Render Target: STATIC
Render Timestamp:
5/28/2026, 9:16:13 PM EDT
5/29/2026, 1:16:13 AM UTC
Commit: 7ed46ecc04b401f23a28df741b5078df405d23e4
XML generation date: 2025-11-13 17:58:27.796
Product last modified at: 2026-03-20T08:05:34.099Z
Cell Signaling Technology Logo - Extra Large
1% for the planet logo
PDP - Template Name: Polyclonal Antibody
PDP - Template ID: *******59c6464

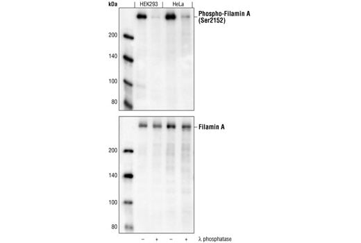
Phospho-Filamin A (Ser2152) Antibody #4761

Filter:
  • WB

    Product Specifications

    REACTIVITY H M R Mk
    SENSITIVITY Endogenous
    MW (kDa) 280
    SOURCE Rabbit
    Application Key:
    • WB-Western Blotting 
    Species Cross-Reactivity Key:
    • H-Human 
    • M-Mouse 
    • R-Rat 
    • Mk-Monkey 

    Product Information

    Product Usage Information

    Application Dilution
    Western Blotting 1:1000

    Storage

    Supplied in 10 mM sodium HEPES (pH 7.5), 150 mM NaCl, 100 µg/ml BSA and 50% glycerol. Store at –20°C. Do not aliquot the antibody.

    实验步骤

    Specificity / Sensitivity

    Phospho-Filamin A (Ser2152) Antibody detects endogenous levels of filamin A only when phosphorylated at serine 2152. This antibody also reacts with filamin C when it is phosphorylated at serine 2146.

    Species Reactivity:

    Human, Mouse, Rat, Monkey

    Source / Purification

    Polyclonal antibodies are produced by immunizing animals with synthetic phosphopeptides corresponding to residues surrounding Ser2152 of human filamin A and Ser2146 of human filamin C. Antibodies are purified by protein A and peptide affinity chromatography.

    Background

    Filamins are a family of dimeric actin binding proteins that function as structural components of cell adhesion sites. They also serve as a scaffold for subcellular targeting of signaling molecules (1). The actin binding domain (α-actinin domain) located at the amino terminus is followed by as many as 24 tandem repeats of about 96 residues and the dimerization domain is located at the carboxy terminus. In addition to actin filaments, filamins associate with other structural and signaling molecules such as β-integrins, Rho/Rac/Cdc42, PKC and the insulin receptor, primarily through the carboxy-terminal dimerization domain (1-3). Filamin A, the most abundant, and filamin B are widely expressed isoforms, while filamin C is predominantly expressed in muscle (1). Filamin A is phosphorylated by PAK1 at Ser2152, which is required for PAK1-mediated actin cytoskeleton reorganization (4).

    Alternate Names

    ABP-280; ABPX; actin binding protein 280; Actin-binding protein 280; Alpha-filamin; CSBS; CVD1; DKFZp434P031; Endothelial actin-binding protein; epididymis secretory sperm binding protein; FGS2; filamin 1; filamin A; filamin A, alpha; Filamin-1; Filamin-A; FLN; FLN-A; FLN1; FLNA; FMD; MNS; NHBP; Non-muscle filamin; OPD; OPD1; OPD2; XLVD; XMVD

    For Research Use Only. Not for Use in Diagnostic Procedures.
    Cell Signaling Technology is a trademark of Cell Signaling Technology, Inc.
    All other trademarks are the property of their respective owners. Visit our Trademark Information page.