Render Target: STATIC
Render Timestamp:
5/20/2026, 7:49:35 PM EDT
5/20/2026, 11:49:35 PM UTC
Commit: 7ed46ecc04b401f23a28df741b5078df405d23e4
XML generation date: 2025-11-12 16:12:09.775
Product last modified at: 2026-03-20T08:05:29.770Z
Cell Signaling Technology Logo - Extra Large
1% for the planet logo
PDP - Template Name: Monoclonal Antibody
PDP - Template ID: *******c5e4b77
Trial Size Available Flag
Recombinant Flag
Recombinant: Superior lot-to-lot consistency, continuous supply, and animal-free manufacturing.

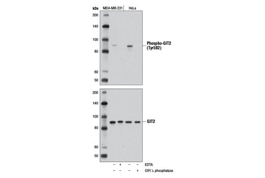
Phospho-GIT2 (Tyr592) (D6L1J) Rabbit Monoclonal Antibody #13167

Filter:
  • WB

    Product Specifications

    REACTIVITY H
    SENSITIVITY Endogenous
    MW (kDa) 85
    Source/Isotype Rabbit IgG
    Application Key:
    • WB-Western Blotting 
    Species Cross-Reactivity Key:
    • H-Human 

    Product Information

    Product Usage Information

    Application Dilution
    Western Blotting 1:1000

    Storage

    Supplied in 10 mM sodium HEPES (pH 7.5), 150 mM NaCl, 100 µg/ml BSA, 50% glycerol and less than 0.02% sodium azide. Store at –20°C. Do not aliquot the antibody.

    实验步骤

    Specificity / Sensitivity

    Phospho-GIT2 (Tyr592) (D6L1J) Rabbit Monoclonal Antibody recognizes endogenous levels of GIT2 protein only when phosphorylated at Tyr592.

    Species Reactivity:

    Human

    Source / Purification

    Monoclonal antibody is produced by immunizing animals with a synthetic phosphopeptide corresponding to residues surrounding Tyr592 of human GIT2 protein.

    Background

    G protein-coupled receptor (GPCR) kinase interacting proteins 1 and 2 (GIT1 and GIT2) are highly conserved, ubiquitous scaffold proteins involved in localized signaling to help regulate focal contact assembly and cytoskeletal dynamics. GIT proteins contain multiple interaction domains that allow interaction with small GTPases (including ARF, Rac, and cdc42), kinases (such as PAK and MEK), the Rho family GEF Pix, and the focal adhesion protein paxillin (reviewed in 1). GIT1 and GIT2 share many of the same properties, but with at least ten distinct, tissue-specific splice variants. GIT2 has been shown to play an important role inhibiting focal adhesion turnover and membrane protrusion (2,3). Focal adhesion localization and paxillin binding of GIT2 is regulated through phosphorylation at one or more tyrosine sites (Tyr286, Tyr392, Tyr592) by FAK and/or Src (4,5,reviewed in 6). Once at the focal adhesion, GIT2 is thought to play a key role in cell polarity and migration, making it a protein of interest in the investigation of oncogenic signaling pathways (3,5,7).

    Alternate Names

    ARF GAP GIT2; ARF GTPase-activating protein GIT2; CAT-2; CAT2; cool-associated, tyrosine phosphorylated protein 2; Cool-interacting tyrosine-phosphorylated protein 2; DKFZp686G01261; G protein-coupled receptor kinase interacting ArfGAP 2; G protein-coupled receptor kinase interactor 2; G protein-coupled receptor kinase-interactor 2; GIT ArfGAP 2; GIT2; GRK-interacting protein 2; KIAA0148; MGC760; Paxillin kinase linker; PKL

    For Research Use Only. Not for Use in Diagnostic Procedures.
    Cell Signaling Technology is a trademark of Cell Signaling Technology, Inc.
    All other trademarks are the property of their respective owners. Visit our Trademark Information page.