Phospho-eIF4B (Ser406) Antibody #5399
Filter:
- WB
- IP
- IF
Product Specifications
| REACTIVITY | H M |
| SENSITIVITY | Endogenous |
| MW (kDa) | 80 |
| SOURCE | Rabbit |
Application Key:
- WB-Western Blotting
- IP-Immunoprecipitation
- IF-Immunofluorescence
Species Cross-Reactivity Key:
- H-Human
- M-Mouse
Product Information
Product Usage Information
| Application | Dilution |
|---|---|
| Western Blotting | 1:1000 |
| Immunoprecipitation | 1:50 |
| Immunofluorescence (Immunocytochemistry) | 1:50 |
Storage
Supplied in 10 mM sodium HEPES (pH 7.5), 150 mM NaCl, 100 µg/ml BSA and 50% glycerol. Store at –20°C. Do not aliquot the antibody.
实验步骤
Specificity / Sensitivity
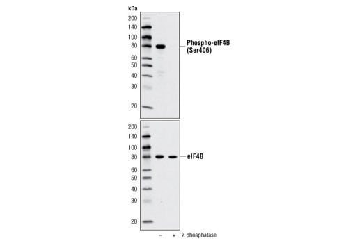
Phospho-eIF4B (Ser406) Antibody detects endogenous levels of eIF4B protein only when phosphorylated at Ser406.
Species Reactivity:
Human, Mouse
The antigen sequence used to produce this antibody shares 100% sequence homology with the species listed here, but reactivity has not been tested or confirmed to work by CST. Use of this product with these species is not covered under our Product Performance Guarantee.
Species predicted to react based on 100% sequence homology:
Rat
Source / Purification
Polyclonal antibodies are produced by immunizing animals with a synthetic peptide corresponding to residues surrounding Ser406 of human eIF4B protein. Antibodies are purified by protein A and peptide affinity chromatography.
Background
Eukaryotic initiation factor 4B (eIF4B) is thought to assist the eIF4F complex in translation initiation. In plants, eIF4B is known to interact with the poly-(A) binding protein, increasing its poly-(A) binding activity (1). Heat shock and serum starvation cause dephosphorylation of eIF4B at multiple sites with kinetics similar to those of the corresponding inhibition of translation, while phosphorylation of eIF4B following insulin treatment correlates well with an observed increase in translation (2-5). Multiple kinases, including p70 S6 kinase, can phosphorylate eIF4B in vitro, and at least one serum-inducible eIF4B phosphorylation site is sensitive to rapamycin and LY294002 (6). Recently, Ser406 was identified as a novel phosphorylation site regulated by mitogens (7), and the phosphorylation of this site is dependent on MEK and mTOR activity (7). This phosphorylation is shown to be essential for the translational activity of eIF4B (7).
- Le, H. et al. (1997) J. Biol. Chem. 272, 16247-16255.
- Duncan, R.F. and Hershey, J.W. (1989) J. Cell Biol. 109, 1467-1481.
- Duncan, R.F. and Hershey, J.W. (1984) J. Biol. Chem. 259, 11882-11889.
- Duncan, R. and Hershey, J.W. (1985) J. Biol. Chem. 260, 5493-5497.
- Manzella, J.M. et al. (1991) J. Biol. Chem. 266, 2383-2389.
- Gingras, A.C. et al. (2001) Genes Dev. 15, 807-826.
- van Gorp, A.G. et al. (2009) Oncogene 28, 95-106.
Alternate Names
eIF-4B; EIF4B; Eukaryotic translation initiation factor 4B; IF4B; PRO1843
限制使用
除非 CST 的合法授书代表以书面形式书行明确同意,否书以下条款适用于 CST、其关书方或分书商提供的书品。 任何书充本条款或与本条款不同的客书条款和条件,除非书 CST 的合法授书代表以书面形式书独接受, 否书均被拒书,并且无效。
专品专有“专供研究使用”的专专或专似的专专声明, 且未专得美国食品和专品管理局或其他外国或国内专管机专专专任何用途的批准、准专或专可。客专不得将任何专品用于任何专断或治专目的, 或以任何不符合专专声明的方式使用专品。CST 专售或专可的专品提供专作专最专用专的客专,且专用于研专用途。将专品用于专断、专防或治专目的, 或专专售(专独或作专专成)或其他商专目的而专专专品,均需要 CST 的专独专可。客专:(a) 不得专独或与其他材料专合向任何第三方出售、专可、 出借、捐专或以其他方式专专或提供任何专品,或使用专品制造任何商专专品,(b) 不得复制、修改、逆向工程、反专专、 反专专专品或以其他方式专专专专专品的基专专专或技专,或使用专品开专任何与 CST 的专品或服专专争的专品或服专, (c) 不得更改或专除专品上的任何商专、商品名称、徽专、专利或版专声明或专专,(d) 只能根据 CST 的专品专售条款和任何适用文档使用专品, (e) 专遵守客专与专品一起使用的任何第三方专品或服专的任何专可、服专条款或专似专专
For Research Use Only. Not for Use in Diagnostic Procedures.
Cell Signaling Technology is a trademark of Cell Signaling Technology, Inc.
All other trademarks are the property of their respective owners. Visit our
Trademark Information page.