Render Target: STATIC
Render Timestamp:
5/19/2026, 8:22:45 PM EDT
5/20/2026, 12:22:45 AM UTC
Commit: 7ed46ecc04b401f23a28df741b5078df405d23e4
XML generation date: 2025-11-13 17:58:11.896
Product last modified at: 2026-03-20T08:06:02.764Z
Cell Signaling Technology Logo - Extra Large
1% for the planet logo
PDP - Template Name: Polyclonal Antibody
PDP - Template ID: *******59c6464

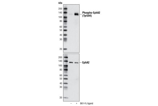
Phospho-EphA2 (Tyr594) Antibody #3970

Filter:
  • WB

    Product Specifications

    REACTIVITY H
    SENSITIVITY Transfected Only
    MW (kDa) 135
    SOURCE Rabbit
    Application Key:
    • WB-Western Blotting 
    Species Cross-Reactivity Key:
    • H-Human 

    Product Information

    Product Usage Information

    Application Dilution
    Western Blotting 1:1000

    Storage

    Supplied in 10 mM sodium HEPES (pH 7.5), 150 mM NaCl, 100 µg/ml BSA and 50% glycerol. Store at –20°C. Do not aliquot the antibody.

    实验步骤

    Specificity / Sensitivity

    Phospho-EphA2 (Tyr594) Antibody detects transfected levels of EphA2 protein only when phosphorylated on Tyr594. This antibody does not cross-react with other activated protein tyrosine kinases.

    Species Reactivity:

    Human

    Source / Purification

    Polyclonal antibodies are produced by immunizing animals with a synthetic phosphopeptide corresponding to residues surrounding Tyr594 of human EphA2. Antibodies are purified by protein A and peptide affinity chromatography.

    Background

    The Eph receptors are the largest known family of receptor tyrosine kinases (RTKs). They can be divided into two groups based on sequence similarity and on their preference for a subset of ligands: EphA receptors bind to a glycosylphosphatidylinositol-anchored ephrin A ligand; EphB receptors bind to ephrin B proteins that have a transmembrane and cytoplasmic domain (1,2). Research studies have shown that Eph receptors and ligands may be involved in many diseases including cancer (3). Both ephrin A and B ligands have dual functions. As RTK ligands, ephrins stimulate the kinase activity of Eph receptors and activate signaling pathways in receptor-expressing cells. The ephrin extracellular domain is sufficient for this function as long as it is clustered (4). The second function of ephrins has been described as "reverse signaling", whereby the cytoplasmic domain becomes tyrosine phosphorylated, allowing interactions with other proteins that may activate signaling pathways in the ligand-expressing cells (5). Various stimuli can induce tyrosine phosphorylation of ephrin B, including binding to EphB receptors, activation of Src kinase, and stimulation by PDGF and FGF (6). Tyr324 and Tyr327 have been identified as major phosphorylation sites of ephrin B1 in vivo (7).
    Phosphorylation of Tyr594 was identified in several tumor cell lines (8,9). It was demonstrated that phosphorylated Tyr588 and Tyr594 of EphA2 provide binding sites for guanine nucleotide exchange factors Vav2 and Vav3, which may be involved in regulation of cell migration (10).

    Alternate Names

    ARCC2; CTPA; CTPP1; CTRCT6; ECK; EPH receptor A2; EPHA2; ephrin receptor EphA2; Ephrin type-A receptor 2; Epithelial cell kinase; epithelial cell receptor protein tyrosine kinase; protein tyrosine kinase; soluble EPHA2 variant 1; Tyrosine-protein kinase receptor ECK

    For Research Use Only. Not for Use in Diagnostic Procedures.
    Cell Signaling Technology is a trademark of Cell Signaling Technology, Inc.
    All other trademarks are the property of their respective owners. Visit our Trademark Information page.