Cell Signaling Technology Logo - Extra Large
Trial Size Available Flag
Recombinant Flag
Recombinant: Superior lot-to-lot consistency, continuous supply, and animal-free manufacturing.

Phospho-IGF-I Receptor beta (Tyr1135) (DA7A8) Rabbit Monoclonal Antibody #3918

Filter:
  • WB

    Product Specifications

    REACTIVITY H M R
    SENSITIVITY Endogenous
    MW (kDa) 95
    Source/Isotype Rabbit IgG
    Application Key:
    • WB-Western Blotting 
    Species Cross-Reactivity Key:
    • H-Human 
    • M-Mouse 
    • R-Rat 

    Product Information

    Product Usage Information

    Application Dilution
    Western Blotting 1:1000

    Storage

    Supplied in 10 mM sodium HEPES (pH 7.5), 150 mM NaCl, 100 µg/ml BSA, 50% glycerol and less than 0.02% sodium azide. Store at –20°C. Do not aliquot the antibody.

    实验步骤

    Specificity / Sensitivity

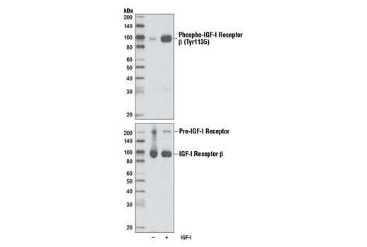
    Phospho-IGF-I Receptor beta (Tyr1135) (DA7A8) Rabbit Monoclonal Antibody detects endogenous levels of IGF-I receptor only when phosphorylated at Tyr1135. This antibody cross-reacts with Tyr1150 of insulin receptor and may also cross-react with other overexpressed related tyrosine-phosphorylated tyrosine kinases.

    Species Reactivity:

    Human, Mouse, Rat

    Source / Purification

    Monoclonal antibody is produced by immunizing animals with a synthetic phosphopeptide corresponding to residues surrounding Tyr1135 of human IGF-I receptor β.

    Background

    Type I insulin-like growth factor receptor (IGF-IR) is a transmembrane receptor tyrosine kinase that is widely expressed in many cell lines and cell types within fetal and postnatal tissues (1-3). Receptor autophosphorylation follows binding of the IGF-I and IGF-II ligands. Three tyrosine residues within the kinase domain (Tyr1131, Tyr1135, and Tyr1136) are the earliest major autophosphorylation sites (4). Phosphorylation of these three tyrosine residues is necessary for kinase activation (5,6). Insulin receptors (IRs) share significant structural and functional similarity with IGF-I receptors, including the presence of an equivalent tyrosine cluster (Tyr1146/1150/1151) within the kinase domain activation loop. Tyrosine autophosphorylation of IRs is one of the earliest cellular responses to insulin stimulation (7). Autophosphorylation begins with phosphorylation at Tyr1146 and either Tyr1150 or Tyr1151, while full kinase activation requires triple tyrosine phosphorylation (8).

    Alternate Names

    CD220; CD221; HHF5; IGF-I receptor; IGF1R; IGFIR; IGFR; INSR; insulin like growth factor 1 receptor; Insulin receptor; Insulin receptor subunit alpha; Insulin receptor subunit beta; Insulin-like growth factor 1 receptor; Insulin-like growth factor 1 receptor alpha chain; Insulin-like growth factor 1 receptor beta chain; Insulin-like growth factor I receptor; IR; JTK13; MGC142170; MGC142172; MGC18216; soluble IGF1R variant 1; soluble IGF1R variant 2

    For Research Use Only. Not for Use in Diagnostic Procedures.
    Cell Signaling Technology is a trademark of Cell Signaling Technology, Inc.
    All other trademarks are the property of their respective owners. Visit our Trademark Information page.