Cell Signaling Technology Logo - Extra Large
Trial Size Available Flag
Recombinant Flag
Recombinant: Superior lot-to-lot consistency, continuous supply, and animal-free manufacturing.

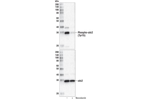
Phospho-cdc2 (Tyr15) (10A11) Rabbit Monoclonal Antibody #4539

Filter:
  • WB
  • IP
  • IF
  • F

    Product Specifications

    REACTIVITY H M R Mk
    SENSITIVITY Endogenous
    MW (kDa) 34
    Source/Isotype Rabbit
    Application Key:
    • WB-Western Blotting 
    • IP-Immunoprecipitation 
    • IF-Immunofluorescence 
    • F-Flow Cytometry 
    Species Cross-Reactivity Key:
    • H-Human 
    • M-Mouse 
    • R-Rat 
    • Mk-Monkey 

    Product Information

    Product Usage Information

    Application Dilution
    Western Blotting 1:1000
    Immunoprecipitation 1:100
    Immunofluorescence (Immunocytochemistry) 1:50 - 1:100
    Flow Cytometry (Fixed/Permeabilized) 1:50 - 1:200

    Storage

    Supplied in 10 mM sodium HEPES (pH 7.5), 150 mM NaCl, 100 µg/ml BSA, 50% glycerol and less than 0.02% sodium azide. Store at –20°C. Do not aliquot the antibody.

    For a carrier free (BSA and azide free) version of this product see product #77897.

    实验步骤

    Specificity / Sensitivity

    Phospho-cdc2 (Tyr15) (10A11) Rabbit Monoclonal Antibody detects endogenous levels of cdc2 protein only when phosphorylated at tyrosine 15. Based on sequence similarity, this antibody may cross-react with CDK2 and CDK3.

    Species Reactivity:

    Human, Mouse, Rat, Monkey

    Source / Purification

    Monoclonal antibody is produced by immunizing animals with a synthetic phosphopeptide corresponding to residues surrounding Tyr15 of human cdc2.

    Background

    The entry of eukaryotic cells into mitosis is regulated by cdc2 kinase activation, a process controlled at several steps including cyclin binding and phosphorylation of cdc2 at Thr161 (1). However, the critical regulatory step in activating cdc2 during progression into mitosis appears to be dephosphorylation of cdc2 at Thr14 and Tyr15 (2). Phosphorylation at Thr14 and Tyr15, resulting in inhibition of cdc2, can be carried out by Wee1 and Myt1 protein kinases (3,4). The cdc25 phosphatase may be responsible for removal of phosphates at Thr14 and Tyr15 and subsequent activation of cdc2 (1,5).

    Alternate Names

    CDC2; CDC28A; CDK1; CDKN1; cell cycle controller CDC2; Cell division control protein 2 homolog; cell division cycle 2; cell division cycle 2, G1 to S and G2 to M; Cell division protein kinase 1; cyclin dependent kinase 1; Cyclin-dependent kinase 1; DKFZp686L20222; MGC111195; p34 protein kinase; P34CDC2

    For Research Use Only. Not for Use in Diagnostic Procedures.
    Cell Signaling Technology is a trademark of Cell Signaling Technology, Inc.
    All other trademarks are the property of their respective owners. Visit our Trademark Information page.