Cell Signaling Technology Logo - Extra Large
Recombinant Flag
Recombinant: Superior lot-to-lot consistency, continuous supply, and animal-free manufacturing.

Phospho-Aurora A (Thr288)/Aurora B (Thr232)/Aurora C (Thr198) (D13A11) Rabbit Monoclonal Antibody (BSA and Azide Free) #35278

Filter:
  • WB
  • IF
  • F

    Product Specifications

    REACTIVITY H M R
    SENSITIVITY Endogenous
    MW (kDa) 35, 40, 48
    Source/Isotype Rabbit IgG
    Application Key:
    • WB-Western Blotting 
    • IF-Immunofluorescence 
    • F-Flow Cytometry 
    Species Cross-Reactivity Key:
    • H-Human 
    • M-Mouse 
    • R-Rat 

    Product Information

    Product Usage Information

    This product is the carrier free version of product #2914. All data were generated using the same antibody clone in the standard formulation which contains BSA and glycerol.

    This formulation is ideal for use with technologies requiring specialized or custom antibody labeling, including fluorophores, metals, lanthanides, and oligonucleotides. It is not recommended for ChIP, ChIP-seq, CUT&RUN or CUT&Tag assays. If you require a carrier free formulation for chromatin profiling, please contact us. Optimal dilutions/concentrations should be determined by the end user.

    BSA and Azide Free antibodies are quality control tested by size exclusion chromatography (SEC) to determine antibody integrity.

    Formulation

    Supplied in 1X PBS (10 mM Na2HPO4, 3 mM KCl, 2 mM KH2PO4, and 140 mM NaCl (pH 7.8)). BSA and Azide Free.

    For standard formulation of this product see product #2914

    Storage

    Store at -20°C. This product will freeze at -20°C so it is recommended to aliquot into single-use vials to avoid multiple freeze/thaw cycles. A slight precipitate may be present and can be dissolved by gently vortexing. This will not interfere with antibody performance.

    Specificity / Sensitivity

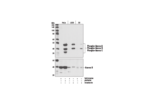
    Phospho-Aurora A (Thr288)/Aurora B (Thr232)/Aurora C (Thr198) (D13A11) Rabbit Monoclonal Antibody (BSA and Azide Free) detects endogenous levels of Aurora A/B/C only when phosphorylated at either Thr288, Thr232 or Thr198 respectively.

    Species Reactivity:

    Human, Mouse, Rat

    Source / Purification

    Monoclonal antibody is produced by immunizing animals with a synthetic peptide corresponding to residues surrounding Thr232 of human Aurora B.

    Background

    Aurora kinases belong to a highly conserved family of mitotic serine/threonine kinases with three members identified among mammals: Aurora A, B, and C (1,2). Studies on the temporal expression pattern and subcellular localization of Aurora kinases in mitotic cells suggest an association with mitotic structure. Aurora kinase functional influences span from G2 phase to cytokinesis and may be involved in key cell cycle events such as centrosome duplication, chromosome bi-orientation and segregation, cleavage furrow positioning, and ingression (3). Aurora A is detected at the centrosomes, along mitotic spindle microtubules, and in the cytoplasm of mitotically proliferating cells. Aurora A protein levels are low during G1 and S phases and peak during the G2/M phase of the cell cycle. Phosphorylation of Aurora A at Thr288 in its catalytic domain increases kinase activity. Aurora A is involved in centrosome separation, maturation, and spindle assembly and stability. Expression of Aurora B protein also peaks during the G2/M phase of the cell cycle; Aurora B kinase activity peaks at the transition from metaphase to the end of mitosis. Aurora B associates with chromosomes during prophase prior to relocalizing to the spindle at anaphase. Aurora B regulates chromosome segregation through the control of microtubule-kinetochore attachment and cytokinesis. Expression of both Aurora A and Aurora B during the G2/M phase transition is tightly coordinated with histone H3 phosphorylation (4,5); research investigators have observed overexpression of these kinases in a variety of human cancers (2,4). Aurora C localizes to the centrosome from anaphase to cytokinesis and both mRNA and protein levels peak during G2/M phase. Although typical Aurora C expression is limited to the testis, research studies report overexpression of Aurora C is detected in various cancer cell lines (6).

    Alternate Names

    AIE2; AIK; AIK2; AIK3; AIM-1; AIM1; AIRK1; AIRK2; AIRK3; ARK-1; ARK-2; ARK-3; ARK1; ARK2; ARK3; AURA; AurB; AurC; AURKA; AURKB; aurkb-sv1; aurkb-sv2; AURKC; Aurora 1; Aurora 2; Aurora 3; Aurora A; Aurora B; Aurora C; Aurora kinase A; Aurora kinase B; aurora kinase B-Sv1; aurora kinase B-Sv2; Aurora kinase C; Aurora- and IPL1-like midbody-associated protein 1; aurora-1; aurora-B; aurora-C; Aurora-related kinase 1; Aurora-related kinase 2; Aurora-related kinase 3; aurora/IPL1-like kinase; Aurora/IPL1-related kinase 1; Aurora/IPL1-related kinase 2; Aurora/IPL1-related kinase 3; Aurora/IPL1/Eg2 protein 2; AURORA2; AYK1; Breast tumor-amplified kinase; breast-tumor-amplified kinase; BTAK; epididymis secretory protein Li 90; hARK1; HEL-S-90; IAK1; IPL1; IPL1-related kinase; MGC34538; PPP1R47; PPP1R48; protein phosphatase 1, regulatory subunit 47; protein phosphatase 1, regulatory subunit 48; serine/threonine kinase 12; serine/threonine kinase 13 (aurora/IPL1-like); serine/threonine kinase 6; serine/threonine protein kinase 15; Serine/threonine-protein kinase 12; Serine/threonine-protein kinase 13; Serine/threonine-protein kinase 15; Serine/threonine-protein kinase 5; Serine/threonine-protein kinase 6; Serine/threonine-protein kinase aurora-A; Serine/threonine-protein kinase aurora-B; Serine/threonine-protein kinase aurora-C; SPGF5; STK-1; STK1; STK12; STK13; STK15; STK5; STK6; STK7

    For Research Use Only. Not for Use in Diagnostic Procedures.
    Cell Signaling Technology is a trademark of Cell Signaling Technology, Inc.
    All other trademarks are the property of their respective owners. Visit our Trademark Information page.