Cell Signaling Technology Logo - Extra Large

Phospho-CSF-1R/M-CSF-R (Tyr708) Antibody #3080

Filter:
  • WB

    Product Specifications

    REACTIVITY H M
    SENSITIVITY Transfected Only
    MW (kDa) 175
    SOURCE Rabbit
    Application Key:
    • WB-Western Blotting 
    Species Cross-Reactivity Key:
    • H-Human 
    • M-Mouse 

    Product Information

    Product Usage Information

    Application Dilution
    Western Blotting 1:1000

    Storage

    Supplied in 10 mM sodium HEPES (pH 7.5), 150 mM NaCl, 100 µg/ml BSA and 50% glycerol. Store at –20°C. Do not aliquot the antibody.

    实验步骤

    Specificity / Sensitivity

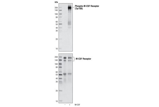
    Phospho-CSF-1R/M-CSF-R (Tyr708) Antibody detects transfected levels of CSF-1R/M-CSF-R only when phosphorylated at Tyr708. This antibody may cross-react with other activated protein tyrosine kinases including insulin and EGF receptors.

    Species Reactivity:

    Human, Mouse

    Source / Purification

    Polyclonal antibodies are produced by immunizing animals with a synthetic phosphopeptide corresponding to residues surrounding Tyr708 of human CSF-1R/M-CSF-R. Antibodies are purified by protein A and peptide affinity chromatography.

    Background

    Macrophage-colony stimulating factor (M-CSF, CSF-1) receptor is an integral membrane tyrosine kinase encoded by the c-fms proto-oncogene. M-CSF receptor is expressed in monocytes (macrophages and their progenitors) and drives growth and development of this blood cell lineage (1-3). Binding of M-CSF to its receptor induces receptor dimerization, activation, and autophosphorylation of cytoplasmic tyrosine residues used as docking sites for SH2-containing signaling proteins (4). There are at least five major tyrosine autophosphorylation sites. Tyr723 (Tyr721 in mouse) is located in the kinase insert (KI) region. Phosphorylated Tyr723 binds the p85 subunit of PI3 kinase as well as PLCγ2 (5). Phosphorylation of Tyr809 provides a docking site for Shc (5). Overactivation of this receptor can lead to a malignant phenotype in various cell systems (6). The activated M-CSF receptor has been shown to be a predictor of poor outcome in advanced epithelial ovarian carcinoma (7) and breast cancer (8).

    Tyr708 (Tyr706 in mouse) is located in the KI region of M-CSF receptor. Phosphorylation of Tyr708 may influence the binding of PI3 kinase to the activated M-CSF receptor (9).

    Alternate Names

    BANDDOS; C-FMS; CD115; CD115 antigen; colony stimulating factor 1 receptor; CSF-1 receptor; CSF-1-R; CSF-1R; CSF1R; CSFR; FIM2; FMS; FMS proto-oncogene; HDLS; M-CSF-R; macrophage colony stimulating factor I receptor; Macrophage colony-stimulating factor 1 receptor; McDonough feline sarcoma viral (v-fms) oncogene homolog; Proto-oncogene c-Fms

    For Research Use Only. Not for Use in Diagnostic Procedures.
    Cell Signaling Technology is a trademark of Cell Signaling Technology, Inc.
    All other trademarks are the property of their respective owners. Visit our Trademark Information page.