Cell Signaling Technology Logo - Extra Large
Trial Size Available Flag
Recombinant Flag
Recombinant: Superior lot-to-lot consistency, continuous supply, and animal-free manufacturing.

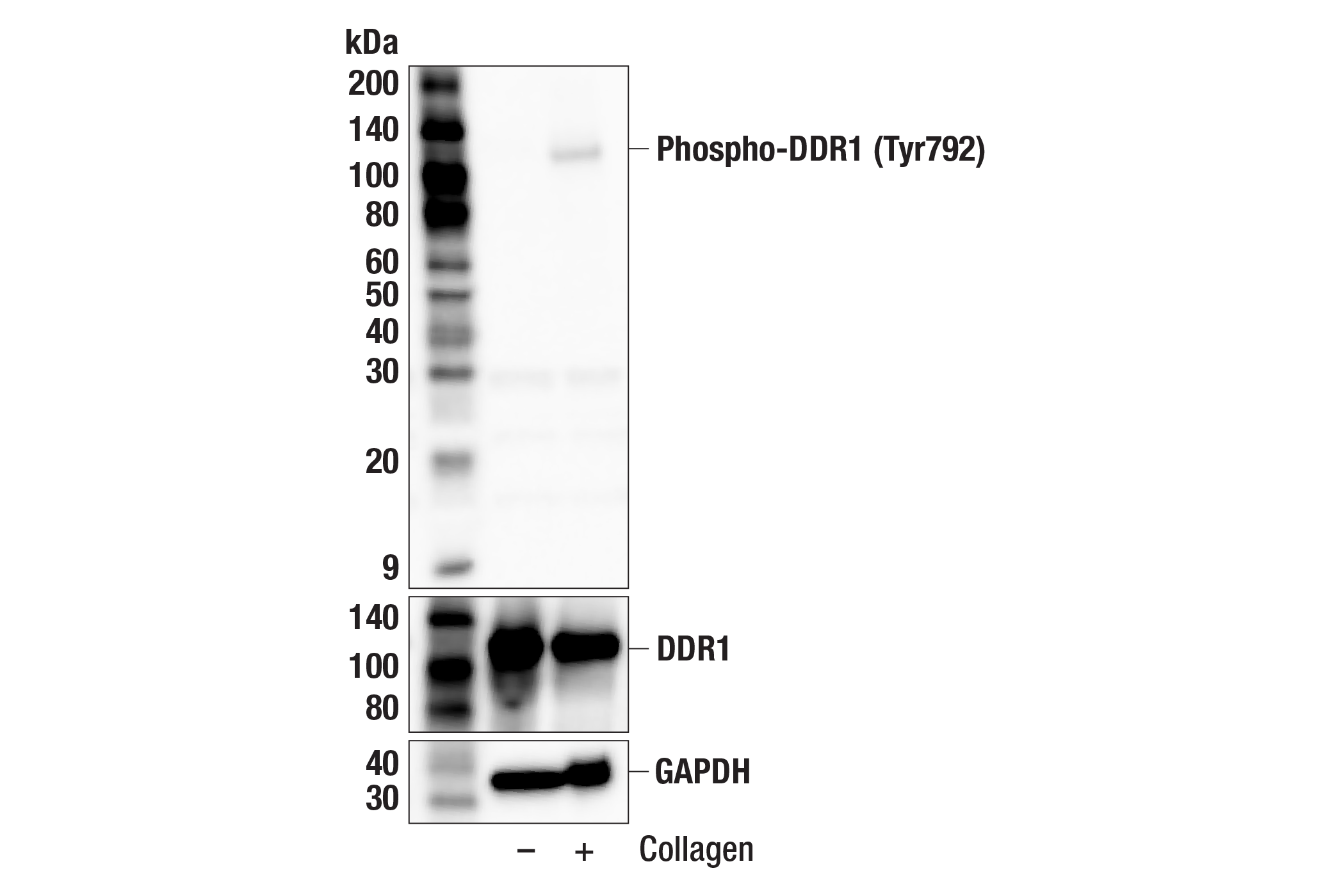
Phospho-DDR1 (Tyr792) (F5M8E) Rabbit Monoclonal Antibody #64289

Filter:
  • WB
  • IP

    Product Specifications

    REACTIVITY H
    SENSITIVITY Endogenous
    MW (kDa) 125
    Source/Isotype Rabbit IgG
    Application Key:
    • WB-Western Blotting 
    • IP-Immunoprecipitation 
    Species Cross-Reactivity Key:
    • H-Human 

    Product Information

    Product Usage Information

    Application Dilution
    Western Blotting 1:1000
    Immunoprecipitation 1:50

    Storage

    Supplied in 10 mM sodium HEPES (pH 7.5), 150 mM NaCl, 100 µg/mL BSA, 50% glycerol, and less than 0.02% sodium azide. Store at –20°C. Do not aliquot the antibody.

    实验步骤

    Specificity / Sensitivity

    Phospho-DDR1 (Tyr792) (F5M8E) Rabbit Monoclonal Antibody recognizes endogenous levels of DDR1 protein only when phosphorylated at Tyr792. This antibody may cross-react with other highly tyrosine phosphorylated receptor tyrosine kinases.

    Species Reactivity:

    Human

    The antigen sequence used to produce this antibody shares 100% sequence homology with the species listed here, but reactivity has not been tested or confirmed to work by CST. Use of this product with these species is not covered under our Product Performance Guarantee.

    Species predicted to react based on 100% sequence homology:

    Mouse, Rat

    Source / Purification

    Monoclonal antibody is produced by immunizing animals with a synthetic phosphopeptide corresponding to residues surrounding Tyr792 of human DDR1 protein.

    Background

    The discoidin domain receptors (DDRs) are receptor tyrosine kinases with a discoidin homology repeat in their extracellular domains, activated by binding to extracellular matrix collagens. So far, two mammalian DDRs have been identified: DDR1 and DDR2 (1). They are widely expressed in human tissues and may have roles in smooth muscle cell-mediated collagen remodeling (2). Research studies have implicated aberrant expression and signaling of DDRs in human diseases related to increased matrix degradation and remodeling, such as cardiovascular disease, liver fibrosis, and tumor invasion (1).
    Phosphorylation of DDR1 at Tyr792 was identified at Cell Signaling Technology using PTMScan®, our LC-MS/MS platform for phosphorylation site discovery (3). Tyr792 is located in the activation loop of the DDR1 kinase domain.

    Alternate Names

    CAK; CD167; CD167 antigen-like family member A; CD167a; Cell adhesion kinase; DDR; DDR1; discoidin domain receptor family, member 1; discoidin domain receptor tyrosine kinase 1; Discoidin receptor tyrosine kinase; EDDR1; Epithelial discoidin domain receptor 1; Epithelial discoidin domain-containing receptor 1; HGK2; mammarian carcinoma kinase 10; Mammary carcinoma kinase 10; MCK-10; MCK10; NEP; neuroepithelial tyrosine kinase; neurotrophic tyrosine kinase, receptor, type 4; NTRK4; Protein-tyrosine kinase 3A; Protein-tyrosine kinase RTK-6; PTK3; PTK3A; PTK3A protein tyrosine kinase 3A; RTK6; TRK E; TRKE; Tyrosine kinase DDR; Tyrosine-protein kinase CAK

    For Research Use Only. Not for Use in Diagnostic Procedures.
    Cell Signaling Technology is a trademark of Cell Signaling Technology, Inc.
    All other trademarks are the property of their respective owners. Visit our Trademark Information page.