Cell Signaling Technology Logo - Extra Large

Phospho-CDK9 (Thr186) Antibody #2549

Filter:
  • WB

    Product Specifications

    REACTIVITY H M R Mk
    SENSITIVITY Endogenous
    MW (kDa) 42, 55
    SOURCE Rabbit
    Application Key:
    • WB-Western Blotting 
    Species Cross-Reactivity Key:
    • H-Human 
    • M-Mouse 
    • R-Rat 
    • Mk-Monkey 

    Product Information

    Product Usage Information

    Application Dilution
    Western Blotting 1:1000

    Storage

    Supplied in 10 mM sodium HEPES (pH 7.5), 150 mM NaCl, 100 µg/ml BSA and 50% glycerol. Store at –20°C. Do not aliquot the antibody.

    Protocol

    Specificity / Sensitivity

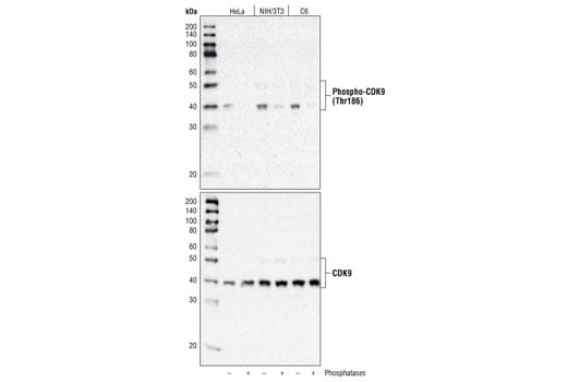
    Phospho-CDK9 (Thr186) Antibody detects endogenous levels of CDK9 only when phosphorylated at Thr186. This antibody recognizes both the 42 kDa isoform and the less abundant 55 kDa isoform.

    Species Reactivity:

    Human, Mouse, Rat, Monkey

    Source / Purification

    Polyclonal antibodies are produced by immunizing animals with a synthetic phosphopeptide corresponding to residues surrounding Thr186 of human CDK9. Antibodies are purified using peptide affinity chromatography.

    Background

    P-TEFb is a general transcription factor that regulates transcription elongation through phosphorylation of the C-terminal tail domain (CTD) of RNA polymerase II (RNAP II). The P-TEFb complex is composed of a catalytic subunit, CDK9, and its regulatory cyclin partner, which can be cyclin T1, T2a, T2b or K (reviewed in 1,2). P-TEFb is recruited by the HIV Tat protein to allow transcriptional elongation, and subsequent replication of the viral genome. Inhibition of P-TEFb function therefore has potential for HIV therapy. CDK9 exists as two isoforms, an abundant 42 kDa isoform, and a less abundant 55 kDa isoform, which contains an amino-terminal extension (3). The two forms likely have distinct purposes based on differential expression during lymphocyte activation (4,5) and on their localization within the nucleus (5).
    Cyclin dependent kinases (CDKs) are activated in part by cyclin binding and by phosphorylation of a conserved threonine in the T-loop domain. Phosphorylation of CDK9 at the T-loop Thr186 by an unidentified nuclear kinase may be important in P-TEFb activation (6) and regulation of HIV transcription (7). Acetylation of CDK9 at Lys44 affects its ability to phosphorylate the RNAPII CTD (8).

    Alternate Names

    C-2K; CDC2-related kinase; CDC2L4; CDK9; Cell division cycle 2-like protein kinase 4; Cell division protein kinase 9; CTK1; cyclin dependent kinase 9; Cyclin-dependent kinase 9; PITALRE; PTEFB; serine/threonine protein kinase PITALRE; Serine/threonine-protein kinase PITALRE; TAK; Tat-associated kinase complex catalytic subunit

    For Research Use Only. Not for Use in Diagnostic Procedures.
    Cell Signaling Technology is a trademark of Cell Signaling Technology, Inc.
    All other trademarks are the property of their respective owners. Visit our Trademark Information page.