Cell Signaling Technology Logo - Extra Large

Phospho-Lamin A/C (Ser22) Antibody #2026

Filter:
  • WB

    Product Specifications

    REACTIVITY H M R
    SENSITIVITY Endogenous
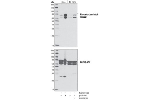
    MW (kDa) 69, 78
    SOURCE Rabbit
    Application Key:
    • WB-Western Blotting 
    Species Cross-Reactivity Key:
    • H-Human 
    • M-Mouse 
    • R-Rat 

    Product Information

    Product Usage Information

    Application Dilution
    Western Blotting 1:1000

    Storage

    Supplied in 10 mM sodium HEPES (pH 7.5), 150 mM NaCl, 100 µg/ml BSA and 50% glycerol. Store at –20°C. Do not aliquot the antibody.

    实验步骤

    Specificity / Sensitivity

    Phospho-Lamin A/C (Ser22) Antibody detects endogenous levels of lamin A/C only when phosphorylated at Ser22.

    Species Reactivity:

    Human, Mouse, Rat

    Source / Purification

    Polyclonal antibodies are produced by immunizing animals with a synthetic phosphopeptide corresponding to residues surrounding Ser22 of human lamin A/C protein.

    Background

    Lamins are nuclear membrane structural components that are important in maintaining normal cell functions such as cell cycle control, DNA replication, and chromatin organization (1-3). Lamin A/C is cleaved by caspase-6 and serves as a marker for caspase-6 activation. During apoptosis, lamin A/C is specifically cleaved into a large (41-50 kDa) and a small (28 kDa) fragment (3,4). The cleavage of lamins results in nuclear dysregulation and cell death (5,6).
    Phosphorylation of Lamin A/C at Ser22 was identified in vivo in several cell lines by mass spectrometry analysis in proteomic screens. The surrounding sequence is a typical MAPK/CDK phosphorylation motif, which implicates a role in the cell cycle and mitosis (7-11).

    Alternate Names

    70 kDa lamin; CDCD1; CDDC; CMD1A; CMT2B1; EMD2; epididymis secretory sperm binding protein; FPL; FPLD; FPLD2; HGPS; IDC; lamin; lamin A/C; lamin A/C-like 1; Lamin-A/C; LDP1; LFP; LGMD1B; LMN1; LMNA; LMNC; LMNL1; MADA; mandibuloacral dysplasia type A; Prelamin-A/C; PRO1; Renal carcinoma antigen NY-REN-32

    For Research Use Only. Not for Use in Diagnostic Procedures.
    Cell Signaling Technology is a trademark of Cell Signaling Technology, Inc.
    All other trademarks are the property of their respective owners. Visit our Trademark Information page.