Render Target: STATIC
Render Timestamp:
5/28/2026, 7:59:41 PM EDT
5/28/2026, 11:59:41 PM UTC
Commit: 7ed46ecc04b401f23a28df741b5078df405d23e4
XML generation date: 2025-11-12 16:14:29.316
Product last modified at: 2026-03-20T08:12:26.452Z
Cell Signaling Technology Logo - Extra Large
1% for the planet logo
PDP - Template Name: Monoclonal Antibody
PDP - Template ID: *******c5e4b77
Trial Size Available Flag
Recombinant Flag
Recombinant: Superior lot-to-lot consistency, continuous supply, and animal-free manufacturing.

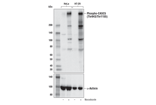
Phospho-CASC5 (Thr943/Thr1155) (D8D4N) Rabbit Monoclonal Antibody #40758

Filter:
  • WB
  • IF

    Product Specifications

    REACTIVITY H
    SENSITIVITY Endogenous
    MW (kDa) 265
    Source/Isotype Rabbit IgG
    Application Key:
    • WB-Western Blotting 
    • IF-Immunofluorescence 
    Species Cross-Reactivity Key:
    • H-Human 

    Product Information

    Product Usage Information

    Application Dilution
    Western Blotting 1:1000
    Immunofluorescence (Immunocytochemistry) 1:400

    Storage

    Supplied in 10 mM sodium HEPES (pH 7.5), 150 mM NaCl, 100 µg/ml BSA, 50% glycerol and less than 0.02% sodium azide. Store at –20°C. Do not aliquot the antibody.

    For a carrier free (BSA and azide free) version of this product see product #72586.

    实验步骤

    Specificity / Sensitivity

    Phospho-CASC5 (Thr943/Thr1155) (D8D4N) Rabbit Monoclonal Antibody recognizes endogenous levels of CASC5 protein only when phosphorylated at Thr943 or Thr1155. The protein sequences surrounding these two sites are identical.

    Species Reactivity:

    Human

    Source / Purification

    Monoclonal antibody is produced by immunizing animals with a synthetic peptide corresponding to residues surrounding Thr943 of human CASC5 protein.

    Background

    Kinetochores are mitotic structures that form on centromeres and attach to mitotic spindle microtubules. Kinetochore attachment to microtubules regulates chromosome segregation and progression through mitosis. Unattached kinetochores signal to the spindle assembly checkpoint (SAC) machinery, arresting cells in mitosis (1). CASC5, also known as Knl1 or Blinkin, is the largest subunit of the Knl1–Mis12–Ndc80 complex (KMN) network, a structural component of kinetochores required for microtubule binding. CASC5 functions in the formation of kinetochore–microtubule attachments, chromosome segregation, and in activating the SAC. CASC5 has been implicated in human diseases, including leukemia and microcephaly (2). Activation of the SAC is regulated in part by mitotic phosphorylation of CASC5 at several sites, including Ser24, Ser60, Thr943, and Thr1155 (3,4). The sequences surrounding Thr943 and Thr1155 are identical.

    Alternate Names

    AF15q14; ALL1-fused gene from chromosome 15q14; ALL1-fused gene from chromosome 15q14 protein; Blinkin; blinkin, bub-linking kinetochore protein; Bub-linking kinetochore protein; cancer susceptibility candidate 5; Cancer susceptibility candidate gene 5 protein; Cancer/testis antigen 29; CASC5; CT29; D40; hKNL-1; hSpc105; KIAA1570; kinetochore null 1 homolog; Kinetochore scaffold 1; Kinetochore-null protein 1; KNL1; MCPH4; microcephaly, primary autosomal recessive 4; PPP1R55; Protein CASC5; Protein D40/AF15q14; protein phosphatase 1, regulatory subunit 55; Spc7

    For Research Use Only. Not for Use in Diagnostic Procedures.
    Cell Signaling Technology is a trademark of Cell Signaling Technology, Inc.
    Alexa Fluor is a registered trademark of Life Technologies Corporation.
    All other trademarks are the property of their respective owners. Visit our Trademark Information page.