Cell Signaling Technology Logo - Extra Large
Trial Size Available Flag
Recombinant Flag
Recombinant: Superior lot-to-lot consistency, continuous supply, and animal-free manufacturing.

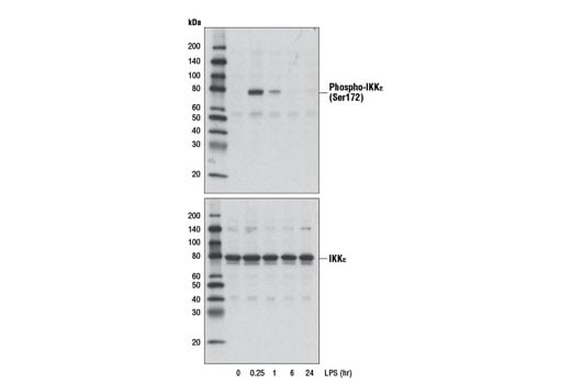
Phospho-IKK epsilon (Ser172) (D1B7) Rabbit Monoclonal Antibody #8766

Filter:
  • WB
  • IP

    Product Specifications

    REACTIVITY H
    SENSITIVITY Endogenous
    MW (kDa) 80
    Source/Isotype Rabbit IgG
    Application Key:
    • WB-Western Blotting 
    • IP-Immunoprecipitation 
    Species Cross-Reactivity Key:
    • H-Human 

    Product Information

    Product Usage Information

    Application Dilution
    Western Blotting 1:1000
    Immunoprecipitation 1:100

    Storage

    Supplied in 10 mM sodium HEPES (pH 7.5), 150 mM NaCl, 100 µg/ml BSA, 50% glycerol and less than 0.02% sodium azide. Store at –20°C. Do not aliquot the antibody.

    实验步骤

    Specificity / Sensitivity

    Phospho-IKK epsilon (Ser172) (D1B7) Rabbit Monoclonal Antibody recognizes endogenous levels of IKKε protein only when phosphorylated at Ser172. This antibody may cross-react with phospho-TBK1/NAK.

    Species Reactivity:

    Human

    The antigen sequence used to produce this antibody shares 100% sequence homology with the species listed here, but reactivity has not been tested or confirmed to work by CST. Use of this product with these species is not covered under our Product Performance Guarantee.

    Species predicted to react based on 100% sequence homology:

    Mouse, Rat, Monkey, Dog

    Source / Purification

    Monoclonal antibody is produced by immunizing animals with a synthetic phosphopeptide corresponding to residues surrounding Ser172 of human IKKε protein.

    Background

    The NF-κB/Rel transcription factors are present in the cytosol in an inactive state, complexed with the inhibitory IκB proteins (1-3). Most agents that activate NF-κB do so through a common pathway based on phosphorylation-induced, proteasome-mediated degradation of IκB (3-7). The key regulatory step in this pathway involves activation of a high molecular weight IκB kinase (IKK) complex whose catalysis is generally carried out by three tightly associated IKK subunits. IKKα and IKKβ serve as the catalytic subunits of the kinase and IKKγ serves as the regulatory subunit (8,9). Activation of IKK depends upon phosphorylation at Ser177 and Ser181 in the activation loop of IKKβ (Ser176 and Ser180 in IKKα), which causes conformational changes, resulting in kinase activation (10-13).
    Recently, two homologs of IKKα and IKKβ have been described, called IKKε (also known as IKK-i) and TBK1 (also known as T2K or NAK), and activation of either of these kinases results in NF-κB activation. IKKε contains the kinase domain in its amino terminus, which shares 30% identity to that of IKKα or IKKβ. IKKε is expressed mainly in immune cells, and may play a special role in the immune response (14-18). IKKε and TBK1 kinase capabilities are activated by phosphorylation at Ser172 within their activation loops (19). IRF-3, a substrate for IKKε and TBK1, plays a critical role in innate immune responses (20).
    1. Baeuerle, P.A. and Baltimore, D. (1988) Science 242, 540-6.
    2. Beg, A.A. and Baldwin, A.S. (1993) Genes Dev 7, 2064-70.
    3. Finco, T.S. et al. (1994) Proc Natl Acad Sci USA 91, 11884-8.
    4. Brown, K. et al. (1995) Science 267, 1485-8.
    5. Brockman, J.A. et al. (1995) Mol Cell Biol 15, 2809-18.
    6. Traenckner, E.B. et al. (1995) EMBO J 14, 2876-83.
    7. Chen, Z.J. et al. (1996) Cell 84, 853-62.
    8. Zandi, E. et al. (1997) Cell 91, 243-52.
    9. Karin, M. (1999) Oncogene 18, 6867-74.
    10. DiDonato, J.A. et al. (1997) Nature 388, 548-54.
    11. Mercurio, F. et al. (1997) Science 278, 860-6.
    12. Johnson, L.N. et al. (1996) Cell 85, 149-58.
    13. Delhase, M. et al. (1999) Science 284, 309-13.
    14. Shimada, T. et al. (1999) Int Immunol 11, 1357-62.
    15. Peters, R.T. et al. (2000) Mol Cell 5, 513-22.
    16. Tojima, Y. et al. (2000) Nature 404, 778-82.
    17. Bonnard, M. et al. (2000) EMBO J 19, 4976-85.
    18. Peters, R.T. and Maniatis, T. (2001) Biochim Biophys Acta 1471, M57-62.
    19. Kishore, N. et al. (2002) J Biol Chem 277, 13840-7.
    20. Fitzgerald, K.A. et al. (2003) Nat Immunol 4, 491-6.

    Alternate Names

    I-kappa-B kinase epsilon; IKBKE; IKK-E; IKK-epsilon; IKK-i; IKK-related kinase epsilon; IKKE; IKKI; Inducible I kappa-B kinase; inducible IkappaB kinase; inhibitor of kappa light polypeptide gene enhancer in B-cells, kinase epsilon; inhibitor of nuclear factor kappa B kinase subunit epsilon; Inhibitor of nuclear factor kappa-B kinase subunit epsilon; KIAA0151; MGC125294; MGC125295; MGC125297

    For Research Use Only. Not for Use in Diagnostic Procedures.
    Cell Signaling Technology is a trademark of Cell Signaling Technology, Inc.
    All other trademarks are the property of their respective owners. Visit our Trademark Information page.