Cell Signaling Technology Logo - Extra Large

Phospho-Myosin IIa (Ser1943) Antibody #5026

Filter:
  • WB

    Product Specifications

    REACTIVITY H M R Mk
    SENSITIVITY Endogenous
    MW (kDa) 230
    SOURCE Rabbit
    Application Key:
    • WB-Western Blotting 
    Species Cross-Reactivity Key:
    • H-Human 
    • M-Mouse 
    • R-Rat 
    • Mk-Monkey 

    Product Information

    Product Usage Information

    Application Dilution
    Western Blotting 1:1000

    Storage

    Supplied in 10 mM sodium HEPES (pH 7.5), 150 mM NaCl, 100 µg/ml BSA and 50% glycerol. Store at –20°C. Do not aliquot the antibody.

    实验步骤

    Specificity / Sensitivity

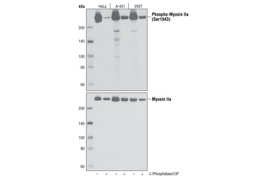
    Phospho-Myosin IIa (Ser1943) Antibody detects endogenous levels of myosin IIa protein only when phosphorylated at Ser1943.

    Species Reactivity:

    Human, Mouse, Rat, Monkey

    Source / Purification

    Polyclonal antibodies are produced by immunizing animals with a synthetic phosphopeptide corresponding to residues surrounding Ser1943 of human myosin IIa protein. Antibodies are purified using protein A and peptide affinity chromatography.

    Background

    Nonmuscle myosin is an actin-based motor protein essential to cell motility, cell division, migration, adhesion, and polarity. The holoenzyme consists of two identical heavy chains and two sets of light chains. The light chains (MLCs) regulate myosin II activity and stability. The heavy chains (NMHCs) are encoded by three genes, MYH9, MYH10, and MYH14, which generate three different nonmuscle myosin II isoforms, IIa, IIb, and IIc, respectively (reviewed in 1). While all three isoforms perform the same enzymatic tasks, binding to and contracting actin filaments coupled to ATP hydrolysis, their cellular functions do not appear to be redundant and they have different subcellular distributions (2-5). The carboxy-terminal tail domain of myosin II is important in isoform-specific subcellular localization (6). Research studies have shown that phosphorylation of myosin IIa at Ser1943 contributes to the regulation of breast cancer cell migration (7).

    Alternate Names

    BDPLT6; Cellular myosin heavy chain, type A; DFNA17; EPSTS; FTNS; MATINS; MGC104539; MHA; MYH9; MYH9 variant protein; Myosin heavy chain 9; Myosin heavy chain, non-muscle IIa; Myosin-9; myosin, heavy chain 9, non-muscle; NMHC-II-A; NMMHC II-a; NMMHC-A; NMMHC-IIA; NMMHCA; non-muscle myosin heavy chain 9; Non-muscle myosin heavy chain A; Non-muscle myosin heavy chain IIa; non-muscle myosin heavy polypeptide 9; nonmuscle myosin heavy chain II-A

    For Research Use Only. Not for Use in Diagnostic Procedures.
    Cell Signaling Technology is a trademark of Cell Signaling Technology, Inc.
    All other trademarks are the property of their respective owners. Visit our Trademark Information page.