Render Target: STATIC
Render Timestamp:
5/19/2026, 8:55:49 PM EDT
5/20/2026, 12:55:49 AM UTC
Commit: 7ed46ecc04b401f23a28df741b5078df405d23e4
XML generation date: 2025-11-12 16:12:34.655
Product last modified at: 2026-03-20T08:05:53.426Z
Cell Signaling Technology Logo - Extra Large
1% for the planet logo
PDP - Template Name: Monoclonal Antibody
PDP - Template ID: *******c5e4b77
Trial Size Available Flag
Recombinant Flag
Recombinant: Superior lot-to-lot consistency, continuous supply, and animal-free manufacturing.

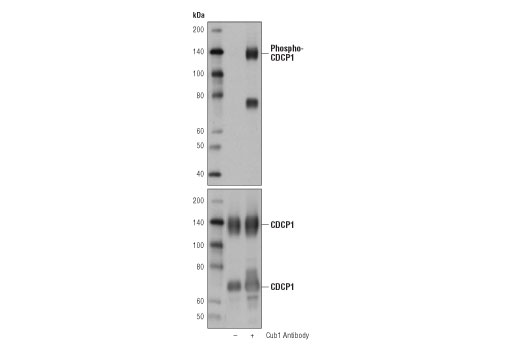
Phospho-CDCP1 (Tyr743) (D2G2J) Rabbit Monoclonal Antibody #14965

Filter:
  • WB

    Product Specifications

    REACTIVITY H
    SENSITIVITY Endogenous
    MW (kDa) 140, 70
    Source/Isotype Rabbit IgG
    Application Key:
    • WB-Western Blotting 
    Species Cross-Reactivity Key:
    • H-Human 

    Product Information

    Product Usage Information

    Application Dilution
    Western Blotting 1:1000

    Storage

    Supplied in 10 mM sodium HEPES (pH 7.5), 150 mM NaCl, 100 µg/ml BSA, 50% glycerol and less than 0.02% sodium azide. Store at –20°C. Do not aliquot the antibody.

    实验步骤

    Specificity / Sensitivity

    Phospho-CDCP1 (Tyr743) (D2G2J) Rabbit Monoclonal Antibody recognizes endogenous levels of CDCP1 protein only when phosphorylated at Tyr743. This antibody may cross-react with other tyrosine-phosphorylated proteins.

    Species Reactivity:

    Human

    Source / Purification

    Monoclonal antibody is produced by immunizing animals with a synthetic phosphopeptide corresponding to residues surrounding Tyr743 of human CDCP1 protein.

    Background

    CUB domain-containing protein 1 (CDCP1, SIMA135) is a putative stem cell marker shown in research studies to be highly expressed in some human cancer cells and in both typical and atypical (cancerous) colons (1). Expression of CDCP1 may be epigenetically regulated, as methylation of promoter CpG sequences results in decreased CDCP1 expression (2). The corresponding CDCP1 gene encodes a glycoprotein that acts as a complex, multidomain transmembrane antigen. CDCP1 has three extracellular CUB domains that may be involved in cell adhesion or extracellular matrix interactions (1,3). Src-family kinases may phosphorylate CDCP1 at five tyrosine residues within its cytoplasmic domain to provide a potential binding site for SH2 domain-containing proteins (3). CDCP1 is a putative hematopoietic stem cell marker (4,5).

    Alternate Names

    CD318; CDCP1; CUB domain containing protein 1; CUB domain-containing protein 1; Membrane glycoprotein gp140; SIMA135; Subtractive immunization M plus HEp3-associated 135 kDa protein; Transmembrane and associated with src kinases; TRASK

    For Research Use Only. Not for Use in Diagnostic Procedures.
    Cell Signaling Technology is a trademark of Cell Signaling Technology, Inc.
    All other trademarks are the property of their respective owners. Visit our Trademark Information page.