Cell Signaling Technology Logo - Extra Large
Trial Size Available Flag
Recombinant Flag
Recombinant: Superior lot-to-lot consistency, continuous supply, and animal-free manufacturing.

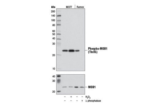
Phospho-MOB1 (Thr35) (D2F10) Rabbit Monoclonal Antibody #8699

Filter:
  • WB
  • IHC

    Product Specifications

    REACTIVITY H M R Mk
    SENSITIVITY Endogenous
    MW (kDa) 24
    Source/Isotype Rabbit IgG
    Application Key:
    • WB-Western Blotting 
    • IHC-Immunohistochemistry 
    Species Cross-Reactivity Key:
    • H-Human 
    • M-Mouse 
    • R-Rat 
    • Mk-Monkey 

    Product Information

    Product Usage Information

    Application Dilution
    Western Blotting 1:1000
    Immunohistochemistry (Paraffin) 1:50

    Storage

    Supplied in 10 mM sodium HEPES (pH 7.5), 150 mM NaCl, 100 µg/ml BSA, 50% glycerol and less than 0.02% sodium azide. Store at –20°C. Do not aliquot the antibody.

    实验步骤

    Specificity / Sensitivity

    Phospho-MOB1 (Thr35) (D2F10) Rabbit Monoclonal Antibody recognizes endogenous levels of MOB1 protein only when phosphorylated at Thr35.

    Species Reactivity:

    Human, Mouse, Rat, Monkey

    The antigen sequence used to produce this antibody shares 100% sequence homology with the species listed here, but reactivity has not been tested or confirmed to work by CST. Use of this product with these species is not covered under our Product Performance Guarantee.

    Species predicted to react based on 100% sequence homology:

    Hamster, Chicken, Xenopus, Zebrafish, Bovine, Horse, Guinea Pig

    Source / Purification

    Monoclonal antibody is produced by immunizing animals with a synthetic phosphopeptide corresponding to residues surrounding Thr35 of human MOB1 protein.

    Background

    MOB1 was first identified in yeast as a protein that binds to Mps with essential roles in the completion of mitosis and the maintenance of ploidy (1). Its Drosophila and mammalian homologs, Mats and MOB1, respectively, are involved in the Hippo signaling tumor suppressor pathway, which plays a critical role in organ size regulation and which has been implicated in cancer development (2-5). There are two MOB1 proteins in humans, MOB1A and MOB1B, that are encoded by two different genes but which have greater than 95% amino acid sequence identity (6). Both forms bind to members of the nuclear Dbf2-related (NDR) kinases, such as LATS1/2 and NDR1/2, thereby stimulating kinase activity (7-9). This binding is promoted by the phosphorylation of MOB1 at several threonine residues (e.g., Thr12, Thr35) by MST1 and/or MST2 (5,10).
    Phosphorylation at Thr35 by MST1/2 stabilizes MOB1, enhancing its binding and regulation of LATS1 (5). The resultant increase in LATS1 kinase activity promotes inhibitory phosphorylation of the transcriptional co-activators YAP and TAZ (11,12), leading to changes in the expression of genes involved in cell cycle progression (13).

    Alternate Names

    C2orf6; FLJ10788; FLJ11595; MATS1; MATS2; MGC33910; MOB kinase activator 1A; MOB kinase activator 1B; MOB1; Mob1 alpha; Mob1 homolog 1A; Mob1 homolog 1B; MOB1 Mps One Binder homolog A; MOB1 Mps One Binder homolog B; MOB1, Mps One Binder kinase activator-like 1A; MOB1, Mps One Binder kinase activator-like 1A (yeast); MOB1, Mps One Binder kinase activator-like 1B; MOB1, Mps One Binder kinase activator-like 1B (yeast); Mob1A; Mob1B; MOB4A; MOB4B; MOBK1B; MOBKL1A; MOBKL1B; MOL1A; MOL1B; Mps one binder kinase activator-like 1A; Mps one binder kinase activator-like 1B; Protein Mob4A; Protein Mob4B

    For Research Use Only. Not for Use in Diagnostic Procedures.
    Cell Signaling Technology is a trademark of Cell Signaling Technology, Inc.
    All other trademarks are the property of their respective owners. Visit our Trademark Information page.