Render Target: STATIC
Render Timestamp:
5/20/2026, 8:35:20 PM EDT
5/21/2026, 12:35:20 AM UTC
Commit: 7ed46ecc04b401f23a28df741b5078df405d23e4
XML generation date: 2025-11-13 17:59:04.672
Product last modified at: 2026-03-20T08:02:33.850Z
Cell Signaling Technology Logo - Extra Large
1% for the planet logo
PDP - Template Name: Polyclonal Antibody
PDP - Template ID: *******59c6464

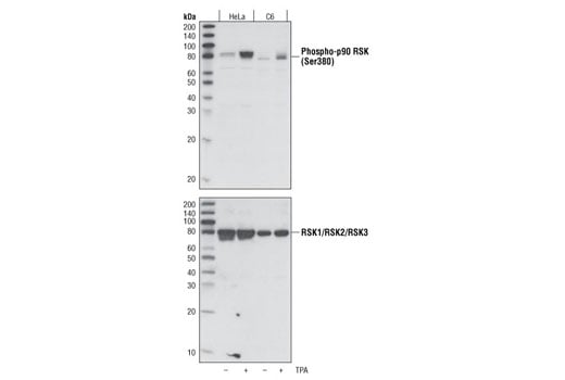
Phospho-p90RSK (Ser380) Antibody #9341

Filter:
  • WB
  • IP

    Product Specifications

    REACTIVITY H M R Mk
    SENSITIVITY Endogenous
    MW (kDa) 90
    SOURCE Rabbit
    Application Key:
    • WB-Western Blotting 
    • IP-Immunoprecipitation 
    Species Cross-Reactivity Key:
    • H-Human 
    • M-Mouse 
    • R-Rat 
    • Mk-Monkey 

    Product Information

    Product Usage Information

    Application Dilution
    Western Blotting 1:1000
    Immunoprecipitation 1:50

    Storage

    Supplied in 10 mM sodium HEPES (pH 7.5), 150 mM NaCl, 100 µg/ml BSA and 50% glycerol. Store at –20°C. Do not aliquot the antibody.

    实验步骤

    Specificity / Sensitivity

    Phospho-p90RSK (Ser380) Antibody detects endogenous levels of p90RSK only when phosphorylated at Ser380. This antibody does not recognize p90RSK phosphorylated at other sites. This antibody shows some cross-reactivity with RSK2 and RSK3 when phosphorylated at the homologous serine residues.

    Species Reactivity:

    Human, Mouse, Rat, Monkey

    The antigen sequence used to produce this antibody shares 100% sequence homology with the species listed here, but reactivity has not been tested or confirmed to work by CST. Use of this product with these species is not covered under our Product Performance Guarantee.

    Species predicted to react based on 100% sequence homology:

    Hamster, Dog

    Source / Purification

    Polyclonal antibodies are produced by immunizing animals with a synthetic phosphopeptide corresponding to residues surrounding Ser380 of human p90RSK. Antibodies are purified by protein A and peptide affinity chromatography.

    Background

    The 90 kDa ribosomal S6 kinases (RSK1-4) are a family of widely expressed Ser/Thr kinases characterized by two nonidentical, functional kinase domains (1) and a carboxy-terminal docking site for extracellular signal-regulated kinases (ERKs) (2). Several sites both within and outside of the RSK kinase domain, including Ser380, Thr359, Ser363, and Thr573, are important for kinase activation (3). RSK1-3 are activated via coordinated phosphorylation by MAPKs, autophosphorylation, and phosphoinositide-3-OH kinase (PI3K) in response to many growth factors, polypeptide hormones, and neurotransmitters (3).

    Alternate Names

    90 kDa ribosomal protein S6 kinase 1; 90 kDa ribosomal protein S6 kinase 2; 90 kDa ribosomal protein S6 kinase 3; CLS; dJ590P13.1 (ribosomal protein S6 kinase, 90kD, polypeptide 1); epididymis secretory sperm binding protein; HU-1; HU-2; HU-3; Insulin-stimulated protein kinase 1; ISPK-1; ISPK1; KS6A1; KS6A2; KS6A3; MAP kinase-activated protein kinase 1a; MAP kinase-activated protein kinase 1b; MAP kinase-activated protein kinase 1c; MAPK-activated protein kinase 1a; MAPK-activated protein kinase 1b; MAPK-activated protein kinase 1c; MAPKAP kinase 1a; MAPKAP kinase 1b; MAPKAP kinase 1c; MAPKAPK-1a; MAPKAPK-1b; MAPKAPK-1c; MAPKAPK1; MAPKAPK1A; MAPKAPK1B; MAPKAPK1C; mental retardation, X-linked 19; mitogen-activated protein kinase-activated protein kinase 1C; MRX19; p90-RSK 1; p90-RSK 2; p90-RSK 3; p90-RSK2; p90-RSK3; p90RSK; p90RSK1; p90RSK2; p90RSK3; p90S6K; pp90RSK2; pp90RSK3; ribosomal protein S6 kinase A1; ribosomal protein S6 kinase A2; ribosomal protein S6 kinase A3; ribosomal protein S6 kinase alpha 1; ribosomal protein S6 kinase alpha 2; Ribosomal protein S6 kinase alpha-1; Ribosomal protein S6 kinase alpha-2; Ribosomal protein S6 kinase alpha-3; ribosomal protein S6 kinase, 90kDa, polypeptide 1; ribosomal protein S6 kinase, 90kDa, polypeptide 2; ribosomal protein S6 kinase, 90kDa, polypeptide 3; Ribosomal S6 kinase 1; Ribosomal S6 kinase 2; Ribosomal S6 kinase 3; RPS6KA1; RPS6KA2; RPS6KA3; RSK; RSK-1; RSK-2; RSK-3; RSK1; RSK2; RSK3; S6K-alpha; S6K-alpha 1; S6K-alpha-1; S6K-alpha-2; S6K-alpha-3; S6K-alpha2; S6K-alpha3

    For Research Use Only. Not for Use in Diagnostic Procedures.
    Cell Signaling Technology is a trademark of Cell Signaling Technology, Inc.
    All other trademarks are the property of their respective owners. Visit our Trademark Information page.