Cell Signaling Technology Logo - Extra Large

Phospho-CaMKK2 (Ser495) Antibody #16737

Filter:
  • WB

    Product Specifications

    REACTIVITY H M
    SENSITIVITY Endogenous
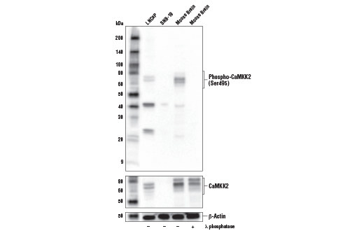
    MW (kDa) 68, 70
    SOURCE Rabbit
    Application Key:
    • WB-Western Blotting 
    Species Cross-Reactivity Key:
    • H-Human 
    • M-Mouse 

    Product Information

    Product Usage Information

    Application Dilution
    Western Blotting 1:1000

    Storage

    Supplied in 10 mM sodium HEPES (pH 7.5), 150 mM NaCl, 100 µg/ml BSA and 50% glycerol. Store at –20°C. Do not aliquot the antibody.

    Protocol

    Specificity / Sensitivity

    Phospho-CaMKK2 (Ser495) Antibody recognizes endogenous levels of CaMKK2 protein only when phosphorylated at Ser495. Bands of unknown origin are observed at 42 kDa and 25 kDa.

    Species Reactivity:

    Human, Mouse

    The antigen sequence used to produce this antibody shares 100% sequence homology with the species listed here, but reactivity has not been tested or confirmed to work by CST. Use of this product with these species is not covered under our Product Performance Guarantee.

    Species predicted to react based on 100% sequence homology:

    Rat

    Source / Purification

    Polyclonal antibodies are produced by immunizing animals with a synthetic phosphopeptide corresponding to residues surrounding Ser495 of human CaMKK2 protein. Antibodies are purified by protein A and peptide affinity chromatography.

    Background

    Calcium/Calmodulin-dependent Protein Kinase Kinase 2 (CaMKK2) is a member of the CaMK family that contains a central Ser/Thr kinase domain followed by a regulatory domain consisting of overlapping autoinhibitory and CaM-binding regions (1). CaMKK2 can be distinguished from other CaMK family members by the presence of a unique Pro/Arg/Gly-rich insert following the ATP-binding domain (2). CaMKK2 phosphorylates CaMKI at Thr177 and CaMKIV at Thr200 (3). CaMKK2 also phosphorylates AMPKα in response to calcium (4). CaMKK2 has been implicated in long-term memory formation (5) and adipocyte development (6). CaMKK2 is phosphorylated at Ser511 by death-associated protein kinase (DAPK) in a signaling cascade thought to be involved in neuronal death (7).
    Multiple CaMKK2 phosphorylation sites have been identified, including Ser495, and C-terminal phosphorylation of the CaMKK2 autoinhibitory region may regulate its function and localization (8).

    Alternate Names

    calcium/calmodulin dependent protein kinase kinase 2; calcium/calmodulin-dependent protein kinase beta; Calcium/calmodulin-dependent protein kinase kinase 2; calcium/calmodulin-dependent protein kinase kinase 2, beta; Calcium/calmodulin-dependent protein kinase kinase beta; CaM-kinase kinase 2; CaM-kinase kinase beta; CaM-KK 2; CaM-KK beta; CAMKK; CaMKK 2; CaMKK beta; CAMKK beta protein; CAMKK2; CAMKKB; KIAA0787; KKCC2; MGC15254

    For Research Use Only. Not for Use in Diagnostic Procedures.
    Cell Signaling Technology is a trademark of Cell Signaling Technology, Inc.
    All other trademarks are the property of their respective owners. Visit our Trademark Information page.