Cell Signaling Technology Logo - Extra Large
Trial Size Available Flag
Recombinant Flag
Recombinant: Superior lot-to-lot consistency, continuous supply, and animal-free manufacturing.

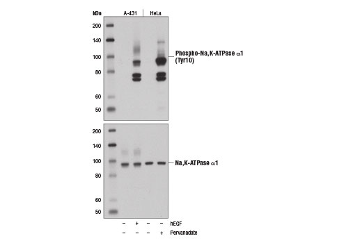
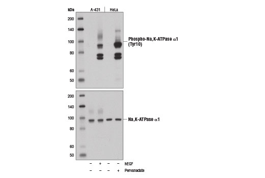
Phospho-Na,K-ATPase alpha1 (Tyr10) (E1Y9C) Rabbit Monoclonal Antibody #13566

Filter:
  • WB

    Product Specifications

    REACTIVITY H M
    SENSITIVITY Endogenous
    MW (kDa) 100
    Source/Isotype Rabbit IgG
    Application Key:
    • WB-Western Blotting 
    Species Cross-Reactivity Key:
    • H-Human 
    • M-Mouse 

    Product Information

    Product Usage Information

    Application Dilution
    Western Blotting 1:1000

    Storage

    Supplied in 10 mM sodium HEPES (pH 7.5), 150 mM NaCl, 100 µg/ml BSA, 50% glycerol and less than 0.02% sodium azide. Store at –20°C. Do not aliquot the antibody.

    Protocol

    Specificity / Sensitivity

    Phospho-Na,K-ATPase alpha1 (Tyr10) (E1Y9C) Rabbit Monoclonal Antibody recognizes endogenous levels of Na,K-ATPase α1 protein only when phosphorylated at Tyr10. This antibody cross-reacts with an induced 75-80 kDa doublet of unknown origin.

    Species Reactivity:

    Human, Mouse

    The antigen sequence used to produce this antibody shares 100% sequence homology with the species listed here, but reactivity has not been tested or confirmed to work by CST. Use of this product with these species is not covered under our Product Performance Guarantee.

    Species predicted to react based on 100% sequence homology:

    Rat, Bovine, Dog, Pig

    Source / Purification

    Monoclonal antibody is produced by immunizing animals with a synthetic phosphopeptide corresponding to residues surrounding Tyr10 of human Na,K-ATPase α1 protein.

    Background

    The Na,K-ATPase is an integral membrane heterodimer belonging to the P-type ATPase family. This ion channel uses the energy derived from ATP hydrolysis to maintain membrane potential by driving sodium export and potassium import across the plasma membrane against their electrochemical gradients. It is composed of a catalytic α subunit and a β subunit (reviewed in 1). Several phosphorylation sites have been identified for the α1 subunit. Tyr10 is phosphorylated by an as yet undetermined kinase (2), Ser16 and Ser23 are phosphorylated by PKC, and Ser943 is phosphorylated by PKA (3-5). All of these sites have been implicated in the regulation of enzyme activity in response to hormones and neurotransmitters, altering trafficking and kinetic properties of Na,K-ATPase. Altered phosphorylation in response to angiotensin II stimulates activity in the rat proximal tubule (6). Na,K-ATPase is also involved in other signal transduction pathways. Insulin regulates its localization in differentiated primary human skeletal muscle cells, and this regulation is dependent on ERK1/2 phosphorylation of the α subunit (7). Na,K-ATPase and Src form a signaling receptor complex that affects regulation of Src kinase activity and, subsequently, its downstream effectors (8,9).

    Alternate Names

    AT1A1; ATP1A1; ATPase Na+/K+ transporting subunit alpha 1; ATPase, Na+/K+ transporting, alpha 1 polypeptide; CMT2DD; HOMGSMR2; MGC3285; MGC51750; Na, K-ATPase, alpha-A catalytic polypeptide; Na,K-ATPase alpha-1 subunit; Na,K-ATPase catalytic subunit alpha-A protein; Na(+)/K(+) ATPase alpha-1 subunit; Na+, K+ ATPase alpha subunit; Na+/K+ ATPase 1; sodium pump 1; Sodium pump subunit alpha-1; sodium-potassium ATPase catalytic subunit alpha-1; sodium-potassium-ATPase, alpha 1 polypeptide; Sodium/potassium-transporting ATPase subunit alpha-1

    For Research Use Only. Not for Use in Diagnostic Procedures.
    Cell Signaling Technology is a trademark of Cell Signaling Technology, Inc.
    All other trademarks are the property of their respective owners. Visit our Trademark Information page.