Cell Signaling Technology Logo - Extra Large
Trial Size Available Flag
Recombinant Flag
Recombinant: Superior lot-to-lot consistency, continuous supply, and animal-free manufacturing.

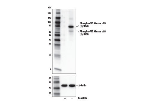
Phospho-PI3 Kinase p85 (Tyr458)/p55 (Tyr199) (E3U1H) Rabbit Monoclonal Antibody #17366

Filter:
  • WB
  • IP
  • F

    Product Specifications

    REACTIVITY M
    SENSITIVITY Endogenous
    MW (kDa) 60, 85
    Source/Isotype Rabbit IgG
    Application Key:
    • WB-Western Blotting 
    • IP-Immunoprecipitation 
    • F-Flow Cytometry 
    Species Cross-Reactivity Key:
    • M-Mouse 

    Product Information

    Product Usage Information

    Application Dilution
    Western Blotting 1:1000
    Immunoprecipitation 1:100
    Flow Cytometry (Fixed/Permeabilized) 1:50 - 1:200

    Storage

    Supplied in 10 mM sodium HEPES (pH 7.5), 150 mM NaCl, 100 µg/ml BSA, 50% glycerol and less than 0.02% sodium azide. Store at –20°C. Do not aliquot the antibody.

    For a carrier free (BSA and azide free) version of this product see product #48309.

    实验步骤

    Specificity / Sensitivity

    Phospho-PI3 Kinase p85 (Tyr458)/p55 (Tyr199) (E3U1H) Rabbit Monoclonal Antibody recognizes endogenous levels of p85/p55 protein only when phosphorylated at Tyr467/Tyr199 (Tyr458/Tyr199 in mouse).

    Species Reactivity:

    Mouse

    The antigen sequence used to produce this antibody shares 100% sequence homology with the species listed here, but reactivity has not been tested or confirmed to work by CST. Use of this product with these species is not covered under our Product Performance Guarantee.

    Species predicted to react based on 100% sequence homology:

    Human

    Source / Purification

    Monoclonal antibody is produced by immunizing animals with a synthetic phosphopeptide corresponding to residues surrounding Tyr467 (equivalent to Tyr458 in mouse) of human p85α protein.

    Background

    Phosphoinositide 3-kinase (PI3K) catalyzes the production of phosphatidylinositol-3,4,5-triphosphate by phosphorylating phosphatidylinositol (PI), phosphatidylinositol-4-phosphate (PIP), and phosphatidylinositol-4,5-bisphosphate (PIP2). Growth factors and hormones trigger this phosphorylation event, which in turn coordinates cell growth, cell cycle entry, cell migration, and cell survival (1). PTEN reverses this process, and research studies have shown that the PI3K signaling pathway is constitutively activated in human cancers that have loss of function of PTEN (2). PI3Ks are composed of a catalytic subunit (p110) and a regulatory subunit. Various isoforms of the catalytic subunit (p110α, p110β, p110γ, and p110δ) have been isolated, and the regulatory subunits that associate with p110α, p110β, and p110δ are p85α and p85β (3). In contrast, p110γ associates with a p101 regulatory subunit that is unrelated to p85. Furthermore, p110γ is activated by βγ subunits of heterotrimeric G proteins (4).
    Protein extracts from 3T3-Src cells were profiled by PhosphoScan® to identify phosphotyrosine peptides. Tyr458 of PI3K p85 and Tyr199 of PI3K p55 were among 180 phosphopeptides and 185 phosphotyrosine sites identified (5).

    Alternate Names

    100% homology to SWISS-PROT Q92569; AGM7; DKFZp686P05226; FLJ41892; GRB1; IMD36; MPPH; MPPH1; p55; p55-GAMMA; P55G; p55PIK; p85; p85-ALPHA; p85-BETA; P85A; P85B; Phosphatidylinositol 3-kinase 55 kDa regulatory subunit gamma; Phosphatidylinositol 3-kinase 85 kDa regulatory subunit alpha; Phosphatidylinositol 3-kinase 85 kDa regulatory subunit beta; Phosphatidylinositol 3-kinase regulatory subunit alpha; Phosphatidylinositol 3-kinase regulatory subunit beta; Phosphatidylinositol 3-kinase regulatory subunit gamma; phosphatidylinositol 3-kinase-associated p-85 alpha; phosphatidylinositol 3-kinase, regulatory subunit, polypeptide 1 (p85 alpha); phosphatidylinositol 3-kinase, regulatory subunit, polypeptide 2 (p85 beta); phosphatidylinositol 3-kinase, regulatory subunit, polypeptide 3 (p55, gamma); phosphatidylinositol 3-kinase, regulatory, 1; phosphoinositide-3-kinase regulatory subunit 1; phosphoinositide-3-kinase regulatory subunit 2; phosphoinositide-3-kinase regulatory subunit 3; phosphoinositide-3-kinase regulatory subunit alpha; phosphoinositide-3-kinase regulatory subunit beta; phosphoinositide-3-kinase, regulatory subunit 1 (alpha); phosphoinositide-3-kinase, regulatory subunit 2 (beta); phosphoinositide-3-kinase, regulatory subunit 2 (p85 beta); phosphoinositide-3-kinase, regulatory subunit 3 (gamma); phosphoinositide-3-kinase, regulatory subunit 3 (p55, gamma); phosphoinositide-3-kinase, regulatory subunit, polypeptide 2 (p85 beta); phosphoinositide-3-kinase, regulatory subunit, polypeptide 3 (p55, gamma); PI3-kinase regulatory subunit alpha; PI3-kinase regulatory subunit beta; PI3-kinase regulatory subunit gamma; PI3-kinase subunit p55-gamma; PI3-kinase subunit p85-alpha; PI3-kinase subunit p85-beta; PI3K regulatory subunit alpha; PI3K regulatory subunit beta; PI3K regulatory subunit gamma; PIK3R1; PIK3R2; PIK3R3; PtdIns-3-kinase regulatory subunit alpha; PtdIns-3-kinase regulatory subunit beta; PtdIns-3-kinase regulatory subunit gamma; PtdIns-3-kinase regulatory subunit p55-gamma; PtdIns-3-kinase regulatory subunit p85-alpha; PtdIns-3-kinase regulatory subunit p85-beta

    For Research Use Only. Not for Use in Diagnostic Procedures.
    Cell Signaling Technology is a trademark of Cell Signaling Technology, Inc.
    Alexa Fluor is a registered trademark of Life Technologies Corporation.
    All other trademarks are the property of their respective owners. Visit our Trademark Information page.