Render Target: STATIC
Render Timestamp:
5/19/2026, 8:24:01 PM EDT
5/20/2026, 12:24:01 AM UTC
Commit: 7ed46ecc04b401f23a28df741b5078df405d23e4
XML generation date: 2025-11-12 16:16:23.596
Product last modified at: 2026-03-20T08:09:36.697Z
Cell Signaling Technology Logo - Extra Large
1% for the planet logo
PDP - Template Name: Monoclonal Antibody
PDP - Template ID: *******c5e4b77
Recombinant Flag
Recombinant: Superior lot-to-lot consistency, continuous supply, and animal-free manufacturing.

Phospho-Chk2 (Thr68) (E8Q1A) Rabbit Monoclonal Antibody (BSA and Azide Free) #64180

Filter:
  • WB
  • IHC
  • F

    Product Specifications

    REACTIVITY H
    SENSITIVITY Endogenous
    MW (kDa) 62
    Source/Isotype Rabbit IgG
    Application Key:
    • WB-Western Blotting 
    • IHC-Immunohistochemistry 
    • F-Flow Cytometry 
    Species Cross-Reactivity Key:
    • H-Human 

    Product Information

    Product Usage Information

    This product is the carrier free version of product #82263. All data were generated using the same antibody clone in the standard formulation which contains BSA and glycerol.

    This formulation is ideal for use with technologies requiring specialized or custom antibody labeling, including fluorophores, metals, lanthanides, and oligonucleotides. It is not recommended for ChIP, ChIP-seq, CUT&RUN or CUT&Tag assays. If you require a carrier free formulation for chromatin profiling, please contact us. Optimal dilutions/concentrations should be determined by the end user.

    BSA and Azide Free antibodies are quality control tested by size exclusion chromatography (SEC) to determine antibody integrity.

    Formulation

    Supplied in 1X PBS (10 mM Na2HPO4, 3 mM KCl, 2 mM KH2PO4, and 140 mM NaCl (pH 7.8)). BSA and Azide Free.

    For standard formulation of this product see product #82263

    Storage

    Store at -20°C. This product will freeze at -20°C so it is recommended to aliquot into single-use vials to avoid multiple freeze/thaw cycles. A slight precipitate may be present and can be dissolved by gently vortexing. This will not interfere with antibody performance.

    Specificity / Sensitivity

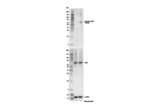
    Phospho-Chk2 (Thr68) (E8Q1A) Rabbit Monoclonal Antibody (BSA and Azide Free) recognizes endogenous levels of Chk2 protein only when phosphorylated at Thr68. Non-specific non-nuclear staining was observed in smooth and skeletal muscle by immunohistochemistry.

    Species Reactivity:

    Human

    Source / Purification

    Monoclonal antibody is produced by immunizing animals with a synthetic peptide corresponding to residues surrounding Thr68 of human Chk2 protein.

    Background

    Chk2 is the mammalian orthologue of the budding yeast Rad53 and fission yeast Cds1 checkpoint kinases (1-3). The amino-terminal domain of Chk2 contains a series of seven serine or threonine residues (Ser19, Thr26, Ser28, Ser33, Ser35, Ser50, and Thr68) each followed by glutamine (SQ or TQ motif). These are known to be preferred sites for phosphorylation by ATM/ATR kinases (4,5). After DNA damage by ionizing radiation (IR), UV irradiation, or hydroxyurea treatment, Thr68 and other sites in this region become phosphorylated by ATM/ATR (5-7). The SQ/TQ cluster domain, therefore, seems to have a regulatory function. Phosphorylation at Thr68 is a prerequisite for the subsequent activation step, which is attributable to autophosphorylation of Chk2 at residues Thr383 and Thr387 in the activation loop of the kinase domain (8).

    Alternate Names

    Cds1; Cds1 homolog; Checkpoint kinase 2; checkpoint-like protein CHK2; CHEK2; CHK2; CHK2 checkpoint homolog; CHK2 checkpoint homolog (S. pombe); hCds1; HuCds1; LFS2; PP1425; protein kinase CHK2; RAD53; Serine/threonine-protein kinase Chk2

    For Research Use Only. Not for Use in Diagnostic Procedures.
    Cell Signaling Technology is a trademark of Cell Signaling Technology, Inc.
    All other trademarks are the property of their respective owners. Visit our Trademark Information page.