Cell Signaling Technology Logo - Extra Large

Phospho-NMDA Receptor 2A (GluN2A) (Tyr1246) Antibody #4206

Filter:
  • WB

    Product Specifications

    REACTIVITY M R
    SENSITIVITY Endogenous
    MW (kDa) 180
    SOURCE Rabbit
    Application Key:
    • WB-Western Blotting 
    Species Cross-Reactivity Key:
    • M-Mouse 
    • R-Rat 

    Product Information

    Product Usage Information

    Application Dilution
    Western Blotting 1:1000

    Storage

    Supplied in 10 mM sodium HEPES (pH 7.5), 150 mM NaCl, 100 µg/ml BSA and 50% glycerol. Store at –20°C. Do not aliquot the antibody.

    Protocol

    Specificity / Sensitivity

    Phospho-NMDA Receptor 2A (GluN2A) (Tyr1246) Antibody detects endogenous levels of NMDA Receptor 2A (GluN2A) only when phosphorylated at Tyr1246. This antibody may also detect NMDA Receptor 2B (GluN2B) when phosphorylated at the conserved Tyr1252.

    Species Reactivity:

    Mouse, Rat

    The antigen sequence used to produce this antibody shares 100% sequence homology with the species listed here, but reactivity has not been tested or confirmed to work by CST. Use of this product with these species is not covered under our Product Performance Guarantee.

    Species predicted to react based on 100% sequence homology:

    Human

    Source / Purification

    Polyclonal antibodies are produced by immunizing animals with a synthetic phosphopeptide corresponding to residues surrounding Tyr1246 of human NMDA Receptor 2A (GluN2A). Antibodies are purified by protein A and peptide affinity chromatography.

    Background

    N-methyl-D-aspartate receptor (NMDAR) forms a heterodimer of at least one NR1 and one NR2A-D subunit. Multiple receptor isoforms with distinct brain distributions and functional properties arise by selective splicing of the NR1 transcripts and differential expression of the NR2 subunits. NR1 subunits bind the co-agonist glycine and NR2 subunits bind the neurotransmitter glutamate. Activation of the NMDA receptor or opening of the ion channel allows flow of Na+ and Ca2+ ions into the cell, and K+ out of the cell (1). Each subunit has a cytoplasmic domain that can be directly modified by the protein kinase/phosphatase (2). PKC can phosphorylate the NR1 subunit (NMDAR1) of the receptor at Ser890/Ser896, and PKA can phosphorylate NR1 at Ser897 (3). The phosphorylation of NR1 by PKC decreases its affinity for calmodulin, thus preventing the inhibitory effect of calmodulin on NMDAR (4). The phosphorylation of NR1 by PKA probably counteracts the inhibitory effect of calcineurin on the receptor (5). NMDAR mediates long-term potentiation and slow postsynaptic excitation, which play central roles in learning, neurodevelopment, and neuroplasticity (6).

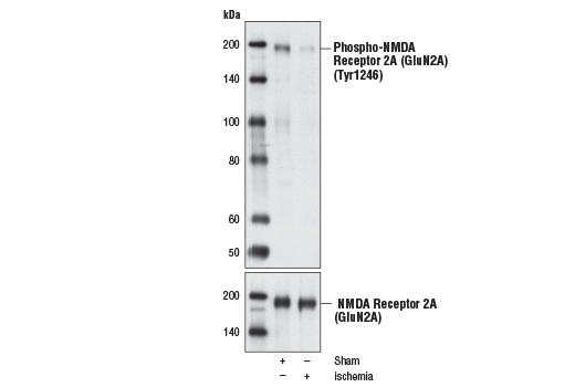
    EphrinB2 binding to the receptor EphB leads to the activation of Src family tyrosine kinases, which phosphorylate NMDAR2B at Tyr1252, Tyr1336, and Tyr1472. In turn, phosphorylated NMDAR2B enhances the ability of the functional NMDA receptor to regulate Ca2+ influx in response to glutamate (7). The phosphorylation site of NMDAR2A at Tyr1246 is the conserved site of NMDAR2B at Tyr1252 and was independently identified at Cell Signaling Technology (CST) using PhosphoScan®, a CST MS/MS platform for phosphorylation site discovery. Phosphorylation of NMDAR2A at Tyr1246 was observed in extracts isolated from ischemic rat brain. Please visit PhosphoSitePlus®, a CST modification site knowledgebase, at phosphosite.org for additional information.

    Alternate Names

    EPND; FESD; GluN2A; Glutamate [NMDA] receptor subunit epsilon-1; glutamate ionotropic receptor NMDA type subunit 2A; Glutamate receptor ionotropic, NMDA 2A; glutamate receptor, ionotropic, N-methyl D-aspartate 2A; GRIN2A; hNR2A; LKS; N-methyl D-aspartate receptor subtype 2A; N-methyl-D-aspartate receptor channel, subunit epsilon-1; N-methyl-D-aspartate receptor subunit 2A; NMDA receptor subtype 2A; NMDAR2A; NMDE1; NR2A

    For Research Use Only. Not for Use in Diagnostic Procedures.
    Cell Signaling Technology is a trademark of Cell Signaling Technology, Inc.
    All other trademarks are the property of their respective owners. Visit our Trademark Information page.