Cell Signaling Technology Logo - Extra Large

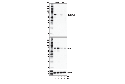
Phospho-BLNK (Thr152) Antibody #49183

Filter:
  • WB

    Product Specifications

    REACTIVITY H M
    SENSITIVITY Endogenous
    MW (kDa) 68, 70
    SOURCE Rabbit
    Application Key:
    • WB-Western Blotting 
    Species Cross-Reactivity Key:
    • H-Human 
    • M-Mouse 

    Product Information

    Product Usage Information

    Application Dilution
    Western Blotting 1:1000

    Storage

    Supplied in 10 mM sodium HEPES (pH 7.5), 150 mM NaCl, 100 µg/ml BSA and 50% glycerol. Store at –20°C. Do not aliquot the antibody.

    Protocol

    Specificity / Sensitivity

    Phospho-BLNK (Thr152) Antibody recognizes endogenous levels of BLNK protein only when phosphorylated at Thr152.

    Species Reactivity:

    Human, Mouse

    Source / Purification

    Polyclonal antibodies are produced by immunizing animals with a synthetic phosphopeptide corresponding to residues surrounding Thr152 of human BLNK protein. Antibodies are purified by protein A and peptide affinity chromatography.

    Background

    B cell linker protein (BLNK), also known as SLP-65 or BASH, is an adaptor molecule that plays key roles in B cell activation and B cell antigen receptor (BCR) engagement. BLNK acts at the interface between BCR-associated Syk and downstream signaling cascades (1,2). BLNK has multiple SH2 binding motifs (YXXP) at its amino terminus and an SH2 domain at its carboxy terminus. After BCR ligation, BLNK is phosphorylated by Syk at multiple YXXP motifs, including Tyr72, Tyr84, Tyr96, and Tyr178 (1). These phosphorylated motifs provide docking sites for signaling molecules, such as BTK, PLCγ, and Vav. These signaling molecules bind to BLNK through their SH2 domains and together activate downstream signaling pathways (3,4). Through its SH2 domain, BLNK can also interact with tyrosine-phosphorylated targets, such as HPK1, thereby recruiting them to the BCR complex for signaling (5).

    Following BCR ligation, BLNK is phosphorylated at Thr152 by the hematopoietic progenitor kinase 1 (HPK1) (6). This phosphorylation induces interaction with 14-3-3ε, which leads to the disassembly of BCR signaling complexes and downregulation of BCR signaling (6).

    Alternate Names

    AGM4; B cell adaptor containing SH2 domain; B cell linker; B cell linker protein; B-cell activation; B-cell adapter containing a SH2 domain protein; B-cell adapter containing a Src homology 2 domain protein; B-cell linker; B-cell linker protein; BASH; bca; BLNK; BLNK-S; Cytoplasmic adapter protein; LY57; MGC111051; SLP-65; SLP65; Src homology [SH2] domain-containing leukocyte protein of 65 kD; Src homology 2 domain-containing leukocyte protein of 65 kDa

    For Research Use Only. Not for Use in Diagnostic Procedures.
    Cell Signaling Technology is a trademark of Cell Signaling Technology, Inc.
    All other trademarks are the property of their respective owners. Visit our Trademark Information page.