Cell Signaling Technology Logo - Extra Large

Phospho-MAP2 (Ser136) Antibody #4541

Filter:
  • WB
  • IF

    Product Specifications

    REACTIVITY H R Mk
    SENSITIVITY Endogenous
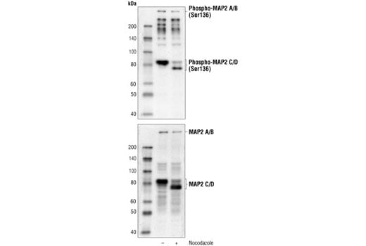
    MW (kDa) 75, 82, 280
    SOURCE Rabbit
    Application Key:
    • WB-Western Blotting 
    • IF-Immunofluorescence 
    Species Cross-Reactivity Key:
    • H-Human 
    • R-Rat 
    • Mk-Monkey 

    Product Information

    Product Usage Information

    Application Dilution
    Western Blotting 1:1000
    Immunofluorescence (Frozen) 1:100

    Storage

    Supplied in 10 mM sodium HEPES (pH 7.5), 150 mM NaCl, 100 µg/ml BSA and 50% glycerol. Store at –20°C. Do not aliquot the antibody.

    实验步骤

    Specificity / Sensitivity

    Phospho-MAP2 (Ser136) Antibody detects endogenous levels of all isoforms of MAP2 only when phosphorylated at serine 136. This antibody does not cross-react with phosphorylated tau. Non-specific labeling of mouse pancreas and colon may be observed by immunofluorescence.

    Species Reactivity:

    Human, Rat, Monkey

    The antigen sequence used to produce this antibody shares 100% sequence homology with the species listed here, but reactivity has not been tested or confirmed to work by CST. Use of this product with these species is not covered under our Product Performance Guarantee.

    Species predicted to react based on 100% sequence homology:

    Mouse

    Source / Purification

    Polyclonal antibodies are produced by immunizing animals with a synthetic phosphopeptide corresponding to residues surrounding Ser136 of human MAP2. Antibodies are purified by protein A and peptide affinity chromatography.

    Background

    Microtubule-associated protein 2 (MAP2) is a neuronal phosphoprotein that regulates the structure and stability of microtubules, neuronal morphogenesis, cytoskeleton dynamics, and organelle trafficking in axons and dendrites (1). Multiple MAP2 isoforms are expressed in neurons, including high molecular weight MAP2A and MAP2B (280 and 270 kDa), and low molecular weight MAP2C and MAP2D (70 and 75 kDa). Phosphorylation of MAP2 modulates its association with the cytoskeleton and is developmentally regulated. GSK-3 and p44/42 MAP kinase phosphorylate MAP2 at Ser136, Thr1620, and Thr1623 (2,3). Phosphorylation at Thr1620/1623 by GSK-3 inhibits MAP2 association with microtubules and microtubule stability (3).

    Alternate Names

    DKFZp686I2148; MAP-2; MAP2; MAP2A; MAP2B; MAP2C; microtubule associated protein 2; Microtubule-associated protein 2; MTAP2

    For Research Use Only. Not for Use in Diagnostic Procedures.
    Cell Signaling Technology is a trademark of Cell Signaling Technology, Inc.
    All other trademarks are the property of their respective owners. Visit our Trademark Information page.