Cell Signaling Technology Logo - Extra Large
Trial Size Available Flag
Recombinant Flag
Recombinant: Superior lot-to-lot consistency, continuous supply, and animal-free manufacturing.

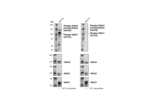
Phospho-HDAC4 (Ser246)/HDAC5 (Ser259)/HDAC7 (Ser155) (D27B5) Rabbit Monoclonal Antibody #3443

Filter:
  • WB

    Product Specifications

    REACTIVITY H M
    SENSITIVITY Endogenous
    MW (kDa) 140, 124
    Source/Isotype Rabbit IgG
    Application Key:
    • WB-Western Blotting 
    Species Cross-Reactivity Key:
    • H-Human 
    • M-Mouse 

    Product Information

    Product Usage Information

    Application Dilution
    Western Blotting 1:1000

    Storage

    Supplied in 10 mM sodium HEPES (pH 7.5), 150 mM NaCl, 100 µg/ml BSA, 50% glycerol and less than 0.02% sodium azide. Store at –20°C. Do not aliquot the antibody.

    实验步骤

    Specificity / Sensitivity

    Phospho-HDAC4 (Ser246)/HDAC5 (Ser259)/HDAC7 (Ser155) (D27B5) Rabbit Monoclonal Antibody detects endogenous levels of HDAC4, HDAC5 and HDAC7 proteins only when phosphorylated on Ser246, Ser259 and Ser155, respectively.

    Species Reactivity:

    Human, Mouse

    Source / Purification

    Monoclonal antibody is produced by immunizing animals with a synthetic phosphopeptide corresponding to Ser155 of human HDAC7 protein.

    Background

    Acetylation of the histone tail causes chromatin to adopt an "open" conformation, allowing increased accessibility of transcription factors to DNA. The identification of histone acetyltransferases (HATs) and their large multiprotein complexes has yielded important insights into how these enzymes regulate transcription (1,2). HAT complexes interact with sequence-specific activator proteins to target specific genes. In addition to histones, HATs can acetylate nonhistone proteins, suggesting multiple roles for these enzymes (3). In contrast, histone deacetylation promotes a "closed" chromatin conformation and typically leads to repression of gene activity (4). Mammalian histone deacetylases can be divided into three classes on the basis of their similarity to various yeast deacetylases (5). Class I proteins (HDACs 1, 2, 3, and 8) are related to the yeast Rpd3-like proteins, those in class II (HDACs 4, 5, 6, 7, 9, and 10) are related to yeast Hda1-like proteins, and class III proteins are related to the yeast protein Sir2. Inhibitors of HDAC activity are now being explored as potential therapeutic cancer agents (6,7).
    Histone deacetylases (HDACs) interact with an increasing number of transcription factors, including myocyte enhancer factor 2 (MEF2), to negatively regulate gene expression. HDACs are regulated in part by shuttling between the nucleus and cytoplasm, where export to the cytoplasm facilitates gene activation by removing HDACs from their target genes (8,9). The cytoplasmic export is facilitated by 14-3-3 proteins, which bind to specific phospho-serine residues on the HDAC proteins (8,9). These phospho-serine 14-3-3 binding modules are highly conserved between HDAC proteins, allowing for their collective regulation in response to specific cell stimuli. For example, the highly conserved HDAC 4 Ser246, HDAC 5 Ser259 and HDAC 7 Ser155 residues are all phosphorylated by CAMK and PKD kinases in response to multiple cell stimuli, including VEGF-induced angiogenesis in endothelial cells, B cell and T cell activation, and differentiation of myoblasts into muscle fiber (10-14).
    1. Marmorstein, R. (2001) Cell Mol Life Sci 58, 693-703.
    2. Gregory, P.D. et al. (2001) Exp Cell Res 265, 195-202.
    3. Liu, Y. et al. (2000) Mol Cell Biol 20, 5540-53.
    4. Cress, W.D. and Seto, E. (2000) J Cell Physiol 184, 1-16.
    5. Gray, S.G. and Ekström, T.J. (2001) Exp Cell Res 262, 75-83.
    6. Thiagalingam, S. et al. (2003) Ann. N.Y. Acad. Sci. 983, 84-100.
    7. Vigushin, D.M. and Coombes, R.C. (2004) Curr Cancer Drug Targets 4, 205-18.
    8. Grozinger, C.M. and Schreiber, S.L. (2000) Proc Natl Acad Sci U S A 97, 7835-40.
    9. Wang, A.H. et al. (2000) Mol Cell Biol 20, 6904-12.
    10. Ha, C.H. et al. (2008) J Biol Chem 283, 14590-9.
    11. Wang, S. et al. (2008) Proc Natl Acad Sci U S A 105, 7738-43.
    12. Matthews, S.A. et al. (2006) Mol Cell Biol 26, 1569-77.
    13. Parra, M. et al. (2005) J Biol Chem 280, 13762-70.
    14. McKinsey, T.A. et al. (2000) Nature 408, 106-11.

    Alternate Names

    AHO3; Antigen NY-CO-9; BDMR; DKFZp586J0917; FLJ90614; FLJ99588; HA6116; HD4; HD5; HD7; HD7a; HDAC-4; HDAC-A; HDAC4; HDAC5; HDAC7; HDAC7A; HDACA; Histone deacetylase 4; Histone deacetylase 5; Histone deacetylase 7; Histone deacetylase 7A; histone deacetylase A; KIAA0288; KIAA0600; NY-CO-9

    For Research Use Only. Not for Use in Diagnostic Procedures.
    Cell Signaling Technology is a trademark of Cell Signaling Technology, Inc.
    All other trademarks are the property of their respective owners. Visit our Trademark Information page.