Cell Signaling Technology Logo - Extra Large

Phospho-NF-kappaB2 p100 (Ser866/870) Antibody #4810

Filter:
  • WB
  • IP

    Product Specifications

    REACTIVITY H M
    SENSITIVITY Transfected Only
    MW (kDa) 110
    SOURCE Rabbit
    Application Key:
    • WB-Western Blotting 
    • IP-Immunoprecipitation 
    Species Cross-Reactivity Key:
    • H-Human 
    • M-Mouse 

    Product Information

    Product Usage Information

    Application Dilution
    Western Blotting 1:1000
    Immunoprecipitation 1:50

    Storage

    Supplied in 10 mM sodium HEPES (pH 7.5), 150 mM NaCl, 100 µg/ml BSA and 50% glycerol. Store at –20°C. Do not aliquot the antibody.

    Protocol

    Specificity / Sensitivity

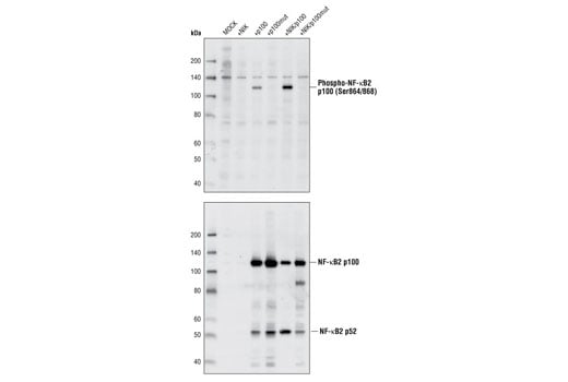
    Phospho-NF-kappaB2 p100 (Ser866/870) Antibody detects transfected NF-κB2 p100 when phosphorylated at serines 866 and 870.

    Species Reactivity:

    Human, Mouse

    The antigen sequence used to produce this antibody shares 100% sequence homology with the species listed here, but reactivity has not been tested or confirmed to work by CST. Use of this product with these species is not covered under our Product Performance Guarantee.

    Species predicted to react based on 100% sequence homology:

    Rat, Bovine, Dog

    Source / Purification

    Polyclonal antibodies are produced by immunizing animals with a synthetic phosphopeptide corresponding to residues surrounding serines 866/870 of NF-κB2 p100. Nomenclature refers to the human sequence (SwissProt# Q00653). This site is homologous to rat Ser864/868 (Q5U2Z4) and mouse Ser865/869 (Q9WTK5). Antibodies are purified by protein A and peptide affinity chromatography.

    Background

    Transcription factors of the nuclear factor κB (NF-κB)/Rel family play a pivotal role in inflammatory and immune responses (1,2). There are five family members in mammals: RelA, c-Rel, RelB, NF-κB1 (p105/p50), and NF-κB2 (p100/p52). Both p105 and p100 are proteolytically processed by the proteasome to produce p50 and p52, respectively. Rel proteins bind p50 and p52 to form dimeric complexes that bind DNA and regulate transcription. In unstimulated cells, NF-κB is sequestered in the cytoplasm by IκB inhibitory proteins (3-5). NF-κB-activating agents can induce the phosphorylation of IκB proteins, targeting them for rapid degradation through the ubiquitin-proteasome pathway and releasing NF-κB to enter the nucleus where it regulates gene expression (6-8). NIK and IKKα (IKK1) regulate the phosphorylation and processing of NF-κB2 (p100) to produce p52, which translocates to the nucleus (9-11).

    Alternate Names

    CVID10; DNA-binding factor KBF2; H2TF1; Lymphocyte translocation chromosome 10 protein; LYT-10; LYT10; NF-kB2; NFkB-p100; NFKB, p52/p100 subunit; NFKB2; NFKB2/p52; nuclear factor kappa B subunit 2; nuclear factor Kappa-B, subunit 2; Nuclear factor NF-kappa-B p100 subunit; Nuclear factor NF-kappa-B p52 subunit; nuclear factor of Kappa light chain gene enhancer in B cells 2; nuclear factor of kappa light chain gene enhancer in B-cells 2; Nuclear factor of kappa light polypeptide gene enhancer in B-cells 2; nuclear factor of kappa light polypeptide gene enhancer in B-cells 2 (p49/p100); Oncogene Lyt-10; p100; p49/p100; p52; transcription factor NFKB2

    For Research Use Only. Not for Use in Diagnostic Procedures.
    Cell Signaling Technology is a trademark of Cell Signaling Technology, Inc.
    All other trademarks are the property of their respective owners. Visit our Trademark Information page.