Render Target: STATIC
Render Timestamp:
5/20/2026, 8:49:11 PM EDT
5/21/2026, 12:49:11 AM UTC
Commit: 7ed46ecc04b401f23a28df741b5078df405d23e4
XML generation date: 2025-11-13 17:57:41.964
Product last modified at: 2026-03-20T08:05:45.480Z
Cell Signaling Technology Logo - Extra Large
1% for the planet logo
PDP - Template Name: Polyclonal Antibody
PDP - Template ID: *******59c6464

Phospho-cdc2 (Thr14) Antibody #2543

Filter:
  • WB

    Product Specifications

    REACTIVITY
    SENSITIVITY Endogenous
    MW (kDa) 34
    SOURCE Rabbit
    Application Key:
    • WB-Western Blotting 

    Product Information

    Product Usage Information

    Application Dilution
    Western Blotting 1:1000

    Storage

    Supplied in 10 mM sodium HEPES (pH 7.5), 150 mM NaCl, 100 µg/ml BSA and 50% glycerol. Store at –20°C. Do not aliquot the antibody.

    实验步骤

    Specificity / Sensitivity

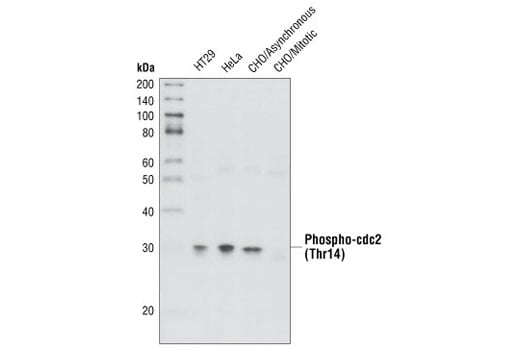
    Phospho-cdc2 (Thr14) Antibody detects endogenous levels of cdc2 (CDK1) only when phosphorylated at Thr14. Based on sequence similarity, this antibody may cross-react with CDK2 and CDK3.

    The antigen sequence used to produce this antibody shares 100% sequence homology with the species listed here, but reactivity has not been tested or confirmed to work by CST. Use of this product with these species is not covered under our Product Performance Guarantee.

    Species predicted to react based on 100% sequence homology:

    Mouse, Rat, D. melanogaster, Xenopus, Bovine

    Source / Purification

    Polyclonal antibodies are produced by immunizing animals with a synthetic phosphopeptide corresponding to residues surrounding Thr14 of human cdc2. Antibodies are purified by protein A and peptide affinity chromatography.

    Background

    The entry of eukaryotic cells into mitosis is regulated by cdc2 kinase activation, a process controlled at several steps including cyclin binding and phosphorylation of cdc2 at Thr161 (1). However, the critical regulatory step in activating cdc2 during progression into mitosis appears to be dephosphorylation of cdc2 at Thr14 and Tyr15 (2). Phosphorylation at Thr14 and Tyr15, resulting in inhibition of cdc2, can be carried out by Wee1 and Myt1 protein kinases (3,4). The cdc25 phosphatase may be responsible for removal of phosphates at Thr14 and Tyr15 and subsequent activation of cdc2 (1,5).

    Alternate Names

    CDC2; CDC28A; CDK1; CDKN1; cell cycle controller CDC2; Cell division control protein 2 homolog; cell division cycle 2; cell division cycle 2, G1 to S and G2 to M; Cell division protein kinase 1; cyclin dependent kinase 1; Cyclin-dependent kinase 1; DKFZp686L20222; MGC111195; p34 protein kinase; P34CDC2

    For Research Use Only. Not for Use in Diagnostic Procedures.
    Cell Signaling Technology is a trademark of Cell Signaling Technology, Inc.
    All other trademarks are the property of their respective owners. Visit our Trademark Information page.