Cell Signaling Technology Logo - Extra Large

Phospho-HER2/ErbB2 (Tyr1248) Antibody #2247

Filter:
  • WB

    Product Specifications

    REACTIVITY H M
    SENSITIVITY Endogenous
    MW (kDa) 185
    SOURCE Rabbit
    Application Key:
    • WB-Western Blotting 
    Species Cross-Reactivity Key:
    • H-Human 
    • M-Mouse 

    Product Information

    Product Usage Information

    Application Dilution
    Western Blotting 1:1000

    Storage

    Supplied in 10 mM sodium HEPES (pH 7.5), 150 mM NaCl, 100 µg/ml BSA and 50% glycerol. Store at –20°C. Do not aliquot the antibody.

    实验步骤

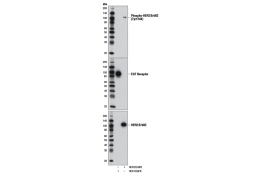
    Specificity / Sensitivity

    Phospho-HER2/ErbB2 (Tyr1248) Antibody detects endogenous levels of ErbB2 only when phosphorylated at tyrosine 1248. This antibody does not cross react with other HER/ErbB family members.

    Species Reactivity:

    Human, Mouse

    The antigen sequence used to produce this antibody shares 100% sequence homology with the species listed here, but reactivity has not been tested or confirmed to work by CST. Use of this product with these species is not covered under our Product Performance Guarantee.

    Species predicted to react based on 100% sequence homology:

    Rat

    Source / Purification

    Polyclonal antibodies are produced by immunizing animals with a synthetic phosphopeptide corresponding to residues surrounding Tyr1248 of human ErbB2 protein. Antibodies are purified by protein A and peptide affinity chromatography.

    Background

    The ErbB2 (HER2) proto-oncogene encodes a 185 kDa transmembrane, receptor-like glycoprotein with intrinsic tyrosine kinase activity (1). While ErbB2 lacks an identified ligand, ErbB2 kinase activity can be activated in the absence of a ligand when overexpressed and through heteromeric associations with other ErbB family members (2). Amplification of the ErbB2 gene and overexpression of its product are detected in almost 40% of human breast cancers (3). Binding of the c-Cbl ubiquitin ligase to ErbB2 at Tyr1112 leads to ErbB2 poly-ubiquitination and enhances degradation of this kinase (4). ErbB2 is a key therapeutic target in the treatment of breast cancer and other carcinomas and targeting the regulation of ErbB2 degradation by the c-Cbl-regulated proteolytic pathway is one potential therapeutic strategy. Phosphorylation of the kinase domain residue Tyr877 of ErbB2 (homologous to Tyr416 of pp60c-Src) may be involved in regulating ErbB2 biological activity. The major autophosphorylation sites in ErbB2 are Tyr1248 and Tyr1221/1222; phosphorylation of these sites couples ErbB2 to the Ras-Raf-MAP kinase signal transduction pathway (1,5).

    Alternate Names

    c-erb B2/neu protein; CD340; erb-b2 receptor tyrosine kinase 2; erbB-2; ERBB2; HER-2; HER-2/neu; HER2; herstatin; human epidermal growth factor receptor 2; Metastatic lymph node gene 19 protein; MLN 19; MLN19; NEU; neuro/glioblastoma derived oncogene homolog; neuroblastoma/glioblastoma derived oncogene homolog; NGL; p185erbB2; Proto-oncogene c-ErbB-2; Proto-oncogene Neu; Receptor tyrosine-protein kinase erbB-2; TKR1; Tyrosine kinase-type cell surface receptor HER2; v-erb-b2 avian erythroblastic leukemia viral oncogene homolog 2; v-erb-b2 avian erythroblastic leukemia viral oncogene homolog 2 (neuro/glioblastoma derived oncogene homolog); v-erb-b2 avian erythroblastic leukemia viral oncoprotein 2; v-erb-b2 erythroblastic leukemia viral oncogene homolog 2, neuro/glioblastoma derived oncogene homolog; v-erb-b2 erythroblastic leukemia viral oncogene homolog 2, neuro/glioblastoma derived oncogene homolog (avian)

    For Research Use Only. Not for Use in Diagnostic Procedures.
    Cell Signaling Technology is a trademark of Cell Signaling Technology, Inc.
    All other trademarks are the property of their respective owners. Visit our Trademark Information page.