Cell Signaling Technology Logo - Extra Large

Phospho-LSD1 (Ser131) Antibody #37177

Filter:
  • WB
  • IP

    Product Specifications

    REACTIVITY H
    SENSITIVITY Endogenous
    MW (kDa) 110
    SOURCE Rabbit
    Application Key:
    • WB-Western Blotting 
    • IP-Immunoprecipitation 
    Species Cross-Reactivity Key:
    • H-Human 

    Product Information

    Product Usage Information

    Application Dilution
    Western Blotting 1:1000
    Immunoprecipitation 1:50

    Storage

    Supplied in 10 mM sodium HEPES (pH 7.5), 150 mM NaCl, 100 µg/ml BSA and 50% glycerol. Store at –20°C. Do not aliquot the antibody.

    Protocol

    Specificity / Sensitivity

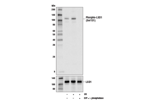
    Phospho-LSD1 (Ser131) Antibody recognizes endogenous levels of LSD1 protein only when phosphorylated at Ser131.

    Species Reactivity:

    Human

    The antigen sequence used to produce this antibody shares 100% sequence homology with the species listed here, but reactivity has not been tested or confirmed to work by CST. Use of this product with these species is not covered under our Product Performance Guarantee.

    Species predicted to react based on 100% sequence homology:

    Mouse, Rat

    Source / Purification

    Polyclonal antibodies are produced by immunizing animals with a synthetic phosphopeptide corresponding to residues surrounding Ser131 of human LSD1 protein. Antibodies are purified by protein A and peptide affinity chromatography.

    Background

    Lysine-specific demethylase 1 (LSD1; also known as AOF2 and BHC110) is a nuclear amine oxidase homolog that acts as a histone demethylase and transcription cofactor (1). Gene activation and repression is specifically regulated by the methylation state of distinct histone protein lysine residues. For example, methylation of histone H3 at Lys4 facilitates transcriptional activation by coordinating the recruitment of BPTF, a component of the NURF chromatin remodeling complex, and WDR5, a component of multiple histone methyltransferase complexes (2,3). In contrast, methylation of histone H3 at Lys9 facilitates transcriptional repression by recruiting HP1 (4,5). LSD1 is a component of the CoREST transcriptional co-repressor complex that also contains CoREST, CtBP, HDAC1 and HDAC2. As part of this complex, LSD1 demethylates mono-methyl and di-methyl histone H3 at Lys4 through a FAD-dependent oxidation reaction to facilitate neuronal-specific gene repression in non-neuronal cells (1,6,7). In contrast, LSD1 associates with androgen receptor in human prostate cells to demethylate mono-methyl and di-methyl histone H3 at Lys9 and facilitate androgen receptor-dependent transcriptional activation (8). Therefore, depending on gene context LSD1 can function as either a transcriptional co-repressor or co-activator. LSD1 activity is inhibited by the amine oxidase inhibitors pargyline, deprenyl, clorgyline and tranylcypromine (8).
    LSD1 is phosphorylated by CK2 at Ser131, Ser137, and Ser166 (9). Phosphorylation of LSD1 at Ser131 and Ser137 has been shown to help facilitate RNF168-dependent recruitment to sites of DNA damage (9).

    Alternate Names

    [histone H3]-dimethyl-L-lysine(4) FAD-dependent demethylase 1A; amine oxidase (flavin containing) domain 2; AOF2; BHC110; BRAF35-HDAC complex protein BHC110; CPRF; FAD-binding protein BRAF35-HDAC complex, 110 kDa subunit; Flavin-containing amine oxidase domain-containing protein 2; KDM1; KDM1A; KIAA0601; LSD1; lysine (K)-specific demethylase 1; lysine (K)-specific demethylase 1A; lysine demethylase 1A; lysine-specific histone demethylase 1; Lysine-specific histone demethylase 1A

    For Research Use Only. Not for Use in Diagnostic Procedures.
    Cell Signaling Technology is a trademark of Cell Signaling Technology, Inc.
    All other trademarks are the property of their respective owners. Visit our Trademark Information page.