Cell Signaling Technology Logo - Extra Large
Trial Size Available Flag
Recombinant Flag
Recombinant: Superior lot-to-lot consistency, continuous supply, and animal-free manufacturing.

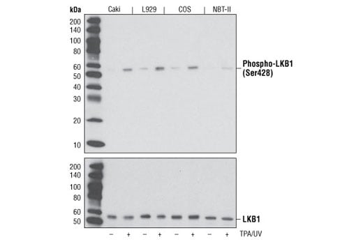
Phospho-LKB1 (Ser428) (C67A3) Rabbit Monoclonal Antibody #3482

Filter:
  • WB

    Product Specifications

    REACTIVITY H M R Mk
    SENSITIVITY Endogenous
    MW (kDa) 54
    Source/Isotype Rabbit
    Application Key:
    • WB-Western Blotting 
    Species Cross-Reactivity Key:
    • H-Human 
    • M-Mouse 
    • R-Rat 
    • Mk-Monkey 

    Product Information

    Product Usage Information

    Application Dilution
    Western Blotting 1:1000

    Storage

    Supplied in 10 mM sodium HEPES (pH 7.5), 150 mM NaCl, 100 µg/ml BSA, 50% glycerol and less than 0.02% sodium azide. Store at –20°C. Do not aliquot the antibody.

    实验步骤

    Specificity / Sensitivity

    Phospho-LKB1 (Ser428) (C67A3) Rabbit Monoclonal Antibody detects endogenous levels of LKB1 when phosphorylated at Ser428.

    Species Reactivity:

    Human, Mouse, Rat, Monkey

    Source / Purification

    Monoclonal antibody is produced by immunizing animals with a synthetic phosphopeptide corresponding to residues surrounding Ser428 of human LKB1 (Ser431 of mouse).

    Background

    LKB1 (STK11) is a serine/threonine kinase and tumor suppressor that helps control cell structure, apoptosis and energy homeostasis through regulation of numerous downstream kinases (1,2). A cytosolic protein complex comprised of LKB1, putative kinase STRAD, and the MO25 scaffold protein, activates both AMP-activated protein kinase (AMPK) and several AMPK-related kinases (3). AMPK plays a predominant role as the master regulator of cellular energy homeostasis, controlling downstream effectors that regulate cell growth and apoptosis in response to cellular ATP concentrations (4). LKB1 appears to be phosphorylated in cells at several sites, including human LKB1 at Ser31/325/428 and Thr189/336/363 (5).
    Mutation in the corresponding LKB1 gene causes Peutz-Jeghers syndrome (PJS), an autosomal dominant disorder characterized by benign GI tract polyps and dark skin lesions of the mouth, hands, and feet (6). A variety of other LKB1 gene mutations have been associated with the formation of sporadic cancers in several tissues (7).
    Recent evidence suggests that phosphorylation at Ser428 by PKCζ influences the ability of LKB1 to bind and phosphorylate AMPK at Thr172 (8) as well as regulate apoptosis through PTEN signaling pathway suppression of Akt (9).

    Alternate Names

    hLKB1; Liver kinase B1; LKB1; PAR-4; PAR4; PJS; polarization-related protein LKB1; Renal carcinoma antigen NY-REN-19; serine/threonine kinase 11; Serine/threonine-protein kinase 11; Serine/threonine-protein kinase LKB1; Serine/threonine-protein kinase STK11; STK11

    For Research Use Only. Not for Use in Diagnostic Procedures.
    Cell Signaling Technology is a trademark of Cell Signaling Technology, Inc.
    U.S. Patent No. 7,429,487, foreign equivalents, and child patents deriving therefrom.
    All other trademarks are the property of their respective owners. Visit our Trademark Information page.