Cell Signaling Technology Logo - Extra Large

Phospho-CYLD (Ser418) Antibody #4500

Filter:
  • WB

    Product Specifications

    REACTIVITY H
    SENSITIVITY Endogenous
    MW (kDa) 108
    SOURCE Rabbit
    Application Key:
    • WB-Western Blotting 
    Species Cross-Reactivity Key:
    • H-Human 

    Product Information

    Product Usage Information

    Application Dilution
    Western Blotting 1:1000

    Storage

    Supplied in 10 mM sodium HEPES (pH 7.5), 150 mM NaCl, 100 µg/ml BSA and 50% glycerol. Store at –20°C. Do not aliquot the antibody.

    实验步骤

    Specificity / Sensitivity

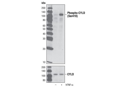
    Phospho-CYLD (Ser418) Antibody detects endogenous levels of CYLD protein only when phosphorylated on Ser418.

    Species Reactivity:

    Human

    The antigen sequence used to produce this antibody shares 100% sequence homology with the species listed here, but reactivity has not been tested or confirmed to work by CST. Use of this product with these species is not covered under our Product Performance Guarantee.

    Species predicted to react based on 100% sequence homology:

    Mouse, Rat

    Source / Purification

    Polyclonal antibodies are produced by immunizing animals with a synthetic phosphopeptide corresponding to residues surrounding Ser418 of human CYLD protein. Antibodies are purified by protein A and peptide affinity chromatography.

    Background

    CYLD is a cytoplasmic deubiquitinating enzyme encoded by a tumor suppressor gene altered in individuals diagnosed with cylindromatosis, a genetic condition characterized by benign tumors of skin appendages (1,2). Functional CYLD deubiquitinase regulates inflammation and cell proliferation by down regulating NF-κB signaling through removal of ubiquitin chains from several NF-κB pathway proteins (3,4). CYLD is a negative regulator of proximal events in Wnt/β-catenin signaling and is a critical regulator of natural killer T cell development (5,6). The transcription factor Snail can inhibit CYLD expression, resulting in melanoma cell proliferation (7).
    CYLD can be phosphorylated at Ser418 by the noncanonical IKK family member IKKε. Phosphorylation at Ser418 decreases CYLD deubiquitinase activity and is important for IKKε-driven transformation (8).

    Alternate Names

    BRSS; CDMT; CYLD; CYLD lysine 63 deubiquitinase; CYLD1; CYLDI; cylindromatosis (turban tumor syndrome); Deubiquitinating enzyme CYLD; EAC; FLJ20180; FLJ31664; FLJ78684; HSPC057; KIAA0849; MFT; MFT1; Probable ubiquitin carboxyl-terminal hydrolase CYLD; SBS; TEM; Ubiquitin carboxyl-terminal hydrolase CYLD; ubiquitin specific peptidase like 2; Ubiquitin thioesterase CYLD; ubiquitin thiolesterase CYLD; Ubiquitin-specific-processing protease CYLD; USPL2

    For Research Use Only. Not for Use in Diagnostic Procedures.
    Cell Signaling Technology is a trademark of Cell Signaling Technology, Inc.
    All other trademarks are the property of their respective owners. Visit our Trademark Information page.