Cell Signaling Technology Logo - Extra Large
Trial Size Available Flag
Recombinant Flag
Recombinant: Superior lot-to-lot consistency, continuous supply, and animal-free manufacturing.

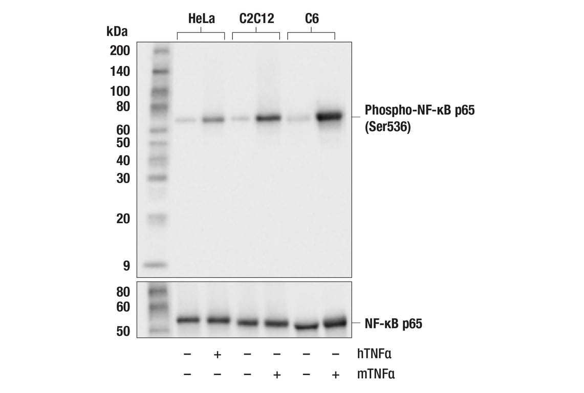
Phospho-NF-kappaB p65 (Ser536) (93H1) Rabbit Monoclonal Antibody #3033

Filter:
  • WB
  • IP
  • IF
  • F

    Product Specifications

    REACTIVITY H M R Hm Mk Pg
    SENSITIVITY Endogenous
    MW (kDa) 65
    Source/Isotype Rabbit IgG
    Application Key:
    • WB-Western Blotting 
    • IP-Immunoprecipitation 
    • IF-Immunofluorescence 
    • F-Flow Cytometry 
    Species Cross-Reactivity Key:
    • H-Human 
    • M-Mouse 
    • R-Rat 
    • Hm-Hamster 
    • Mk-Monkey 
    • Pg-Pig 

    Product Information

    Product Usage Information

    Application Dilution
    Western Blotting 1:1000
    Fluorescent Western 1:1000
    Simple Western™ 1:10 - 1:50
    Immunoprecipitation 1:50
    Immunofluorescence (Immunocytochemistry) 1:800 - 1:3200
    Flow Cytometry (Fixed/Permeabilized) 1:800 - 1:3200

    Storage

    Supplied in 10 mM sodium HEPES (pH 7.5), 150 mM NaCl, 100 µg/ml BSA, 50% glycerol and less than 0.02% sodium azide. Store at –20°C. Do not aliquot the antibody.

    For a carrier free (BSA and azide free) version of this product see product #76778.

    实验步骤

    Specificity / Sensitivity

    Phospho-NF-kappaB p65 (Ser536) (93H1) Rabbit Monoclonal Antibody detects NF-κB p65 only when phosphorylated at Ser536. This antibody does not cross-react with the p50 subunit or other related proteins. Non-specific labeling may be observed by immunofluorescence in astrocytes.

    Species Reactivity:

    Human, Mouse, Rat, Hamster, Monkey, Pig

    The antigen sequence used to produce this antibody shares 100% sequence homology with the species listed here, but reactivity has not been tested or confirmed to work by CST. Use of this product with these species is not covered under our Product Performance Guarantee.

    Species predicted to react based on 100% sequence homology:

    Dog

    Source / Purification

    Monoclonal antibody is produced by immunizing animals with a synthetic phosphopeptide corresponding to residues surrounding Ser536 of human NF-κB p65.

    Background

    Transcription factors of the nuclear factor κB (NF-κB)/Rel family play a pivotal role in inflammatory and immune responses (1,2). There are five family members in mammals: RelA, c-Rel, RelB, NF-κB1 (p105/p50), and NF-κB2 (p100/p52). Both p105 and p100 are proteolytically processed by the proteasome to produce p50 and p52, respectively. Rel proteins bind p50 and p52 to form dimeric complexes that bind DNA and regulate transcription. In unstimulated cells, NF-κB is sequestered in the cytoplasm by IκB inhibitory proteins (3-5). NF-κB-activating agents can induce the phosphorylation of IκB proteins, targeting them for rapid degradation through the ubiquitin-proteasome pathway and releasing NF-κB to enter the nucleus where it regulates gene expression (6-8). NIK and IKKα (IKK1) regulate the phosphorylation and processing of NF-κB2 (p100) to produce p52, which translocates to the nucleus (9-11).

    Alternate Names

    CMCU; MGC131774; NF-kappa-B p65delta3; NF-kappa-B transcription factor p65; NFkB-p65; NFKB3; Nuclear factor NF-kappa-B p65 subunit; Nuclear factor of kappa light polypeptide gene enhancer in B-cells 3; p65; RELA; RELA proto-oncogene, NF-kB subunit; RELA/p65; TF65; Transcription factor p65; v-rel avian reticuloendotheliosis viral oncogene homolog A; v-rel avian reticuloendotheliosis viral oncogene homolog A (nuclear factor of kappa light polypeptide gene enhancer in B-cells 3 (p65)); v-rel reticuloendotheliosis viral oncogene homolog A (avian); v-rel reticuloendotheliosis viral oncogene homolog A, nuclear factor of kappa light polypeptide gene enhancer in B-cells 3, p65

    For Research Use Only. Not for Use in Diagnostic Procedures.
    Cell Signaling Technology is a trademark of Cell Signaling Technology, Inc.
    Alexa Fluor is a registered trademark of Life Technologies Corporation.
    All other trademarks are the property of their respective owners. Visit our Trademark Information page.