Cell Signaling Technology Logo - Extra Large
Trial Size Available Flag

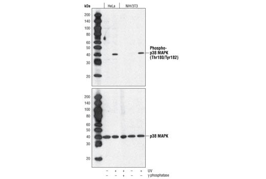
Phospho-p38 MAPK (Thr180/Tyr182) (28B10) Mouse Monoclonal Antibody #9216

Filter:
  • WB
  • IP
  • IF
  • F

    Product Specifications

    REACTIVITY H M R Mk Sc
    SENSITIVITY Endogenous
    MW (kDa) 43
    Source/Isotype Mouse IgG1
    Application Key:
    • WB-Western Blotting 
    • IP-Immunoprecipitation 
    • IF-Immunofluorescence 
    • F-Flow Cytometry 
    Species Cross-Reactivity Key:
    • H-Human 
    • M-Mouse 
    • R-Rat 
    • Mk-Monkey 
    • Sc-S. cerevisiae 

    Product Information

    Product Usage Information

    Application Dilution
    Western Blotting 1:2000
    Immunoprecipitation 1:50
    Immunofluorescence (Immunocytochemistry) 1:400
    Flow Cytometry (Fixed/Permeabilized) 1:400 - 1:1600

    Storage

    Supplied in 10 mM sodium HEPES (pH 7.5), 150 mM NaCl, 100 µg/ml BSA, 50% glycerol and less than 0.02% sodium azide. Store at –20°C. Do not aliquot the antibody.

    For a carrier free (BSA and azide free) version of this product see product #24678.

    实验步骤

    Specificity / Sensitivity

    Phospho-p38 MAPK (Thr180/Tyr182) (28B10) Mouse Monoclonal Antibody detects p38 MAPK only when activated by dual phosphorylation at Thr180 and Tyr182. This antibody does not significantly cross-react with the corresponding phosphorylated forms of either p44/42 MAPK (Erk1/2) or SAPK/JNK. This antibody does not detect nonphosphorylated p38 MAPK.

    Species Reactivity:

    Human, Mouse, Rat, Monkey, S. cerevisiae

    The antigen sequence used to produce this antibody shares 100% sequence homology with the species listed here, but reactivity has not been tested or confirmed to work by CST. Use of this product with these species is not covered under our Product Performance Guarantee.

    Species predicted to react based on 100% sequence homology:

    Zebrafish

    Source / Purification

    Monoclonal antibody is produced by immunizing animals with a synthetic phosphopeptide corresponding to residues around Thr180/Tyr182 of human p38 MAPK.

    Background

    p38 MAP kinase (MAPK), also called RK (1) or CSBP (2), is the mammalian orthologue of the yeast HOG kinase that participates in a signaling cascade controlling cellular responses to cytokines and stress (1-4). Four isoforms of p38 MAPK, p38α, β, γ (also known as Erk6 or SAPK3), and δ (also known as SAPK4) have been identified. Similar to the SAPK/JNK pathway, p38 MAPK is activated by a variety of cellular stresses, including osmotic shock, inflammatory cytokines, lipopolysaccharide (LPS), UV light, and growth factors (1-5). MKK3, MKK6, and SEK activate p38 MAPK by phosphorylation at Thr180 and Tyr182. Activated p38 MAPK has been shown to phosphorylate and activate MAPKAP kinase 2 (3) and to phosphorylate the transcription factors ATF-2 (5), Max (6), and MEF2 (5-8). SB203580 (4-(4-fluorophenyl)-2-(4-methylsulfinylphenyl)-5-(4-pyridyl)-imidazole) is a selective inhibitor of p38 MAPK. This compound inhibits the activation of MAPKAPK-2 by p38 MAPK and subsequent phosphorylation of HSP27 (9). SB203580 inhibits p38 MAPK catalytic activity by binding to the ATP-binding pocket, but does not inhibit phosphorylation of p38 MAPK by upstream kinases (10).

    Alternate Names

    CSAID-binding protein; Csaids binding protein; CSBP; CSBP1; CSBP2; CSPB1; cytokine suppressive anti-inflammatory drug binding protein; Cytokine suppressive anti-inflammatory drug-binding protein; ERK-6; ERK3; ERK6; EXIP; Extracellular signal-regulated kinase 6; MAP kinase 11; MAP kinase 12; MAP kinase 13; MAP kinase 14; MAP kinase MXI2; MAP kinase p38 alpha; MAP kinase p38 beta; MAP kinase p38 delta; MAP kinase p38 gamma; MAPK 11; MAPK 12; MAPK 13; MAPK 14; MAPK-13; MAPK11; MAPK12; MAPK13; MAPK14; MAX-interacting protein 2; MGC99536; Mitogen-activated protein kinase 11; Mitogen-activated protein kinase 12; Mitogen-activated protein kinase 13; Mitogen-activated protein kinase 14; mitogen-activated protein kinase 3; Mitogen-activated protein kinase p38 alpha; Mitogen-activated protein kinase p38 beta; Mitogen-activated protein kinase p38 delta; Mitogen-activated protein kinase p38 gamma; mitogen-activated protein kinase p38-2; MK11; MK12; MK13; MK14; MXI2; p38; p38 MAP kinase; p38 mitogen activated protein kinase; p38-2; p38-alpha; P38A; p38ALPHA; p38alpha Exip; p38b; p38Beta; P38BETA2; P38D; p38delta; P38G; P38GAMMA; PRKM11; PRKM12; PRKM13; PRKM14; PRKM15; RK; SAPK-3; SAPK2; SAPK2A; SAPK2B; SAPK3; SAPK4; Stress-activated protein kinase 2; stress-activated protein kinase 2A; Stress-activated protein kinase 2b; Stress-activated protein kinase 3; Stress-activated protein kinase 4; stress-activated protein kinase-2; stress-activated protein kinase-2b

    For Research Use Only. Not for Use in Diagnostic Procedures.
    Cell Signaling Technology is a trademark of Cell Signaling Technology, Inc.
    Alexa Fluor is a registered trademark of Life Technologies Corporation.
    All other trademarks are the property of their respective owners. Visit our Trademark Information page.