather than the serine or threonine residues found in more typical PKC isoforms. The enzyme PDK1 or a close relative is responsible for PKC activation. A recent addition to the PKC superfamily is PKCμ (PKD), which is regulated by DAG and TPA through its C1 domain. PKD is distinguished by the presence of a PH domain and by its unique substrate recognition and Golgi localization (6). PKC-related kinases (PRK) lack the C1 domain and do not respond to DAG or phorbol esters. Phosphatidylinositol lipids activate PRKs, and small Rho-family GTPases bind to the homology region 1 (HR1) to regulate PRK kinase activity (7).

    Alternate Names

    aPKC-lambda/iota; Atypical protein kinase C-lambda/iota; DXS1179E; KPCG; KPCI; KPCZ; MGC26534; MGC57564; nPKC-iota; nPKC-zeta; PKC iota; PKC-gamma; PKC-ZETA; PKC2; PKCC; PKCG; PKCgamma; PKCI; PKCI(3); PKCZ; PRKC-lambda/iota; PRKCG; PRKCI; PRKCZ; protein kinase C gamma; Protein kinase C gamma type; protein kinase C iota; Protein kinase C iota type; protein kinase C zeta; Protein kinase C zeta type; protein kinase C, gamma; protein kinase C, iota; protein kinase C, zeta; SCA14

    For Research Use Only. Not for Use in Diagnostic Procedures.
    Cell Signaling Technology is a trademark of Cell Signaling Technology, Inc.
    All other trademarks are the property of their respective owners. Visit our Trademark Information page.