Render Target: STATIC
Render Timestamp:
5/20/2026, 8:49:13 PM EDT
5/21/2026, 12:49:13 AM UTC
Commit: 7ed46ecc04b401f23a28df741b5078df405d23e4
XML generation date: 2025-11-12 16:12:28.827
Product last modified at: 2026-03-20T08:07:14.907Z
Cell Signaling Technology Logo - Extra Large
1% for the planet logo
PDP - Template Name: Monoclonal Antibody
PDP - Template ID: *******c5e4b77
Trial Size Available Flag
Recombinant Flag
Recombinant: Superior lot-to-lot consistency, continuous supply, and animal-free manufacturing.

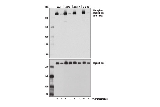
Phospho-Myosin IIa (Ser1943) (D7Z7T) Rabbit Monoclonal Antibody #14611

Filter:
  • WB
  • IF

    Product Specifications

    REACTIVITY H
    SENSITIVITY Endogenous
    MW (kDa) 230
    Source/Isotype Rabbit IgG
    Application Key:
    • WB-Western Blotting 
    • IF-Immunofluorescence 
    Species Cross-Reactivity Key:
    • H-Human 

    Product Information

    Product Usage Information

    Application Dilution
    Western Blotting 1:1000
    Immunofluorescence (Immunocytochemistry) 1:50

    Storage

    Supplied in 10 mM sodium HEPES (pH 7.5), 150 mM NaCl, 100 µg/ml BSA, 50% glycerol and less than 0.02% sodium azide. Store at –20°C. Do not aliquot the antibody.

    实验步骤

    Specificity / Sensitivity

    Phospho-Myosin IIa (Ser1943) (D7Z7T) Rabbit Monoclonal Antibody recognizes endogenous levels of myosin IIa protein only when phosphorylated at Ser1943.

    Species Reactivity:

    Human

    Source / Purification

    Monoclonal antibody is produced by immunizing animals with a synthetic phosphopeptide corresponding to residues surrounding Ser1943 of human myosin II protein.

    Background

    Nonmuscle myosin is an actin-based motor protein essential to cell motility, cell division, migration, adhesion, and polarity. The holoenzyme consists of two identical heavy chains and two sets of light chains. The light chains (MLCs) regulate myosin II activity and stability. The heavy chains (NMHCs) are encoded by three genes, MYH9, MYH10, and MYH14, which generate three different nonmuscle myosin II isoforms, IIa, IIb, and IIc, respectively (reviewed in 1). While all three isoforms perform the same enzymatic tasks, binding to and contracting actin filaments coupled to ATP hydrolysis, their cellular functions do not appear to be redundant and they have different subcellular distributions (2-5). The carboxy-terminal tail domain of myosin II is important in isoform-specific subcellular localization (6). Research studies have shown that phosphorylation of myosin IIa at Ser1943 contributes to the regulation of breast cancer cell migration (7).

    Alternate Names

    BDPLT6; Cellular myosin heavy chain, type A; DFNA17; EPSTS; FTNS; MATINS; MGC104539; MHA; MYH9; MYH9 variant protein; Myosin heavy chain 9; Myosin heavy chain, non-muscle IIa; Myosin-9; myosin, heavy chain 9, non-muscle; NMHC-II-A; NMMHC II-a; NMMHC-A; NMMHC-IIA; NMMHCA; non-muscle myosin heavy chain 9; Non-muscle myosin heavy chain A; Non-muscle myosin heavy chain IIa; non-muscle myosin heavy polypeptide 9; nonmuscle myosin heavy chain II-A

    For Research Use Only. Not for Use in Diagnostic Procedures.
    Cell Signaling Technology is a trademark of Cell Signaling Technology, Inc.
    All other trademarks are the property of their respective owners. Visit our Trademark Information page.